
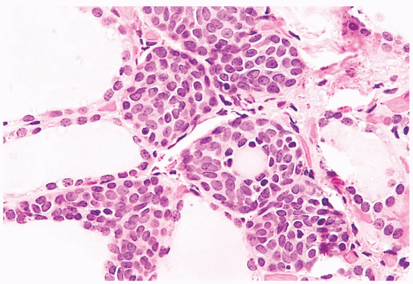
Ultimobranchial body rest in thryoid

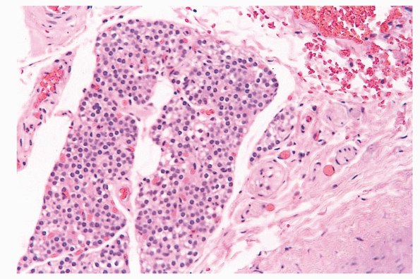
Lingual thyroid

Parathyroid tissue in thyroid capsule

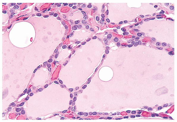
Normal thryoid

Palpation thyroiditis

Hashimoto’s thyroiditis

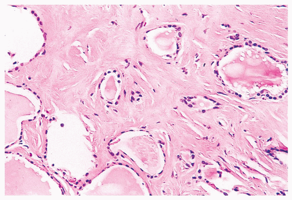
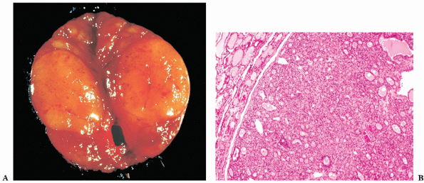
Radiation change, nodular goiter

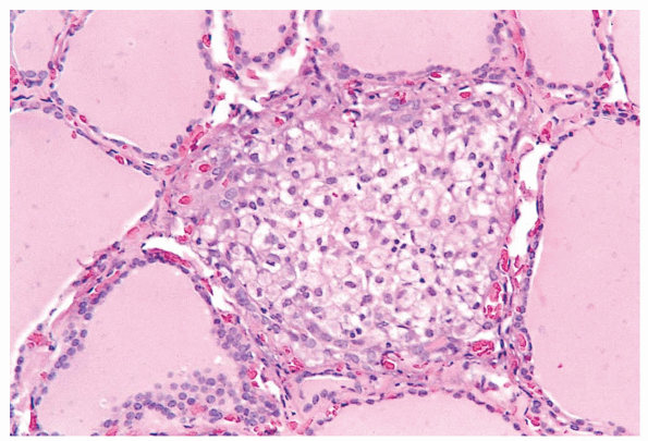
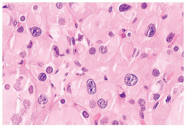
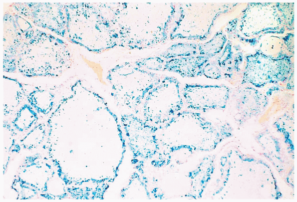
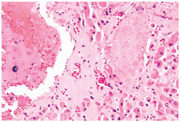
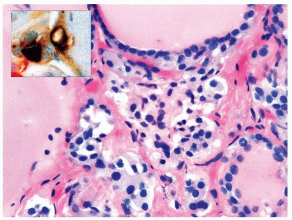
Hemochromatosis, PPB

