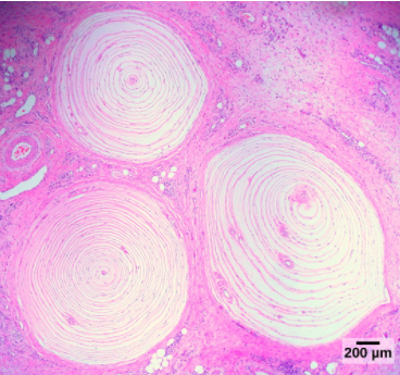
Identify the occluded structures


what structure pointed to

Meissner’s Corpuscle
what structure in the skin is this

Pacinian corpuscle
Dermatophytes are a fungi that need what structural epidermal protein for growth
karatin
In which layer does 7-dehydrocholesterol conversion to Vit D3 occur?
stratum spinale
mn: S for Spinale and Synthesis
In which layer are melanocytes found
stratum basale
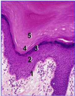
what are the numbered regions of the epidermis

1: stratum basale
2. stratum spinale
3. stratum granulosum
4. stratum lucidum
5. stratum corneum
identify sebacious gland versus sweat gland

3 = sweat gland (exits to the external environment)
4 = sebaceous gland (responsible for greasy hair and shiny baldness)
Characterize Pemphigus Vulgaris
Etiology: rare autoimmune disorder
Macroscopic: blisters that easily pop
Microscopic: see photo: separation between stratum corneum and stratum basale (ie suprabasal). Tombstone row
Pathology: IgG attacks desmoglein 1 and 3

what are acantholytic cells?
rounded-up separated keratinocytes within the blisters in the upper layers of the epidermis.
Characterize Pemphigus foliaceus
Etiology: rare autoimmune disorder (more common than pemphigus vulgaris)
Macroscopic: blisters that easily pop
Microscopic: see photo: separation between stratum corneum and the lower layers of the skin (ie subcorneal)
Pathology: IgG attacks desmoglein 1
what are the 4 cell types in the epidermis
Keratinocytes
Melanocytes
Langerhans (dendritic) cells
Merkel cells (receptors)
what are the infections that can typically lead to classic “bulls eye” appearance
B. burgdorferi, Rickettsia rickettsii, and Ehrlichia chaffeensis
what are the different types of immune cells in the epidermis versus the dermis?
Epidermis: keratinocytes, Langerhans cells, intraepithelial lymphocytes (IELs) provide first line of defense in the outer epidermal layer
Dermis: T cells, dendritic cells, macrophages, and mast cells
True or false?
T cells can make it into the epidermis to assist with immunity
True

What are the treatments of choice for minor versus more serious dermatophyte infections?
minor - depends on subtype so that it can be more targeted
major: Griseofulvin (has GI side effects)
Malessezia furfur causes what skin condition
other facts:

what fungal infection can cause this presentation of the skin

malessezia furfur (ie tinea versicolor)
True or false: tinea unguium is the same thing as onychomycosis
TRUE -they both refer to tinea /dermatophyte infection in the nails.
What causes vitiligo
autoimmune destruction of melanocytes (so there’s a decrease)
mn: the V in Vitiligo is pointing down to show the decrease in melanin)
loss of which epithelial junction type is associated with tumor metastasis?
the tight junctions –> E-Cadherin
Most cancers originate from epithelial tissue and E-cadherin is critically important in organizing the epithelium. The function of E-cadherin is altered in most epithelial tumors
What characterizes the pemphigus family of disorders
failed cell-to-cell adhesion.
Pemphigus is an autoimmune condition characterized by the disruption of cadherin-mediated cell adhesions. All forms are caused by autoantibodies that bind to the proteins in a subfamily of the cadherins, known as the desmogleins. Antibody binding to desmogleins prevents their function in cell adhesion. Therefore, adjacent epidermal cells are unable to adhere to each other and blisters develop.
What is the most abundant intercellular junction type in epithelial cells
desmosomes

The Malpighian layer consists of the stratum _______ and stratum ________.
The Malpighian layer consists of the two deeper layers, the stratum basale and stratum spinosum.