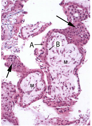
What do the arrows indicate on this image of the villi of a 6w old placenta?

Cytotrophoblast cells (solid cores extend out to form new branches)
What stage of the menstrual cycle is shown here?

Endometrium: onset of mensturation.
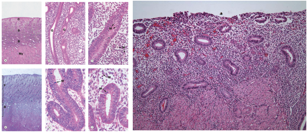
What stage of the menstrual cycle is shown here?

Proliferative endometrium with lots of glands forming.
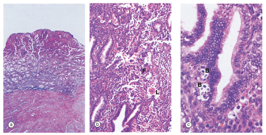
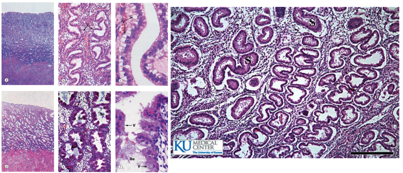
What stage of the menstrual cycle is shown here?

Secretory endometrium. Big cells and glands secreting components for incoming foetus
Label A-E of the pelvis.

A: greater (false) pelvis
B: lesser (true) pelvis
C: pelvic brim/inlet (divides the greater and lesser pelvis)
D: pelvic outlet
E: perineum
Label A-G of the pelvis.

A: iliac crest
B: PSIS
C: ASIS
D: ischial spine
E: ischial tuberosity
F: pubic tubercle
G: superior pubic ramus
Label A and B and state what they form.

A: arcuate line
B: pectineal line
Form the pelvic brim
Label A-E

A: sacrospinous ligament
B: sacrotuberous ligament
C: obturator canal
D: obturator membrane
E: greater and lesser sciatic foramen
Label A-C

A: sacroiliac
B: sacrospinous
C: sacrotuberous
Label A-E

A: anterior sacroiliac ligament
B: sacrospinous
C: sacrotuberous
D: pectineal line
E: pubic symphysis
Label A and B.
What runs from the sacral promontry to the symphysis pubis?

A: pelvic inlet
B: pelvic outlet
Diagonal conjugate.
Label A-C

A: sacroiliac
B: sacrospinous
C: sacrotuberous
Label A-C

A: piriformis (leaves pelvis through greater sciatic foramen)
B: coccygeus (overlying sacrospinous ligament)
C: obturator internus (leaves pelvis through lesser sciatic foramen)
Label A-C.
What does the green line indicate?

A: levator ani
B: coccygeus
C: piriformis
Levator ani muscle attachment
Label A and B

A: obturator nerve
B: pudendal nerve (goes to perineum behind the pelvic floor)
Label A-H of this male pelvic floor.

A: levator prostatae
B: puborectalis
C: pubococcygeus
D: iliococcygeus
E: levator ani
F: coccygeus
G: midline raphe
H: piriformis
Label A-D of this female pelvic floor.

A: puborectalis and pubococcygeus
B: iliococcygeus
C: coccygeus
D: piriformis
Label A-C

A: iliococcygeus
B: pubococcygeus
C: puborectalis
What is this condition?

Widespread purpuric rash - meningococcal septicaemia
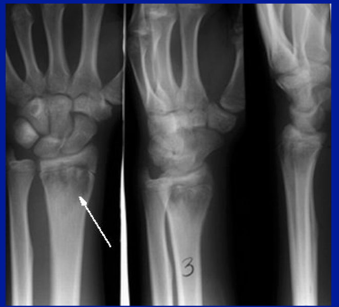
What is this condition? (Can be caused by pneumococcus)

Osteomyelitis. Only seen on X ray about 10d after so need MRI instead.
What condition is this?

Molluscum contagiosum in normal host (top 2) and immunocompromised host (bottom 2). In pox virus family. Umbilicated lesions (dome shaped), in moist areas.
Label A-E.

a) placenta
b) myometrium
c) chorionic villi
d) chorion
e) amnion
Label A-G

A) pudendal nerve
B) lesser sciatic foramen
C) inferior anal nerve
D) deep perineal nerve
E) superficial perineal nerve
F) posterior scrotal nerve
G) dorsal nerve of the penis
Label A-E

A) ischiopubic ramus
B) obturator foramen
C) pubic symphysis
D) ischial tuberosity
E) perineal membrane