Spirochetes Flashcards

(13 cards)

1
Q

Borrelia burgdorferi

A

the agent that causes Lyme disease! transmitted by ticks (Ixodes scapularis)

How well did you know this?
1
Not at all
2
3
4
5
Perfectly
2
Q

Lyme Disease Life Cycle lasts how long?

A

2 years!!

How well did you know this?
1
Not at all
2
3
4
5
Perfectly
3
Q

Erythema chronicum migrans

A

rash caused by Lyme disease

How well did you know this?
1
Not at all
2
3
4
5
Perfectly
4
Q

Borrelia pathogenesis

A

induces cyst formation and can regerminate into the spiral form, evade immunity, could be connected with MS and Alzheimer’s

How well did you know this?
1
Not at all
2
3
4
5
Perfectly
5
Q

Antigenic Variation of Outer Surface Proteins for Vaccines for Borrelia?

A

OspA is present in the tick, changes to OspC in humans; regulated by increased temperature and chemical factors in host blood; OspC complexes with Salp15 in salivary glands and when they bind it evades antibodies?

How well did you know this?
1
Not at all
2
3
4
5
Perfectly
6
Q

How is leptospirosis transmitted?

A

urine

How well did you know this?
1
Not at all
2
3
4
5
Perfectly
7
Q

Major Affected Organs of Lepto (2)?

A

liver and kidneys

How well did you know this?
1
Not at all
2
3
4
5
Perfectly
8
Q

In what cells does lepto multiply?

A

endothelium in capillaries

How well did you know this?
1
Not at all
2
3
4
5
Perfectly
9
Q

Which causes disease more often - host-adapted or non-host-adapted lepto?

A

host-adapted

How well did you know this?
1
Not at all
2
3
4
5
Perfectly
10
Q

Which causes more severe disease - host-adapted or non-host-adapted lepto?

A

trick question, it’s not related!

How well did you know this?
1
Not at all
2
3
4
5
Perfectly
11
Q

Brachyspira hyodysenteriae

A

swine dysentery/necrohemorrhagic enteritis (bloody diarrhea in post-weaning/growers (8-14 weeks))

How well did you know this?
1
Not at all
2
3
4
5
Perfectly
12
Q

Can Brachyspira hyodysenteriae cause swine dysentery on its own?

A

no, generally part of a secondary infection (B. fragilis or Fusobacterium)

How well did you know this?
1
Not at all
2
3
4
5
Perfectly
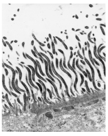
13
Q

Diagnostic Marker for Brachyspira piloscoli (swine colitis)?

A

end-on-end attachment to the luminal epithelium on the electron microscope!

How well did you know this?
1
Not at all
2
3
4
5
Perfectly