
Coronal suture

lambdoid suture

Squamous suture

saggital suture

sutural bone

Hyoid bone

Frontal bone

Supraorbital margin of frontal bone

Supraorbital foramen or notch of frontal bone

glabella of frontal bone

Parietal bone

Occipital bone

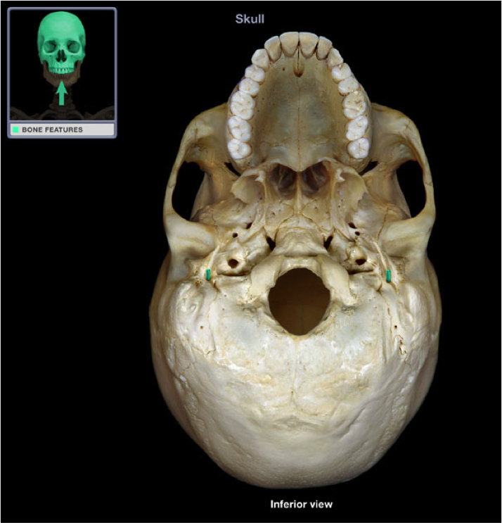
Foramen magnum of occipital bone
occiptial condyle of occipital bone

hypoglossal canal of occipital bone

External occipital protuberance

Groove for transverse sinus of the occipital bone

Temporal bone

Squamous part of temporal bone

Petrous part of temporal bone

zygomatic process of temporal bone

styloid process of temporal bone

Mastoid process of temporal bone

Stylomastoid foramen of temporal bone