Sos- Biliary System Flashcards

(88 cards)

1
Q

produce and secrete bile

A

hepatocytes

How well did you know this?
1
Not at all
2
3
4
5
Perfectly
2
Q

___% of bile is stored in the gallbladder

A

50

How well did you know this?
1
Not at all
2
3
4
5
Perfectly
3
Q

R and L hepatic duct join together to form ____

A

common hepatic duct

How well did you know this?
1
Not at all
2
3
4
5
Perfectly
4
Q

cystic duct and common hepatic duct join together to form ______

A

common bile duct

How well did you know this?
1
Not at all
2
3
4
5
Perfectly
5
Q

common bile duct and pancreatic duct empty through this sphincter into ampulla of vater of duodenum

A

sphincter of oddi

How well did you know this?
1
Not at all
2
3
4
5
Perfectly
6
Q

artery that supplies galbladder

A

cystic artery

How well did you know this?
1
Not at all
2
3
4
5
Perfectly
7
Q

what layer of mucosa is not seen in the gallbladder

A

muscularis mucosa

How well did you know this?
1
Not at all
2
3
4
5
Perfectly
8
Q
A

gallbladder histology

How well did you know this?
1
Not at all
2
3
4
5
Perfectly
9
Q

gallbladder comes from what during embryologic development

A

foregut

How well did you know this?
1
Not at all
2
3
4
5
Perfectly
10
Q

digestive hormone released by I cells of duodenum

A

Cholecystokinin (CCK)

How well did you know this?
1
Not at all
2
3
4
5
Perfectly
11
Q

when chyme enters duodenum; and stimulation by HCl, AA’s, or fatty acids entering duodenum

A

release of CCK

How well did you know this?
1
Not at all
2
3
4
5
Perfectly
12
Q

stimulates the gallbladder to contract

A

CCK

How well did you know this?
1
Not at all
2
3
4
5
Perfectly
13
Q

stimulates secretion of pancreatic juice

A

CCK

How well did you know this?
1
Not at all
2
3
4
5
Perfectly
14
Q

____ and ____ act as negative feedback loop blocking acid production

A

CCK and secretin

How well did you know this?
1
Not at all
2
3
4
5
Perfectly
15
Q

secretin’s effect on the pancreas

A

HCO3- production to neutralize acidic chyme

How well did you know this?
1
Not at all
2
3
4
5
Perfectly
16
Q

malformation of extrahepatic biliary ducts

A

biliary atresia

How well did you know this?
1
Not at all
2
3
4
5
Perfectly
17
Q

this is associated with situs inversus or polysplenia/asplenia

A

biliary atresia

How well did you know this?
1
Not at all
2
3
4
5
Perfectly
18
Q

cirrhosis and death within 3 years if no liver transplant performed

A

biliary atresia

How well did you know this?
1
Not at all
2
3
4
5
Perfectly
19
Q

jaundice
enlarged abdomen
pale stool
slow weight gain

A

biliary atresia

How well did you know this?
1
Not at all
2
3
4
5
Perfectly
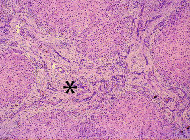
20
Q
A

portal triad on bottom left
central vein top right

How well did you know this?
1
Not at all
2
3
4
5
Perfectly
21
Q
A

portal fibrosis and bile duct hyperplasia

How well did you know this?
1
Not at all
2
3
4
5
Perfectly
22
Q

what caused this

A

biliary atresia

How well did you know this?
1
Not at all
2
3
4
5
Perfectly
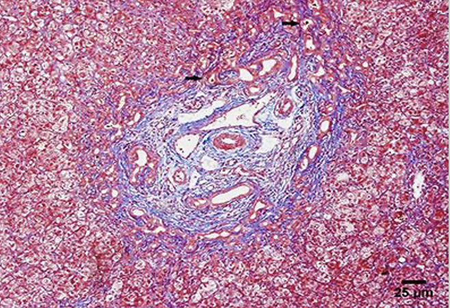
23
Q

