Spot diagnosis Flashcards

(25 cards)

1
Q

Signs
What else are you going to look for on exam?

A

Rheumatoid arthritis
Picture illustrates Boutonniere deformity, ulnar deviation and Z-shaped thumb.

Look for: subluxation of the MCP joints and ulna at the carpal joint, nail infarcts, palmar erythema, wasting of the small muscles of the hand, carpal tunnel syndrome, elbow nodules, disease activity.

Look at: functional ability, other joints.

Other features to look for: anaemia, Felty syndrome, pulmonary manifestations (effusions, nodules, fibrosis, Caplan syndrome), ocular features (epi/scleritis, scleromalacia, keratoconjunctivitis sicca), atlanto-axial subluxation.

How well did you know this?
1
Not at all
2
3
4
5
Perfectly
2
Q

Associations?

A

Arthritis mutilans
- Characterised by widespread digital deformity, the presence of flail digits, telescoping of the digits with redundant folds of skin.

Associated with either severe rheumatoid arthritis or psoriatic arthropathy.

How well did you know this?
1
Not at all
2
3
4
5
Perfectly
3
Q
A

Digital rheumatoid nodule

How well did you know this?
1
Not at all
2
3
4
5
Perfectly
4
Q
A

Arthritis mutilans
Picture illustrates: widespread digital deformity, the presence of flail digits, telescoping of the digits with redundant folds of skin in a patient with Rheumatoid arthritis (RA).
Look for other features of RA.

How well did you know this?
1
Not at all
2
3
4
5
Perfectly
5
Q
A

Boutonniere deformities.

Look for: other features, i.e. ulnar deviation, Z-shaped thumb, subluxation of the MCP joints and ulna at the carpal joint, nail infarcts, palmar erythema, wasting of the small muscles of the hand, carpal tunnel syndrome, elbow nodules, disease activity.

Look at: functional ability, other joints.

Other RA features to look for: anaemia, Felty syndrome, pulmonary conditions.

How well did you know this?
1
Not at all
2
3
4
5
Perfectly
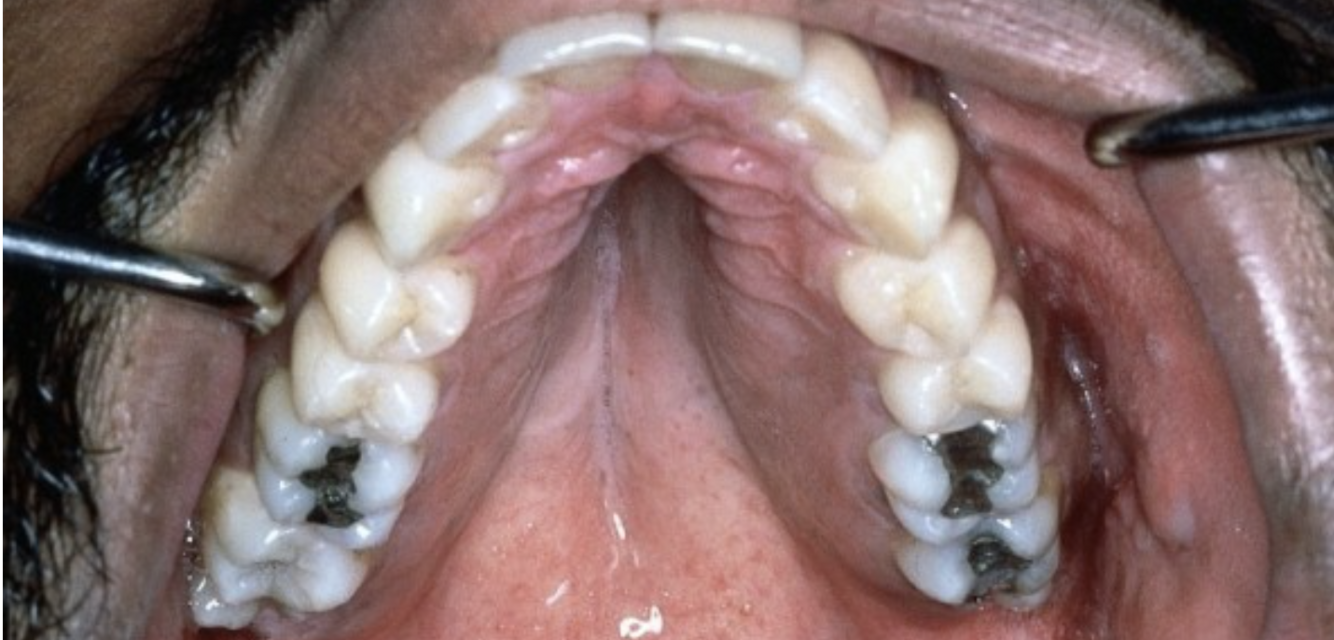
6
Q
A

