SLA 5 - ENT (A) Flashcards

(41 cards)

1
Q

What are the two main physiological functions of the ear?

A
  1. Hearing
  2. Balance
How well did you know this?
1
Not at all
2
3
4
5
Perfectly
2
Q

What is an auricular haematoma?

A

A collection of blood between the cartilage of the ear and the overlying perichondrium, usually occurring as a result of trauma (ie. in contact sports).

The accumulation of blood can disrupt the blood supply to the cartilage, resulting in avascular necrosis (AVN). AVN of the auricular cartilage can result in ‘cauliflower ear’ deformity.

How well did you know this?
1
Not at all
2
3
4
5
Perfectly
3
Q

How does hearing happen in terms of sound waves, vibrational and electrical energy?

A
  1. Sound waves are focused and projected along the external auditory meatus onto the tympanic membrane.
  2. Vibrations of the tympanic membrane translates onto the ossicles of the middle ear.
  3. The ossicles project vibrations onto the oval window of the cochlea, resulting in vibrations in the fluid in the cochlea.
  4. The cochlear nerve transmits sound was via to the primary auditory cortex, where the listener becomes aware of sound.
How well did you know this?
1
Not at all
2
3
4
5
Perfectly
4
Q

What is the difference between conductive and sensorineural hearing loss?

A

A conductive hearing loss occurs when sound cannot reach the inner ear, usually due to obstruction, deformity or trauma in the outer or middle ear (e.g. wax impaction).

A sensorineural hearing loss occurs when there is a problem occurring in the inner ear or the auditory nerve (e.g. presbycusis).

How well did you know this?
1
Not at all
2
3
4
5
Perfectly
5
Q

Give the findings of Weber’s test in the following scenarios:

a) left sided conductive hearing loss

b) right sided conductive hearing loss

c) left sided sensorineural hearing loss

d) right sided sensorineural hearing loss

e) bilateral conductive deafness

f) bilateral sensorineural deafness

A

a) lateralises to the left ear

b) lateralises to the right hear

c) lateralises to the right ear

d) lateralises to the left hear

e) normal in both ears

f) normal in both ears

How well did you know this?
1
Not at all
2
3
4
5
Perfectly
6
Q

Give the findings of Rinne’s test in the following scenarios:

a) left sided conductive hearing loss

b) right sided conductive hearing loss

c) left sided sensorineural hearing loss

d) right sided sensorineural hearing loss

A

a) BC > AC in left ear (Rinne’s negative)

b) BC > AC in right ear (Rinne’s negative)

c) AC > BC in left ear (Rinne’s false positive)

d) AC > BC in right ear (Rinne’s false positive)

How well did you know this?
1
Not at all
2
3
4
5
Perfectly
7
Q

What is otitis externa?

A

Inflammation of the outer ear (ie. auricle, external auditory meatus, outer surface of eardrum).

How well did you know this?
1
Not at all
2
3
4
5
Perfectly
8
Q

What are the risk factors of otitis externa?

A
  • hot and humid climates
  • swimming
  • older age
  • immunocompromised
  • narrow external auditory meatus
  • trauma to ear canal
How well did you know this?
1
Not at all
2
3
4
5
Perfectly
9
Q

What is the most common cause of otitis externa?

A

Bacterial (90%) by Staphylococcus aureus or Pseudomonas aeruginosa.

Approx. 10% are due to fungal infection.

How well did you know this?
1
Not at all
2
3
4
5
Perfectly
10
Q

Presentation of acute otitis externa.

A
  • hearing loss
  • discharge
  • regional lymphadenopathy
  • pain
  • temperature
How well did you know this?
1
Not at all
2
3
4
5
Perfectly
11
Q

Give the otoscopy findings of acute otitis externa.

A
  • ear canal with erythema, oedema and exudate
  • mobile tympanic membrane
  • pain with movement of tragus or auricle
  • pre-auricular lymphadenopathy
How well did you know this?
1
Not at all
2
3
4
5
Perfectly
12
Q

Give some possible causes of chronic otitis externa.

A
  • fungal infection
  • prolonged use of abx eardrops
How well did you know this?
1
Not at all
2
3
4
5
Perfectly
13
Q

What is a major complication of acute otitis externa that can occur in immunocompromised patients?

A

Necrotising otitis external is a life-threatening extension of otitis externa into the mastoid and temporal bones.

Presentation as below:
- facial nerve palsy
- pain
- oedema
- exudate
- headache

Note pain and headache of greater intensity than clinical signs would suggest is a red flag.

How well did you know this?
1
Not at all
2
3
4
5
Perfectly
14
Q

Management of acute otitis externa.

A

Acetic acid drops (abx/steroid) 1/52

How well did you know this?
1
Not at all
2
3
4
5
Perfectly
15
Q

What is acute otitis media (AOM)?

A

The presence of inflammation in the middle ear, associated with an effusion and accompanied by the rapid onset of symptoms and signs of an ear infection.

How well did you know this?
1
Not at all
2
3
4
5
Perfectly
16
Q

Give some risk factors for AOM.

A
  • young age
  • male sex
  • smoking / passive smoking
  • frequent contact with other children (e.g. daycare, nursery)
  • craniofacial abnormalities (e.g. cleft palate)
How well did you know this?
1
Not at all
2
3
4
5
Perfectly
17
Q

Presentation of AOM.

A
  • earache

Upon otoscopy:
- red, yellow or cloudy tympanic membrane
- bulging of tympanic membrane
- perforation of tympanic membrane
- discharge in external auditory canal

Note in young children, earache may present as holding, tugging or rubbing the ear.

18
Q

What is the initial management of AOM?