trichrome stain of what

A

portal fibrosis

How well did you know this?
1
Not at all
2
3
4
5
Perfectly
24
Q
A

fibrosis of ducts

How well did you know this?
1
Not at all
2
3
4
5
Perfectly
25
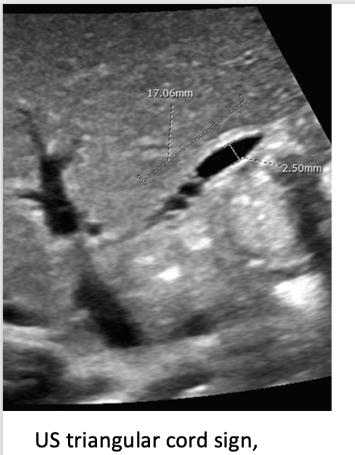
what is enlarged and why
gallbladder; due to an obstruction and bile backup
26
6 week old presents w/ jaundice and large abdomen
biliary atresia
27
best Rx to cure biliary atresia if available
liver transplant
28
triangle of Calot borders
top: lower liver margin lateral: cystic duct medial: common hepatic duct
29
what to clamp when removing gallbladder
cystic a. and cystic duct
30
what does the liver mainly live off of
nutrients from portal vein (20% O2 from hepatic a.)
31
what to do if pt. has RUQ pain
exam, U.S. labs
32
elevated Alk Phos can mean what
bone issues or biliary tract damage
33
labs for biliary tract damage
elevated bilirubin elevated GGT and ALP
34
decreased liver fxn lab
decreased albumin
35
elevated ____ levels during clinical f/u are often liver or bone induced elevations
ALP
36
biliary disease sx's
jaundice RUQ pain that radiates to back N/V fatigue fever itching
37
pt has RUQ pain that radiates to back postprandial pain
cholelithiasis (stone)/biliary colic (sludge)
38
inflammation to gallbladder due to stones or sludge
acute cholecystitis
39
RUQ pain that radiates to back fever, N/V + murphy's sign
acute cholecystitis
40
inflammation of duct system
cholangitis
41
abd pain + fever + jaundice (charcot triad)
ascending cholangitis
42
abd pain + fever + jaundice (charcot triad) + confustion and hypotension
reynolds pentad (for cholangitis)
43
gallstone that gets trapped in pancreatic duct
gallstone pancreatitis
44
what makes up biliary sludge
bile, cholesterol, and Ca2+
45
starts from biliary sludge; sudden RUQ pain that radiates to back; N/V
cholelithiasis (gallstones)
46
85% of gallstones are made of what; diet induced
cholesterol
47
radiolucent stone but can be seen with U.S
cholesterol gallstone
48
blood involved in the stone
black stone (gallstone)
49
seen in alcoholic liver disease and chronic hemolysis (anemia)
black stones
50
these stones are radiopaque but still seen on US
black stones
51
greasy stones seen in parasitic infection
brown stones
52
the 2 arrows in the circle
top: sludge bottom: gallstone
53
compression of common hepatic duct caused by obstruction of cystic duct (no bile coming out of system and liver backup)
Mirizzi Syndrome
54
sudden RUQ pain due to obstruction from sludge or stone
biliary colic
55
biliary colic due to obstructed duct
acute cholecystitis
56
neutrophils seen in this cholecystitis
acute
57
result of recurrent acute cholecystitis
chronic cholecystitis
58
chronic inflammation w/ fibrosis and trapped mucosal glands
chronic cholecystitis
59
Rokitansky-Aschoff sinuses
trapped mucosal glands seen in chronic cholecystitis
60
lymphocytes and macrophages seen in this cholecystitis
chronic cholecystitis
61
chronic cholecystitis
62
inflammation of biliary duct system mainly due to obstruction
cholangitis
63
obstructed areas
cholangitis
64
choledocholithiasis
gallstones in common bile duct
65
complication of chronic cholecystitis when a stone passes through a fistula b/t the gallbladder and small bowel and travels to ileum
gallstone ileus
66
seen in gallstone ileus
67
dystrophic calcification of gallbladder wall; may lead to gallbladder cancer if left in
porcelain gallbladder
68
porcelain gallbladder
69
porcelain gallbladder
70
autoimmine attacking of the INTRAhepatic ducts (women in their 50's)
primary biliary cholangitis
71
this leads to cirrhosis
primary biliary cholangitis
72
inflammation that will eventually lead to scarring
primary biliary cholangitis (cirrhosis)
73
scarring leading to trapped bile in liver and cyst formation
primary biliary cholangitis
74
chronic inflammatory destruction of INTRA and EXTRAhepatic bile ducts
primary sclerosing cholangitis
75
fibrosis and blocked ducts trap bile (bead on string) and leads to cirrhosis
primary sclerosing cholangitis
76
primary sclerosing cholangitis
77
primary sclerosing cholangitis
78
cirrhosis
79
cirrhosis
80
80% of patients who have primary sclerosing cholangitis will have what
ulcerative cholitis
81
what has an increased risk of cholangiocarcinoma
primary sclerosing cholangitis
82
men more than women bile ducts affected from intra + extrahepatic 80% will have ulcerative cholitis
primary sclerosing cholangitis
83
women more than men intrahepatic bile ducts affected medical treatment offered
primary biliary cholangitis
84
cancer of biliary duct system
cholangiocarcinoma
85
biliary disease and cholangiocarcinoma
86
risk factors include: primary sclerosing cholangitis smoking age>50 chronic liver disease
cholangiocarcinoma
87
uncommon female predominance 60-70 yrs of age
gallbladder adenocarcinoma
88
gallbladder adenocarcinoma