Which area of the cervix is targeted by HPV infection?
The transformation zone.
The high risk types of HPV produces proteins called E6 and E7. At a molecular level, what effect do these proteins have on the cervical epithelial cells?
Inhibits TSGs p53 and Rb which leads to uninhibited mitosis and growth.
Why do you think immunosuppression is a risk factor for CIN and cervical carcinoma?
Increased risk of getting infected with HPV
Also more likely to have HPV internalise and affect the transformation zone of the cervix.
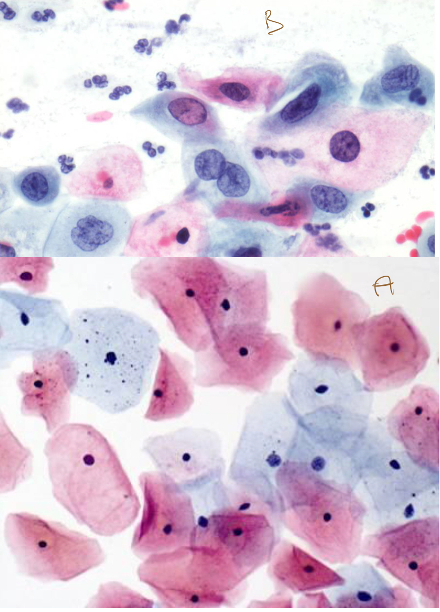
One shows a normal cervical smear. One shows the patient’s smear.
Which is the patient’s smear?
What cellular abnormalities present in the patient’s smear?

Picture B
Shows enlarged nuclei with a larger nucleus:cytoplasmic ratio
Pleomorphism
Hyperchromasia
Mitotic features
What are the advantages of vaccinating boys as well as girls?
Less likely to infect females (herd immunity)
Less anal cancer
Less oral cancer
Less penile cancer
Less vulval cancer
In a loop excision which area of the cervix is the clinician aiming to remove?
Transformation zone of the cervix
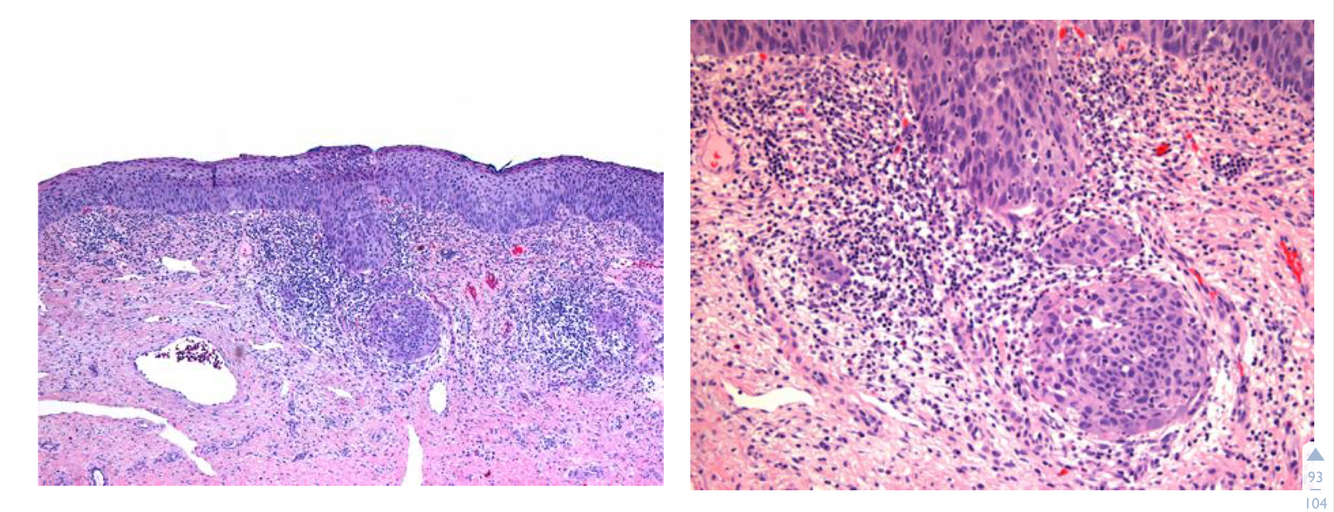
What can be seen here?

