Skin Flashcards

(54 cards)

1
Q

What are the 5 layers of the epidermis

A

-Stratum corneum -Stratum lucidum -Stratum granulosum -Stratum Spinosum -Stratum Basale

How well did you know this?
1
Not at all
2
3
4
5
Perfectly
2
Q

What occurs in the Stratum corneum?

A
  • 15-20 layers of squamous dead keratinized cells
  • Continuous shedding at epidermal surface because the desmosomes break down
How well did you know this?
1
Not at all
2
3
4
5
Perfectly
3
Q

What occurs in the Stratum lucidum?

A
  • Only in thick skin
  • Flattened keratinocytes
    • desmosomes still intact
    • no nuclei (dead)
    • No organelles
    • Packed keratin filaments
  • “Sequential march of death”
How well did you know this?
1
Not at all
2
3
4
5
Perfectly
4
Q

What occurs in the Stratum granulosum?

A

-Formation of a barier to penetration by most foreign materials via:

  • Keratinization of dense keratohyaline granules
  • Lamellar Granules which contain lipids, which are excreted as a barrier against water loss
How well did you know this?
1
Not at all
2
3
4
5
Perfectly
5
Q

What occurs in the Stratum spinosum?

A
  • Several layers of keratinocytes
  • Production of tonofibrils, which terminate at the desmosome (gives spiney look after fixation of tissue)
How well did you know this?
1
Not at all
2
3
4
5
Perfectly
6
Q

What occurs in the Stratum Basale?

A

-A single layer of stem cells tightly bound by desmosomes

How well did you know this?
1
Not at all
2
3
4
5
Perfectly
7
Q

What is the difference between thick and thin skin?

A

-Thick skin has extra layer, stratum lucidum -Think skin has much thinner layer of Stratum corneum

How well did you know this?
1
Not at all
2
3
4
5
Perfectly
8
Q

What are the 4 types of cells in the epidermis?

A

-Keratinocytes -Melanocytes -Langerhans cells -Merkel Cells

How well did you know this?
1
Not at all
2
3
4
5
Perfectly
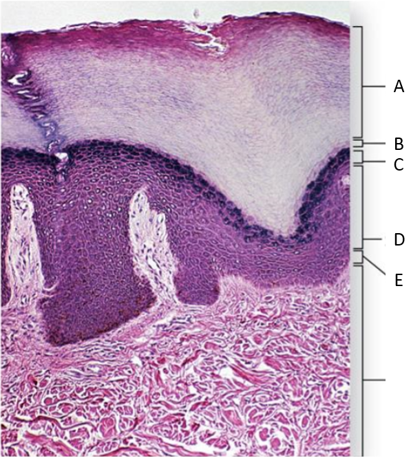
9
Q

Match.

A

A. Stratum Corneum

B. Stratum Lucidum

C. Stratum Granulosum

D. Stratum Spinosum

E. Stratum Basale

How well did you know this?
1
Not at all
2
3
4
5
Perfectly
10
Q

Why do basal cell carcinoma’s rarely metastisize?

A

Because they are tightly bound to each other and the basal lamina via junctional complexes.

How well did you know this?
1
Not at all
2
3
4
5
Perfectly
11
Q

What are Tonofibrils?

A

Assembled keratin filaments in the keratinocytes of the stratum spinosum. Attach at the desmosomes.

How well did you know this?
1
Not at all
2
3
4
5
Perfectly
12
Q

In what layer of the skindo Langerhans cells reside?

A

The stratum spinosum

How well did you know this?
1
Not at all
2
3
4
5
Perfectly
13
Q

What is the cause of Psoriasis

A
  • Likely autoimmune
  • keratinocytes are produced at accelerated rates
How well did you know this?
1
Not at all
2
3
4
5
Perfectly
14
Q

What is the role of the dermis?

A
  • Support of the epidermis
    • Contains all the neurovascular elements of skin
  • Reinforces the dermal-epidermal junction with dermal papillae
How well did you know this?
1
Not at all
2
3
4
5
Perfectly
15
Q

What structures are contained within the reticular layer of the dermis?

A
  • Hair follicles
  • Sebaceous Glands
  • Sweat glands
  • Nerves
How well did you know this?
1
Not at all
2
3
4
5
Perfectly
16
Q

What are the two layers of the dermis?

A
  1. Papillary layer
  2. Reticular layer
How well did you know this?
1
Not at all
2
3
4
5
Perfectly
17
Q

What is Bullous pemphigoid?

