
*Appears as streak as it heads fo rmidline in front of the medulla oblongata, to join the Rt vertebral and form the basilar A at the inferior and anterior to the pons.
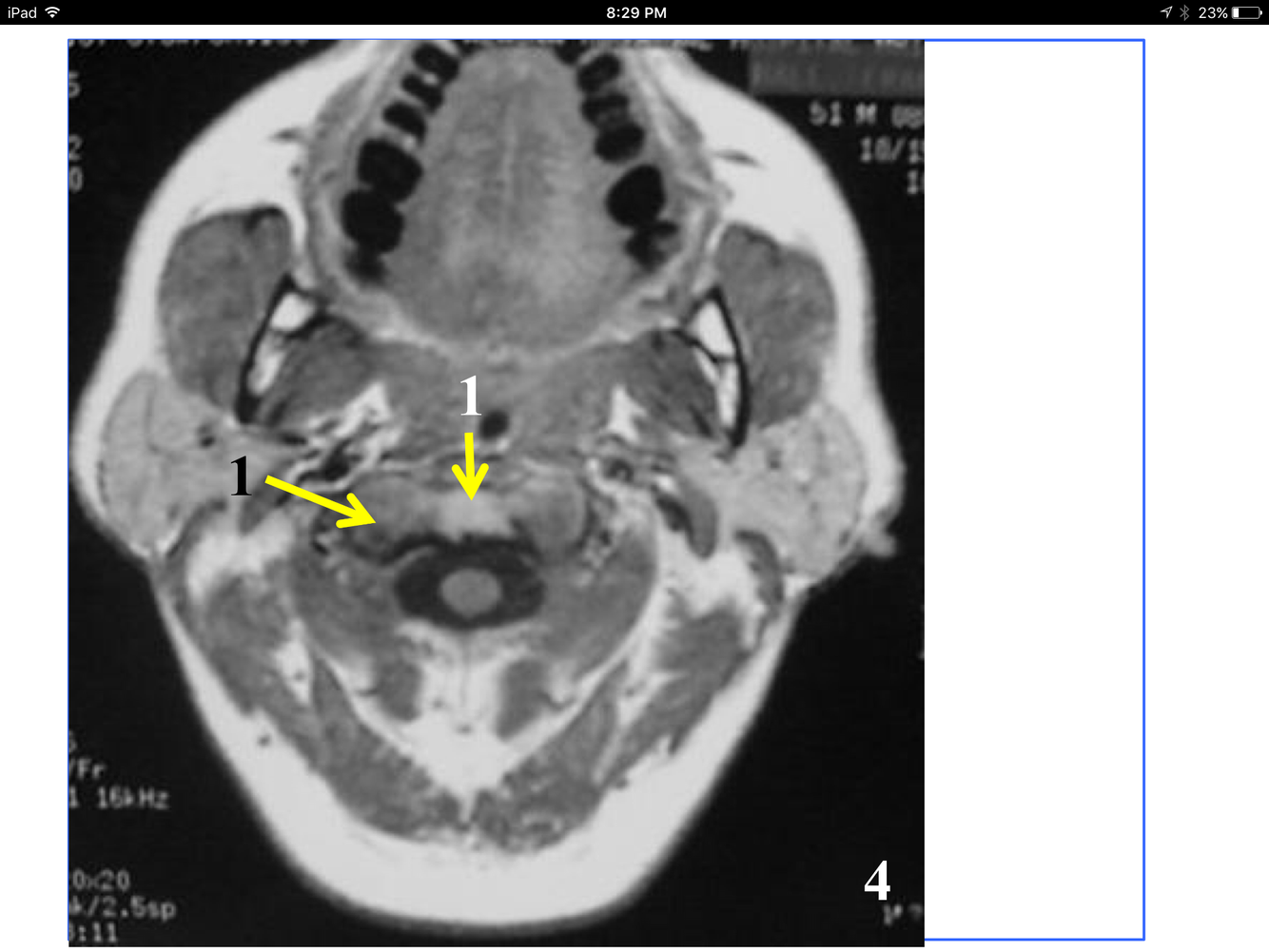
** At the foramen magnum, entering the posterior fossa of the cranium.

*near the atlantooccipital joint
**the tubercle of the anterior arch is where teh arrow is pointing, but not seen here.

* Just superior to atlantoaxial joint
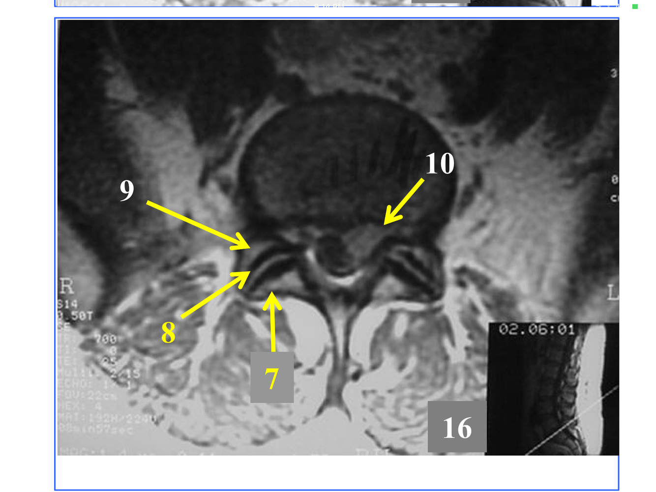