Mitotic figures
This is taken of the patient’s loop excision.
What does it show?

It shows invasive cervical carcinoma where there has been invasion of the basement membrane and suggest malignancy.
Extensive invasion to the stroma through the basement membrane
What staging is used for cervical tumours?
FIGO
Stage 0 is carcinoma in-situ
Stage 1 - confined to the cervix
Stage 2 - Disease beyond cervix
Stage 3 - Disease to pelvic wall or lower 1/3 vagina
Stage 4 - invades bladder, rectum or metastatic in blood
A 58 year old woman presents with post-menopausal vaginal bleeding. She has had one child, no abortions or miscarriages and hse had her first period (menarche) age 11. Her menopause occurred at 56 years of age. On examination she is obese (BMI is 38) but otherwise fit and well. A sample of endometrium was obtained in the clinic.
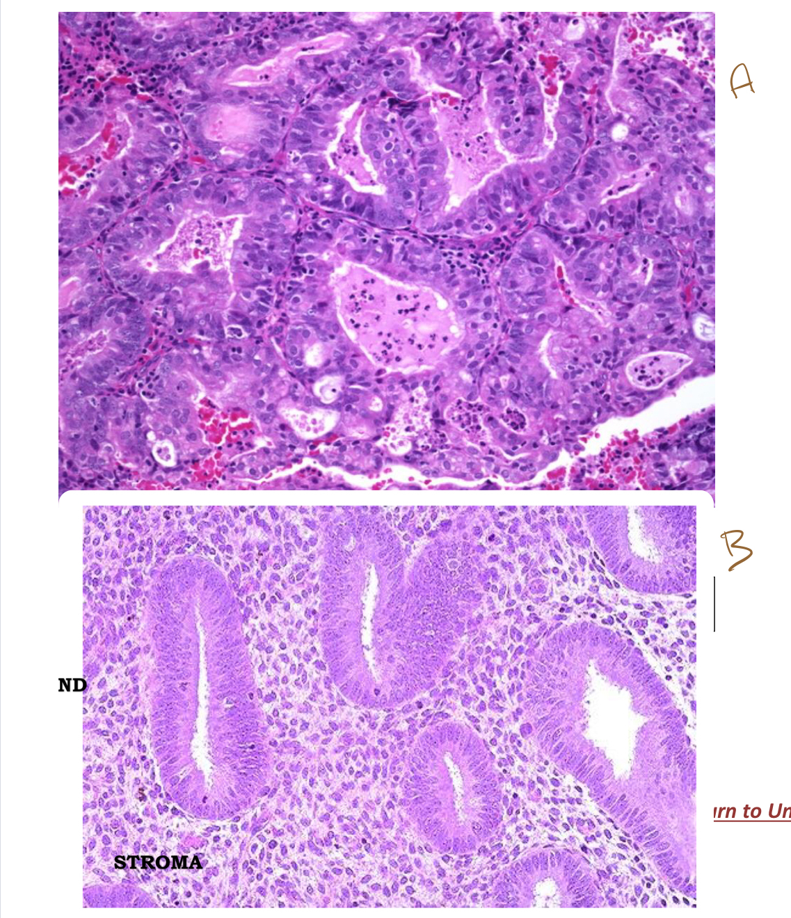
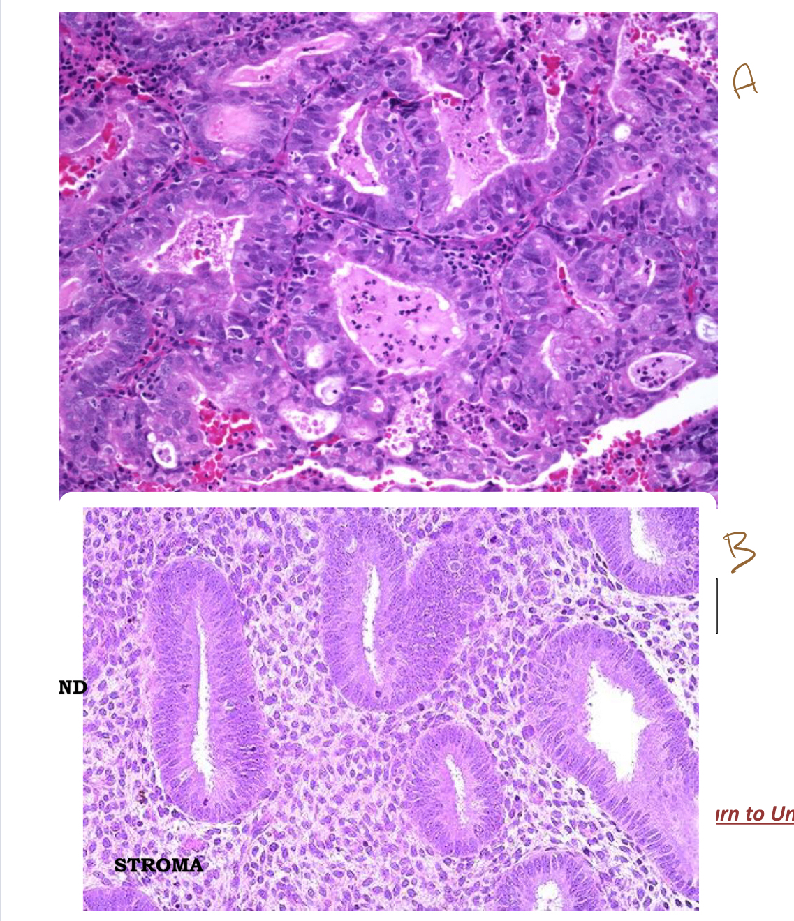
One picture shows healthy endometrium, one shows the patient’s. Which is which?

