where is the spleen located?
what covers it?
what ligaments? what do they attach?
which capsule is it in?
Lt. hypochondrium
Intraperitoneal
•
Peritoneum covering entire organ, except hilum
Peritoneal ligaments
•
Attach spleen to the stomach and kidney
–
True capsule
is the hilum in direct contact w/ the peritoneum?
No
what is the avg adult size of spleen in long and AP?
12-13 cm in long, 7-8cm in AP
describe the spleens shape and texture.
which surface in convex? concave?
Variable shape: Ovid, Triangular
Smooth surface
Convex superior surface
Concave inferior surface
What surface is this?

inferior. notice the hilum
where is the spleen in relation to the pancreas? stomach? kidney?
superior and lateral to the pancreas
lateral to the stomach
anterior and slighly superior to the kidney

what ligaments extend from the spleen?
gastrosplenic ligament
lienorenal ligament
phrenicocolic ligament

Why is the spleen subject to infarction?
because of lack of anastomoses between the intra-parenchymal vessels
describe the splenic artery
from Celiac Axis
–
tortuous vessel
–
travels horizontally along superior border of pancreas
–
divides and enters the spleen at its hilum
what does the splenic vein join and form?
joins superior mesenteric vein to form the portal vein at head of pancreas
describe teh splenic vein
forms in splenic hilum
–
travels medially toward pancreatic head
–
________ also exit the spleen at the hilum
Lymph vessels
what type of pulp does the spleen have?
white and red

what are the functions of the spleen (4) as an organ of the reticulendothelial system?
production of lymphocytes and plasma cells
production of antibodies
storage of iron
storage of other metabolites
what are the functions and characteristics of the spleen (6)?
maturation of the surface of erthrocytes
reservoir
culling (keeping #s when we need them, killing excess)
pitting function
disposal of senescent or abnormal erthrocytes
functions related to platelet and leukocyte life span
what is the funciton of the spleen in the fetus?
erythropoiesis - RBC production
Splenic Protocol
–
Longitudinal with measurements in longest axis and 90o to long axis
–
Transverse with measurement in this planes longest dimension
splenic sonographic appearance
what can make it hard to visualize?
homogenous texture, smooth surface, calcifcations no uncommon
lung, stomach, gas in colon
what type of calcification are not uncommon to find in the spleen? what are they and why do they become calcified?
Granulomas-spherical mass of immune cells that forms when the body attempts to wall off substances that it perceives as foreign but is unable to eliminate. The body then places calcium around it.
what landmarks are important to find when looking for the spleen? where should you look?
diaphragm and lt kidney
posterior and superior
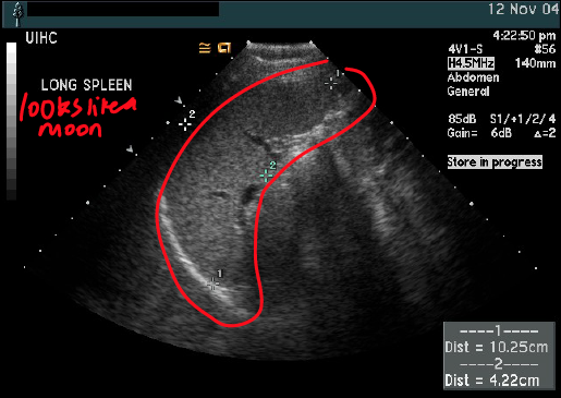
what are the dimensions of this spleen?
is this normal?

long 10.25cm
AP 4.22 cm
a bit small perhaps
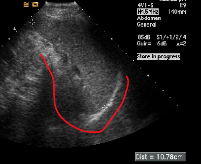
what plane was this image taken in?

transverse
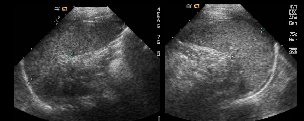
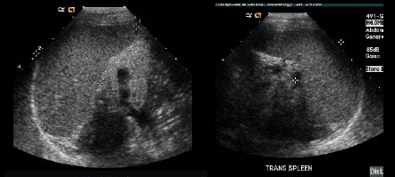
which plane are each of these spleens in? how can you tell?

lt long, rt trans
look for the hilum.
(same below)

What is it called when the spleen is larger than normal?
splenemegaly