A
  • An autoimmune dizease in which the body attacks the proteins of the hemidesmosome
  • The epidermis lifts off from the basememt membrane, forming blisters
How well did you know this?
1
Not at all
2
3
4
5
Perfectly
18
Q

What is Pemphigus?

A
  • An autoimmune disease in which the body attacks desmosomal proteins
  • ungluing of the keratinocytes
  • Blisters form within the epidermis
    • break easily, forming crater
How well did you know this?
1
Not at all
2
3
4
5
Perfectly
19
Q

What is the purpose of the Hypodermis?

A
  • Binds skin to adjacent organs
  • Facilitates skin sliding over underlying organs
  • Highly vascularized
    • uptake of drugs
How well did you know this?
1
Not at all
2
3
4
5
Perfectly
20
Q

What are the two layers of the stratum corneum?

A
  1. Stratum Compactum
  2. Stratum Disjunctum
How well did you know this?
1
Not at all
2
3
4
5
Perfectly
21
Q

What anchors the dermis to the epidermis?

A

Type VII collagen inserts into the basal lamina layer of the basement membrane from the papillary layer

How well did you know this?
1
Not at all
2
3
4
5
Perfectly
22
Q

What are the two major plexuses of the Dermis?

A
  1. Subpapillary plexus
  2. deep plexus
23
Q

Subpapillary Plexus

A

Between papillary and reticular layer. Capillaries extend up into the dermal papillae

24
Q

Deep Plexus

A

Interface of the dermis and hypodermis

25
Where will blood be shunted in the dermis if a human is cold?
to the deep plexus
26
Melanocyte
- Originate from neural crest - intermediate filament is vimentin - Live in the stratum basale - Produce black, brown, or red pigment
27
Eumelanins
Black or brown pigment produced by melanocytes
28
Pheomelanin
red pigment produced by melanocytes
29
Epidermal-Melanin Unit
- Melanocyte + long irregular cytoplasmic projections - Terminates in invaginations in the keratinocytes of the stratum spinosum - Produces melanosomes which are transferred to the keratinocyte via fusion
30
What is the structure which melanosomes accumulate into in the keratinocyte?
the supranuclear cap
31
What is the function of a Langerhans Cell?
- Prevents microorganisms from penetrating the epidermis - Extend cytoplasmic projections between the keratinocytes of all layers
32
Where do Langerhans Cells develop before migrating into the epithelium?
Bone marrow
33
What happens to Langerhans Cells upon antigen capture?
They leave and travel to the lymph node where they initiate an immune response
34
What are the three types of unencapsulated sensory receptors of the skin?
1. Merkel cells 2. Free nerve endings 3. Root hair plexus
35
Where are merkel cells located? What do they do?
- The stratum basale of the epidermis - They sense light touch and texture
36
Where do free nerve endings of the skin live?What do they sense?
- Papillary dermis layer - Temperature, pain, itching, touch
37
Where does the root hair plexus live? What does it do?
- the Reticular dermis, surrounding base of hair follicles - Detects movement of hairs
38
Where do merkel cells originate?
same stem cells as keratinocytes
39
List the encapsulated sensory receptors of the skin.
- meissners corpuscles - Pacinian corpuscles - Krause end bulbs - Ruffini corpuscles
40
Sebaceous release sebum with what type of secretion?
Holocrine secretion
41
What is the purpose of sebaceous glands?
- to maintain the stratum corneum - Has antibacterial/fungal properties
42
What is an eccrine gland?
sweat gland, widely distributed
43
What are the three cell types of Eccrine Glands?
1. Clear cells 2. Dark cells 3. Myoepithelial cells
44
What do the clear cells of the eccrine gland do?
produce sweat from interstitial fluid from the blood vessels in the dermis
45
What do the dark cells of the eccrine gland do?
release a mixture of glycoproteins with antibacterial properties
46
What to the myoepithelial cells of the eccrine gland do?
Contract to move watery secretion into the duct
47
What is an apocrine gland?
A sweat gland located primarily in the axilla and perineal areas.
48
Why are apocrine glands misnamed?
They actually use merocrine secretion
49
Do melanocytes have desmosomes?
No
50
What type of secretion do melanocytes perform?
Cytocrine secretion
51
Why is melanoma so dangerous?
Melanocytes don't have desmosomes to prevent metastasis
52
Where do Meissners corpuscles reside?
Dermal papillae of the fingertips, palms, and soles
53
Where do krause end bulbs live?
Skin of penis and clitoris
54
Where are pacinian corpuscles located?
Deep in reticular dermis and hypodermis