Picture A is the patient’s
Picture B is normal
What is the patient’s diagnosis?

Endometrioid adenocarcinoma
What factors in the patient’s past history predispose her to the diagnosis you have given in your answer to the previous flashcard?
Why do they predispose to the condition?
Early menarche
Late menopause
Both means that there has been prolonged exposure to oestrogen which can lead to endometrial hyperplasia and subsequently endometroid adenocarcinoma
What other factor noted at examination may have played a role?
How?
Obesity where peripheral adipocytes convert androgens into oestrogen
A 40 year old woman presents with increasing abdominal distension and weight gain of 10kg over the preceding 12 months. Her past medical history is unremarkable. She has never been pregnant and she has never used oral contraceptives. Her family history includes a mother who died aged 42 years from breast cancer. Medical examination revealed gross ascites (fluid in the peritoneal cavity), a pelvic mass the size of a 16 week pregnancy and moderate pitting oedema of both ankles. The breasts were normal. 1 litre of clear straw coloured fluid was drawn off the abdomen (ascitic fluid) and this was shown to be malignant. A laparotomy (opening the abdominal cavity) revealed a large ovarian mass which was excised. The first of the following pictures is of the mass. The second picture is of a histological section of the tumour.
What type of tumour is this?

Ovarian mucinous adenocarcinoma
The patient may be at particular risk of this tumour because she has never had children and has never taken the oral contraceptive pill.
Why are these predisposing factors for this tumour?
Anovulation protects against this sort of tumour.
Everytime ovulation happens the ovum needs to break through the ovarian epithelium and rupture it. This leads to regeneration needing to happen and can always be a source of potential neoplasia.
Why is the fact that the patient’s mother died at age 42 years from breast cancer an important consideration?
BRCA1/BRCA2 are tumour suppressor genes that can be malfunctional and leading to breast cancer.
The same genes if mutated can cause ovarian cancer and can be hereditary.
A 26 year old man presents with a painless mass in his left testicle. A blood test is performed and this shows raised serum concentrations of AFP and hCG.
What category of testicular tumour does this patient have?
Most potentially a mixed non seminomal germ cell carcinoma.
Will the tumour in this man’s testicle be benign or malignant?
Malignant
The doctor treating the patient asks if the patient has ever had any testicular operations as a child. What operation would the surgeon be particularly interested in?
Why?
Orchiopexy as it is more common to develop testicular cancer if you have a maldescended testicle
What treatment will this patient require?
Radical orchiectomy and aggressive chemotherapy
The patient is told that he will need to have serum concentrations of AFP and hCG measured for a number of months after his treatment is completed.
Why is this?
Serum markers should drop. This will show that the treatment is effective.
If the treatment is not working the tumour markers will still be elevated.