Marfan’s syndrome (high-arched palate)

Look at: arm span exceeding height, hands (arachnodactyly, hypermobile joints), eyes (upward dislocation of lenses (may have thick glasses, blue sclera), ‘long- head’ (frontal bossing + prominent supraorbital ridges), skin (Miescher’s elastoma (small papules on neck)), pectus excavatum, cystic lung disease, heart (mitral valve prolapse, aortic regurgitation, prone to aortic aneurysms), spinal scoliosis and kyphosis.

Ask about: autosomal dominant family history.

Differential diagnosis: Homocystinuria (similar skeletal features).

How well did you know this?
1
Not at all
2
3
4
5
Perfectly
7
Q

Common causes

A

wasting of the small muscles of this patient’s hand.

Genarlised muscle wasting of the body may be phygsiological in the elderly.

Common pathological causes include motor neurone disease rheumatoid arthritis poliomyelitis and thoracic inlet syndrome

Other causes include brachial plexus involvemetn, trauma, median or ulner nerve palsies, cervical rib, leprosy and syphillis.

How well did you know this?
1
Not at all
2
3
4
5
Perfectly
8
Q
A

Retinitis pigmentosa

How well did you know this?
1
Not at all
2
3
4
5
Perfectly
9
Q
A

Diabetic retinopathy

How well did you know this?
1
Not at all
2
3
4
5
Perfectly
10
Q
A

Cataract

How well did you know this?
1
Not at all
2
3
4
5
Perfectly
11
Q
A

Diabetic proliferative retinopathy

How well did you know this?
1
Not at all
2
3
4
5
Perfectly
12
Q
A

Papilloedema

How well did you know this?
1
Not at all
2
3
4
5
Perfectly
13
Q
A

Branch retinal vein oclusion

How well did you know this?
1
Not at all
2
3
4
5
Perfectly
14
Q
A

CRVO

How well did you know this?
1
Not at all
2
3
4
5
Perfectly
15
Q
A

Banch artery occlusion

How well did you know this?
1
Not at all
2
3
4
5
Perfectly
17
Q
A

Hypertensive retinopathy

19
Q

What else are you going to examine if you see this

A

AV fistula

A thrill can be felt over a functioning fistula and a bruit should be easily heard.

Look for scars of previous peritoneal dialysis on abdomen or previous central venous access in neck.

Look for uremic flap.

Palpate abdomen carefully for transplant kidney.

Transplant anti-rejection drugs may cause a tacrolimus tremor or ciclosporin gum hypertrophy.

20
Q
A

Posterior thoracostomy scar

21
Q
A

Scar from harvesting of right great saphenous vein (GSV)

GSV grafts are commonly used for coronary artery bypass grafting and peripheral artery bypass procedures. Therefore, examine such patients for scars of cardiac surgery (e.g. median sternotomy) or any peripheral vascular procedural scars.

Note that the saphenous nerve (i.e. a branch of the femoral nerve) runs with the GSV in the lower limb and may be damaged during harvesting of the GSV

21
Q
A

Liver transplant

22
Q

Indications for this?

A

VATS procedure
- normally be three scars, the largest of which is in the lateral chest wall, a further two scars and together these scars will triangulate.

Indications for VATS include:
Lobectomy
Wedge resection
Decortication
Bullectomy
Pleurectomy

23
Q
A

Vein harvest scar

24
What else might you find on exam
Systemic sclerosis smooth shiny, slightly pigmented and indurated skin on hands with sclerodactyly. Look for other features of systemic sclerosis (facial telangiectasia, restricted mouth opening, peri oral puckering, Raynaud's phenomenon (+/- infarct or gangrene), dilated nail fold capillaries, ragged cuticles, calcinosis cutis, livedo reticularis). Limited cutaneous SS = skin sclerosis limited to hands, feet, face and forearms. Diffuse cutaneous SS = truncal and acral skin involvement leading to internal organ disease and failure.