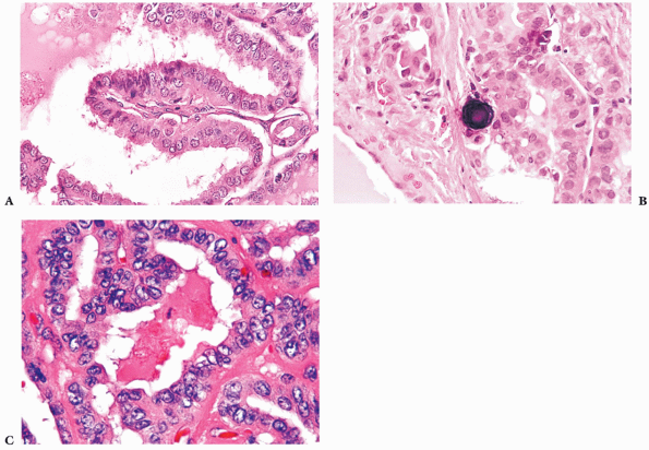
Papillary thyroid carcinoma

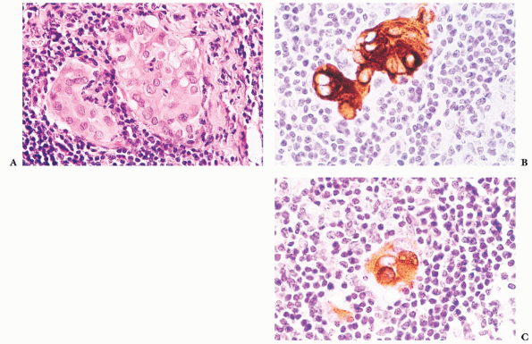
Metastatic PTC in LN

PTC, solid variant

Follicular adenoma

Follicular carcinoma

Hurthle cell nodule with extensive necrosis

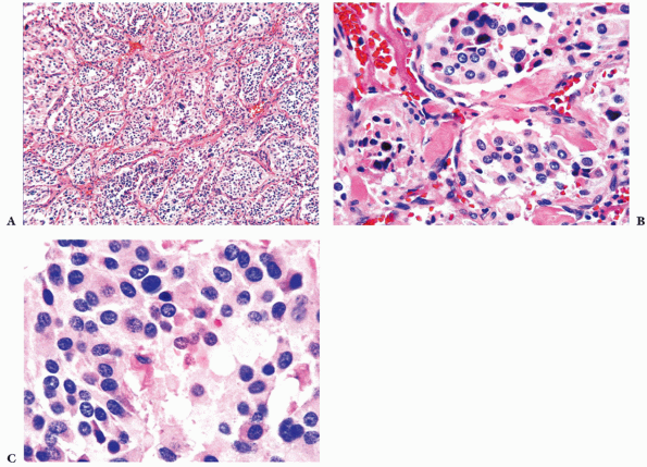
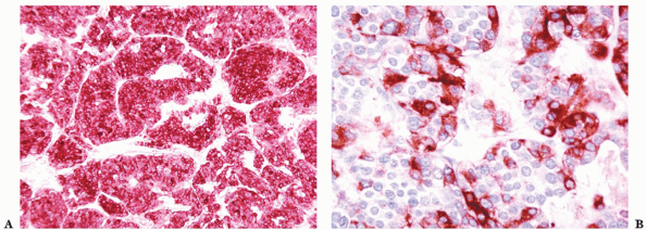
Medullary carcinoma

Medullary carcinoma

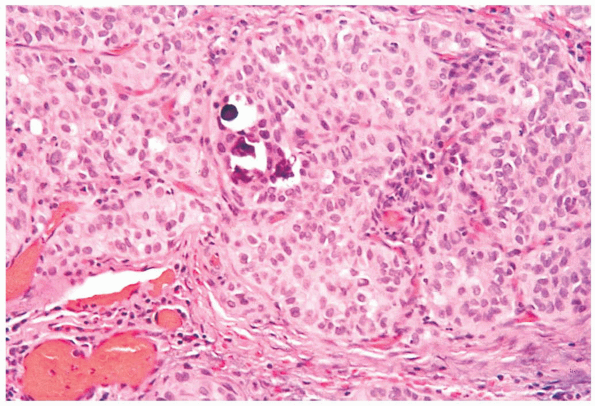
C cell nodular proliferation

Insular carcinoma

DLBCL in pt with Hashimoto’s thyroiditis

Post-FNA infarction of thyroid

Normal parathyroid

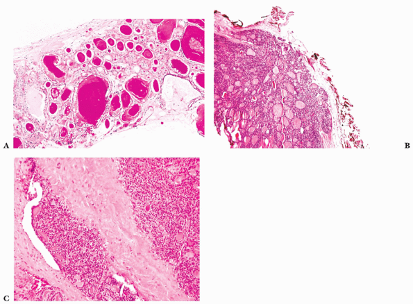
Parathyroid adenoma

Parathryoid carcinoma

Parathyroid carcinoma