* The stack of inferior and superior articulating processes, and the zygapophyseal joints they form
*Comprised of the inferior and superior articulating processes, and the zygapophyseal joints they form
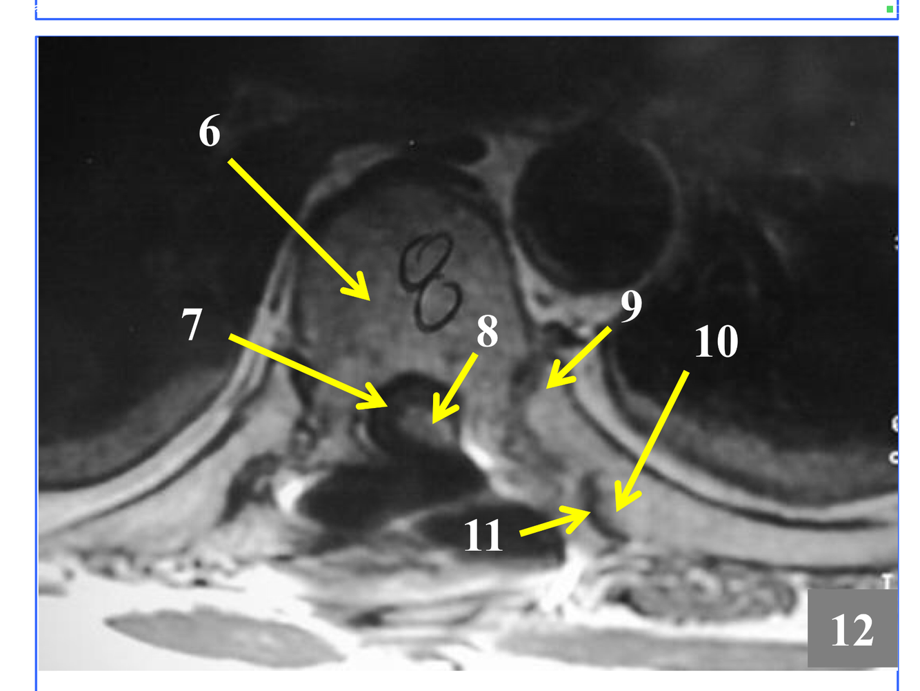
**10. Rt & Lt vertebral arteries**
*Although the transverse process is not seen, the tubercle articulates with the transverse costal facet on it.
*Immediately above the conus, which is at L1-L2
* Not seen in its entirety