slide labeling!! Flashcards

(50 cards)

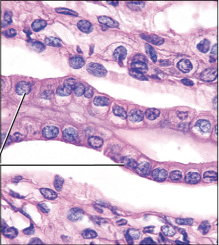
1
Q
A

simple columnar epithelium

How well did you know this?
1
Not at all
2
3
4
5
Perfectly
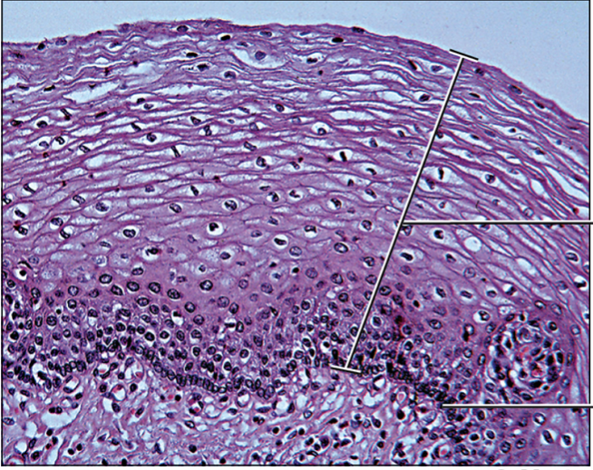
2
Q
A

stratified squamous epithelium

How well did you know this?
1
Not at all
2
3
4
5
Perfectly
3
Q
A

hyaline cartilage connective

How well did you know this?
1
Not at all
2
3
4
5
Perfectly
4
Q
A

compact bone connective

How well did you know this?
1
Not at all
2
3
4
5
Perfectly
5
Q
A

skelital muscle

How well did you know this?
1
Not at all
2
3
4
5
Perfectly
6
Q
A

smooth muscle

How well did you know this?
1
Not at all
2
3
4
5
Perfectly
7
Q
A

cardiac muscle

How well did you know this?
1
Not at all
2
3
4
5
Perfectly
8
Q
A

spinal cord nervous

How well did you know this?
1
Not at all
2
3
4
5
Perfectly
9
Q

label each part & type of cell

A

animal cell

How well did you know this?
1
Not at all
2
3
4
5
Perfectly
10
Q
A

simple squamous epithelium

How well did you know this?
1
Not at all
2
3
4
5
Perfectly
11
Q
A

simple cuboidal epithelium

How well did you know this?
1
Not at all
2
3
4
5
Perfectly
12
Q
A

simple columnar epithelium

How well did you know this?
1
Not at all
2
3
4
5
Perfectly
13
Q
A

stratified squamous layer epithelium

How well did you know this?
1
Not at all
2
3
4
5
Perfectly
14
Q
A

hyaline cartilage connective

How well did you know this?
1
Not at all
2
3
4
5
Perfectly
15
Q
A

elastic cartilage connective

How well did you know this?
1
Not at all
2
3
4
5
Perfectly
16
Q
A

bone

How well did you know this?
1
Not at all
2
3
4
5
Perfectly
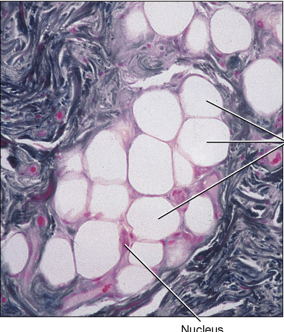
17
Q
A

adipose tissue connective

How well did you know this?
1
Not at all
2
3
4
5
Perfectly
18
Q
A

loose connective tissue

How well did you know this?
1
Not at all
2
3
4
5
Perfectly
19
Q
A

dense connective tissue

How well did you know this?
1
Not at all
2
3
4
5
Perfectly
20
Q

label from left to right

A
  1. leukocyte (white blood cell)
  2. platelet
  3. erythrocyte (red blood cell)
How well did you know this?
1
Not at all
2
3
4
5
Perfectly
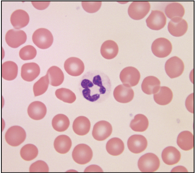
21
Q
A

neutrophil (type of leukocyte)

22
Q
A

basophil (type of leukocyte)

23
Q
A

eosinophil (type of leukocyte)

24
Q
A

Lymphocyte (type of leukocyte)

25
monocyte (type of leukocyte)
26
cardiac muscle
27
smooth muscle
28
skeletal muscle
29
nervous tissue
30
what phase is this cell in + label
early prophase - spindle fibers - nucleus with condensing chromosomes
31
what phase is this cell in + label
late prophase - spindle fibers - nucleus with condensing chromosomes
32
what phase is this cell in + label
metaphase - spindle fibers - metaphase plates
33
what phase is this cell in + label
anaphase - separating chromosomes
34
what phase is this cell in + label
telophase - decondensing chromsomes - cleavage furrow
35
what phase is this cell in + label
cytokinesis - daughter cell nucleus - new plasma membrane
36
embryonic unfertilized sea star egg
37
embryonic fertilized sea star egg
38
embryonic 2 cell sea star
39
embryonic 4 cell sea star
40
embryonic 8 cell sea star
41
embryonic 16 cell sea star
42
embryonic 32 cell sea star
43
embryonic sea star blastula cell
44
late blastula of sea star cell - blastocoel (fluid filled cavity)
45
early gastrula of sea star cell - blastocoel
46
top to bottom
middle gastrula of sea star - blastocoel (fluid filly cavity) - blastopore (mouth like opening of the archenteron)
47
late gastrula of sea star - archenteron
48
early bipinnaria larva of sea star
49
bipinnaria larva (ventral view)
50
bipinnaria larva (lateral view)