What is cytopenia?
is a reduction in the number of blood cells.
functions of spleen?
immunlogical> white pulp
1) houses T& B cells
2) helps in initiation of immune responses against circulating antigens and microbes
3) produces antibodies (plasma cells)
4) removal of abnormal macromolecules by splint macrophages
Hemotological>red pulp
1) removes old RBC (by macrophages)
2) retrieval of iron from the RBC (by macrophages)
3) during fetal life (hematopoesis)
4) acts as a resevoir for plateltes
why is the spleen’s capsule very prone to rupture?
bc it is very thin! A SEVERE INFECTION CAN CAUSE IT to RUPTURE, spilling blood into the peritoneal cavity!
what is splenectomy?
Removal of spleen
Location of spleen
L. upper quadrant edge of stomach just beneath the diaphragm

functions of spleen
what is splenomegaly & causes?
Enlargment of spleen
>Overworking red pup
>overworking white pulp
>portal hypertension (back pressure)
>Expands due to infiltration of BAD cells (cancer cells)
>expands to the infiltration of other materials
***UR NOT SUPPOSED TO BE ABLE TO PALPATE THE SPLEEN!
ok
what is Gauchers disease?
DEFECT in the lysosomal enzyme “beta glucosidase” which is supposed to break down GLUCOCEREBRESIDE (a constitute of web and rbc membranes).
this will cause GLUCOCEREBRESIDE to accumulate in macrophages. these r known as GAUCHER cells. can cause SPLENOMEGALY

what is Hyposplenism & causes?
term used to describe REDUCED function of spleen- -associated w/ high risk of developing sepsis. CAUSES: -underlyign diseases that reduce spleen function (sickle cell, coeliac disease) -SPLENOCTOMY
What could be a good indicator of reduced splenic function? explain why
these r basophilic nuclear remnant (clusters of DNA) in circulating erythroytes
**normally in erythrobpoeis, erythroblasts usually expel their nuclei away and the SPLEEN removes them.
so if spleen isn’t working or u have undergone splenoctamy!>> u get all those DNA clusters floating in the RBC.
if u havent done splenoctamy> it could be due to sickle cell disease or smthn
If patient has spleen removed, what huge risk does he have?
1) bacteria septecemia, bc bacteria in blood is not filtered out and immune response is not properly made! 2) Capsulated bacteria mostly (pneumococcus, Hemophilud influenzae, meningicoccus) bc to remove capsulated bacteria we need the spleen! bc spleen helps with antibodies which can act as opsonins to enhance phagocytosis. 3) congestive spleen >>due to cirrhosis of liver>> vasculature reuined> portsl hypertention> back pressure to spleen> SPLENOMAGLY
if u have ur splenoctamy u r at higher risk of infection, why?
Capsulated bacteria MOSLTY (pneumococcus, Hemophilud influenzae, meningicoccus) bc to remove capsulated bacteria we need the spleen! bc spleen helps with making antibodies which can act as opsonins to enhance phagocytosis.
what is cytopenia?
reduction in # of blood cells.
what is the most abundant type of leuccyte? what colour do they stain? how many lobes do they have? what granules do they contain?
Neutrophils
what can cause neutrophillia?
**must know
–bacteria linfection
What artery supplies the spleen? What does it arise from
Splenic artery, branches off the celiac artery
What is the most common cause of portal hypertension?
Cirrhosis of liver
What is pancytopenia?
Low RBC WBC PLATELETS
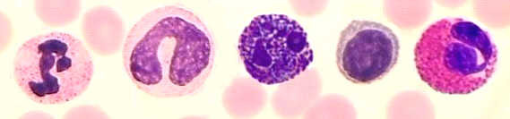
Name the following WBC

Neutrophills
monocyte
basophill
lymphocyte
eosonophil
Low red cell count =
Low white blood =
Low neutrophil count =
Low platelet count =
Low red blood cells, white blood cells, and platelets =
Anemia
leucopenia
neutropenia
thrombocytopenia
pancytopenia
-blast> means immature cell
ok
this is the maturation of neutrohills, which ones should we be able to see in the circulation?
what is the role of C-GSF hormone? (3)

last 2
It controls the prduction of neutrophills, and enhances their chemotaxis and enhances their phagocytosis and killing