Brainscape
Find Flashcards
Discover millions of Flashcards
Browse Brainscape-Certified Flashcards
Learn faster with our catalog of expert certified, pre-made flashcards.
Browse All Flashcards
Browse our full catalog of user-generated and Brainscape-Certified flashcards.
Explore the
Knowledge Genome
of subjects:
Entrance Exams
Professional Certifications
Foreign Languages
Medical & Nursing
Science
English
Humanities & Social Studies
Mathematics
Law
Vocations
Health & Fitness
Business & Finance
Technology & Engineering
Food & Beverage
Fine Arts
Random Knowledge
Make Flashcards
How It Works
Features Overview
The Science of Studying
Educators
Schools & Teachers
Tutors & Resellers
Businesses
Employee Training
Publishers & Resellers
Academy
Academy Homepage
The Science of Studying
Study Tips
Teaching Tips
Employee Training Tips
Language Learning Tips
Test Prep Tips
Log in
My Dashboard
Get Started
Log out
Microanatomy
> Slides > Flashcards
Slides Flashcards
(3 cards)
Study These Flashcards
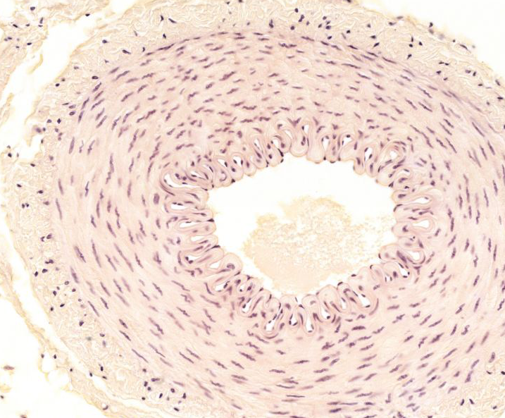
1
Q
A
Simple squamous
endothelium
lining of blood vessel
How well did you know this?
1
Not at all
2
3
4
5
Perfectly
2
Q
A
Simple squamous
Mesothelium
How well did you know this?
1
Not at all
2
3
4
5
Perfectly
3
Q
A
How well did you know this?
1
Not at all
2
3
4
5
Perfectly
Microanatomy
flashcards
Decks in class (10)
# Cards
Staining Techniques
20
Cytoskeleton
23
Nucleus, ER & Golgi
20
Cell Junctions
10
Lysosomes and Peroxisomes
20
Mitochondria
25
Slides
3
Blood
90
Lymphoid System
52
Respiratory Tract
0