A
  • advise the usual course of AOM is 3/7
  • regular doses of paracetamol or ibuprofen for pain
  • no evidence to support the use of decongestants or antihistamines
19
Q

Give 3 scenarios in which antibiotics may be considered in the management of AOM.

A
  1. pts presenting with otorrhoea
  2. age <2yo
  3. systemically very unwell
20
Q

Outline the pathophysiology of otitis media with effusion (OME).

A

The Eustachian tube becomes blocked, restricting the middle ears ability to equilibrate pressure. Middle ear pressure decreases, causing the tympanic membrane to become retracted.

Note Eustachian tube may be blocked due to:
- congenital abnormality
- adenoids
- inflammatory exudate

21
Q

Presentation of OME.

A
  • hearing loss
  • ear pain
  • feeling of fullness or popping
  • aural discharge

Otoscopy findings:
- loss of light reflex
- opacification of ear drum
- retracted tympanic membrane
- air bubbles at tympanic membrane

22
Q

How can the severity of OME be assessed?

A

Assess the severity of the hearing loss and the impact on the child’s life and developmental status by asking about the following:
- fluctuations in hearing
- lack of concentration or attention, or being socially withdrawn
- changes in behaviour
- listening skills and progress at school or nursery
- speech or language development
- balance problems and clumsiness

23
Q

Outline the management of OME.

A
  1. Watchful waiting for 3/12 (usually spontaneous resolution)
  2. Referral to ENT after 3/12 months

Note antibiotics and corticosteroids are not recommended for treating OME, as there is no evidence to support their use.

24
Q

What is chronic suppurative otitis media (CSOM)?

A

The chronic inflammation of the middle ear and mastoid cavity, which presents with recurrent ear discharges through a tympanic perforation.

CSOM is assumed to be a complication of acute otitis media.

25
Presentation of CSOM.
- ear discharge persisting for more than 2/52 - no ear pain or fever - hearing loss in affected ear - history of AOM, ear trauma, OME or grommet insertion - tinnitus - pressure Otoscopy: - tympanic membrane perforation
26
What is the management of CSOM?
Refer to ENT for assessment. Do NOT swab the ear or initiate treatment without specialist advice.
27
Give some red flag symptoms which can indicate serious complications in a person with CSOM.
- headache - nystagmus - vertigo - fever - labyrinthitis - facial paralysis - swelling / tenderness behind the ear These are signs of mastoiditis and/or intracranial infection.
28
What is mastoiditis?
The spread of suppurative infection to the mastoid air cells, causing inflammation of the mastoid and surrounding tissues (may lead to bony destruction).
29
Presentation of mastoiditis.
- systemic illness - fever - marked hearing loss - mastoid tenderness / swelling
30
Management of mastoiditis.
Urgent hospital admission / ENT referral
31
Pathophysiology of cholesteatoma.
A chronically negative middle ear pressure causes the tympanic membrane to retract, forming a retraction pocket. The retraction pocket is lined by squamous, non-keratinising epithelial tissue and releases osteolytic enzymes, allowing the cholesteatoma to grow independently. The osteolytic enzymes can cause local bone erosion, allowing the cholesteatoma to be locally invasive and destructive.
32
Give some risk factors for a cholesteatoma.
- age <5yo - chronic OME - cleft palate deformities (ie. correlation with Eustachian tube deformity) - ear trauma
33
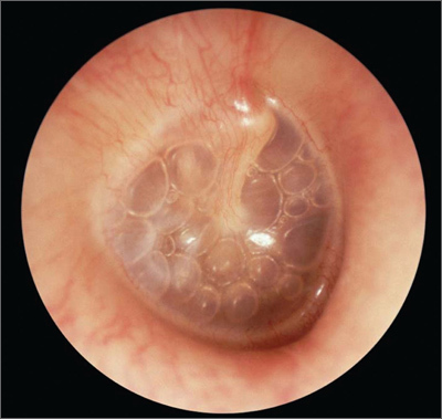
Presentation of cholesteatoma (signs / symptoms)
Symptoms: - vertigo - hearing loss - headache - facial nerve palsy Signs: - conductive hearing loss (progressive) - otorrhoea - otoscopic findings (see image)
34
Management of cholesteatoma.
Refer to ENT
35
Pathophysiology of Meniere's disease.
The volume of endolymph within the membranous labyrinth increases, causing swelling. This leads to the characteristic symptoms of Meniere's disease. Note if a cause is identified it is referred to an Meniere's syndrome.
36
Presentation of Meniere's disease.
- episodic vertigo (ie. spinning or rocking) - tinnitus (roaring) - sensorineural hearing loss - aural fullness - balance or gait problems Meniere's disease is episodic and symptoms can occur in clusters over a few weeks, although months or years of remission can also occur.
36
Presentation of Meniere's disease.
- episodic vertigo (ie. spinning or rocking) - tinnitus (roaring) - sensorineural hearing loss - aural fullness - balance or gait problems Meniere's disease is episodic and symptoms can occur in clusters over a few weeks, although months or years of remission can also occur.
37
Management of Meniere's disease.
Refer to ENT services
38
What self-care advice can be given to someone with Meniere's disease.
- Reassure that Meniere's disease is a long-term condition, but vertigo significant improves with treatment - advise not to drive when feeling dizzy
39
Give the symptomatic treatment for an acute attack of Meniere's disease in the following scenarios: a) severe symptoms b) severe nausea / vomiting / vertigo c) mild / moderate nausea / vomiting / vertigo
a) hospital admission for IV labyrinthine sedatives and fluids b) buccal / IM prochlorperazine c) prescribe short course prochlorperazine or antihistamine
40
What medication can be prescribed in attempt to prevent recurrent attacks of Meniere's diseae?
Prescribing a trial of betahistine to reduce the frequency and severity of attacks of hearing loss, tinnitus and vertigo.