Shoulder Dislocation Flashcards

(25 cards)

1
Q

What is shoulder dislocation?

A

Humeral head becomes completely displaced from the glenoid cavity

How well did you know this?
1
Not at all
2
3
4
5
Perfectly
2
Q

What is the difference between subluxation and dislocation?

A

Subluxation
Partial dislocation, humeral head does not fully get displaced and naturally pops back into place

How well did you know this?
1
Not at all
2
3
4
5
Perfectly
3
Q

What type of shoulder dislocation is more common and why?

A

Anterior, more than 90%

Anterior muscular and ligamentous support is much less robust than the posterior aspect

How well did you know this?
1
Not at all
2
3
4
5
Perfectly
4
Q

What are the associated causes of posterior shoulder dislocations?

A

Seizures

Electric shock

High-energy dislocation e.g. car crash

How well did you know this?
1
Not at all
2
3
4
5
Perfectly
5
Q

What can happen to the labrum in a shoulder dislocation?

A

Bankart lesions
Labrum can tear along one edge

How well did you know this?
1
Not at all
2
3
4
5
Perfectly
6
Q

What are Bankart lesions?

A

Tears to the anterior portion of the labrum

How well did you know this?
1
Not at all
2
3
4
5
Perfectly
7
Q

What causes Bankart lesions?

A

Repeated anterior subluxations or dislocations of the shoulder

How well did you know this?
1
Not at all
2
3
4
5
Perfectly
8
Q

What are Hill-Sachs lesions?

A

Impaction injuries

Chondral surface of posterior and superior portions of humeral head

How well did you know this?
1
Not at all
2
3
4
5
Perfectly
9
Q

What causes Hill-Sachs lesions?

A

Shoulder dislocates anteriorly

Posterolateral part of humeral head impacts anterior rim of glenoid cavity

How well did you know this?
1
Not at all
2
3
4
5
Perfectly
10
Q

What happens to shoulder stability in Hill-Sachs lesions?

A

Humeral head is damaged

Shoulder becomes less stable and increased risk of dislocation

How well did you know this?
1
Not at all
2
3
4
5
Perfectly
11
Q

What fractures can occur alongside shoulder dislocations?

A

Humeral head

Greater tuberosity of the humerus

Acromion

Clavicle

(rotator cuff tears may also occur)

How well did you know this?
1
Not at all
2
3
4
5
Perfectly
12
Q

What nerve is commonly damaged in shoulder dislocation or subluxation?
What are the nerve roots?

A

Axillary nerve

C5,C6

How well did you know this?
1
Not at all
2
3
4
5
Perfectly
13
Q

How do patients with shoulder dislocation present?

A

After acute injury

Flattened deltoid

Bulging and palpable humeral head

How well did you know this?
1
Not at all
2
3
4
5
Perfectly
14
Q

What is important to assess patients for with shoulder dislocation?

A

Fractures

Vascular damage
-Absent pulses
-Prolonged capillary refill
-Pallor

Nerve damage
-Loss of sensation in the regimental badge

How well did you know this?
1
Not at all
2
3
4
5
Perfectly
15
Q

What is the apprehension test?

A

Used to test shoulder instability in the anterior dislocation

Likely positive after previous anterior dislocation or subluxation

How well did you know this?
1
Not at all
2
3
4
5
Perfectly
16
Q

When is the apprehension test performed?

A

After recovery from acute injury

17
Q

How do you perform the shoulder apprehension test?

A

Patients will become worried that shoulder will dislocate

18
Q

What investigations are used for shoulder dislocation?

A

X-ray
Confirm dislocation
Exclude fractures

Magnetic resonance arthography
MRI with contrast into shoulder joint

Arthroscopy

19
Q

What is the acute management of shoulder dislocation?

A

Analgesia
Muscle relaxants
Sedation
Gas and air (Entonox)
Arm sling
Surgery
Closed reduction of the shoulder
Immobilisation

20
Q

Why does it become harder to relocate the shoulder after time?

A

Muscle spasms occur increasing risk of neurovascular injury

21
Q

Who is most at risk of recurrent shoulder dislocation?

A

Younger patients as they are more active

22
Q

What ongoing management is recommended?

A

Physiotherapy

Shoulder stabilisation surgery

23
Q

What structural problems are corrected in shoulder stabilisation surgery?

A

Bankart lesions

Tightening the shoulder capsule

Bone graft

Correcting Hill-Sachs lesions (Remplissage procedure)

24
Q

What is the Latarjet procedure?

A

Taking a bone graft from the coracoid process to correct a bone injury to the glenoid rim

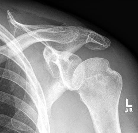
25
What do these X-rays show?