label


what structres r deep to the insula?
putamen and globus pallidus, caudate nucleus
part of basal ganglia

label

Caudate> C-shaped structure
appears twice

image

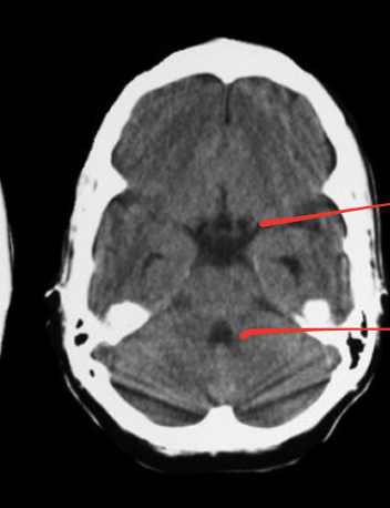
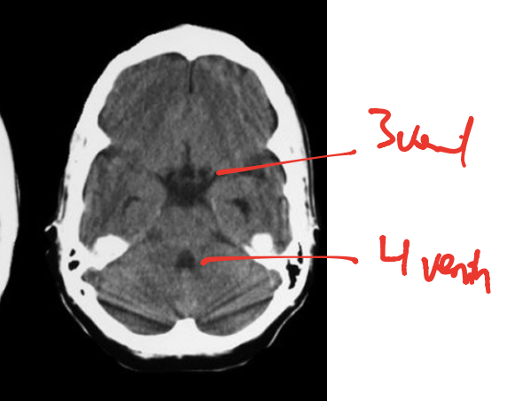
what is red dot? why is it squashed

3rd ventricles, due to the thalamus on either side!

label
what r the white mater strucutres?

corpus callosum & v-shaped internal capsule

where does corpus callosum run?
above the lateral ventricles
what is this? fucntion? location

internal capsule
connects cerebral cortex w/ the rest of the nervous system
its a major white matter pathway!
its sandwhiched w=btw 2 majir grey matters!
composition on CSF?
Changes from these normal values are useful in the diagnosis of a variety of disease processes

CSF circulation
what is the ventricles of the brain?

cavities in brain are known as the brain ventricles, contain choroid plexus, makes a total of 600-700ml of CSF per day

where does CSF circulate before being reabsorbed at the arachnoid granulations?
CSF circulates through the ventricular system and subarachnoid space before being reabsorbed at the arachnoid granulations
what supplies the ventricles with blood?
internal carotid artery

Hydrocephalus
types?
‘Accumulation of CSF is thought to be due to an imbalance between production & absorption of CSF w/ enlargement of brain ventricles’’
◦ Non-communicating/obstructive
◦ Communicating
Non-communicating/obstructive Hydrocephalus

CSF is obstructed within the ventricles or between the ventricles and the subarachnoid space.
4th ventricle _smaller_ than 3rd>> u can tell there is a blockage in aqueduct

Communicating - Hydrocephalus
◦ Bacterial, fungal, TB
Less common mechanisms include:
◦ excess CSF production - choroid plexus papilloma