Irritation Fibromas
Composed of
Etiology
Clinical features ;Color
Location
Treatment
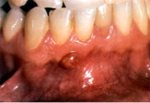
What is this clinical finding?

Irritation Fibromas
What is this clinical finding?

Irritation Fibromas
What is this clinical finding?

Chronic Hyperplastic Pulpitis (pulp polyp)

Giant Cell Fibroma
Chronic Hyperplastic Pulpitis
What is it?
Location?
Age?
Clinical Appearance?
Treatment?
• AKA: pulp polyp
• An e_xcessive proliferation of chronically inflamed dental pulp tissue_ – granulation tissue/ fibrous tissue with inflammatory cells (like a little fibroma that
occurs from pulp tissue) ( benign soft tissue leasion)
• Location:
• Teeth with large, open carious lesions
• Primary or permanent molars
• Age: Children & young adults
• Clinical Appearance: A red or pink nodule of soft tissue protruding from the
pulp chamber and fills the entire cavity of the tooth
• Treatment: RCT or extraction of tooth
Giant Cell Fibroma
What are these clinical findings (what is the name of the syndrome or complex?)

Tuberous sclerosis complex
we see A lot of gingival enlargement – is this overgrowth from disease or from seizure medication? Multi organ system involvement
What is this clinical finding?

Epulis Fissuratum
Cowden Syndrome
What is this clinical finding?

Inflammatory Papillary Hyperplasia of the Palate
What is these clinical findings? (what is the name of the syndrome or complex?)
Cowden Syndrome
Very rare!
Tuberous sclerosis complex
• is an inherited disorder caused by mutations in the tuberous sclerosis complex (TSC1 or TSC2) genes
• Characterized by seizures and mental retardation associated with hamartomatous glial proliferations and neuronal deformity in the central nervous system.
• Fine wart-like lesions (adenoma sebaceum) occur in a butterfly distribution over the cheeks and forehead, and histologically similar lesions (vascular fibromas) have been described intraorally.
• Characteristic hypoplastic enamel defects (pitted enamel hypoplasia)
occur in 40 to 100% of those affected.
• Rhabdomyoma of the heart and other hamartomas of the kidney,
Epulis Fissuratum
AKA
Cause
Location
Clinical presentation
Composed of
Treatment
• AKA: denture-induced fibrous hyperplasia, fibrous inflammatory hyperplasia
• Cause: ill-fitting denture
• Location: vestibule (maxilla or mandible), along the
denture border
•Clinical presentation: Arranged in elongated folds of tissue into which the
denture flange fits; • Surface ulceration within the folds is common
• Composed of dense fibrous connective tissue
• Treatment: surgical excision (scalpel vs CO2 laser -laser is better)
and reline then remake of denture
What is the clinical finding?

Pyogenic Granuloma
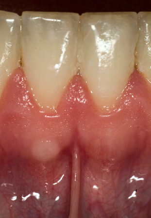
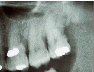
We can see the corresponding radiograph;
-although the radiograph suggests generalized bone loss, there is a lot of calculus on
the distal of #16 > it makes sense that this is a pyogenic granuloma

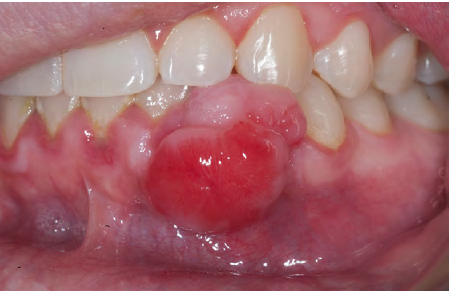
What is this clinical finding?

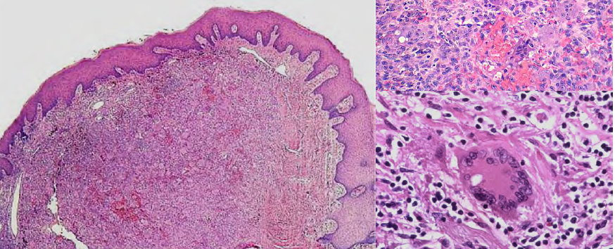
Pyogenic Granuloma:
Pyogenic Granuloma
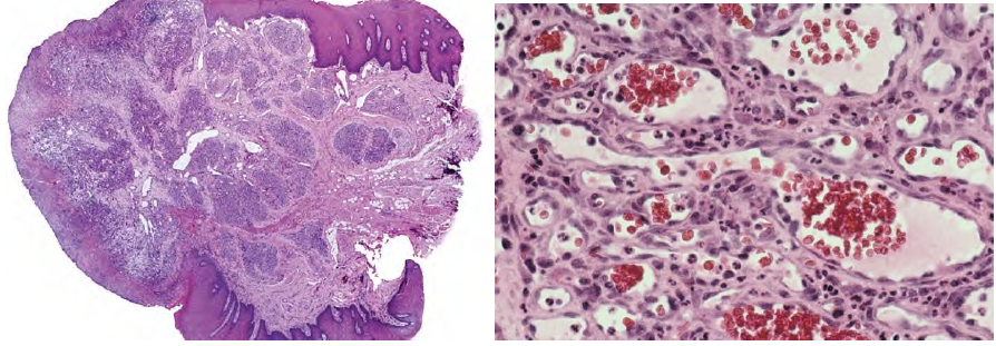
Histology
They are filled with blood vessels so they’re very very rich
in vascularization > they tend to bleed easily

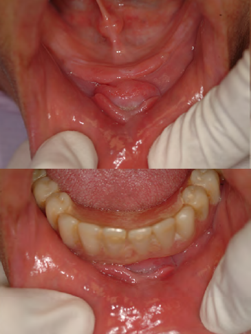
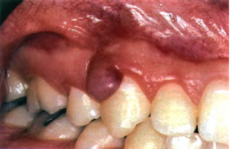
What is this clinical finding?

A parulis
It is not a pyogenic granuloma
A parulis is a proliferation of granulation tissue at the opening of a sinus tract
When the infection breaks through the alveolar bone and presents itself,
it will sometimes cause this proliferation of granulation tissue
Inflammatory Papillary Hyperplasia of the Palate
Majority occur with what disease?
Associated with what?
Clinical appearance
Treatment
What is this clinical finding?

Peripheral Ossifying or Cementifying Fibroma
Lesion in the image is pedunculated – put a periodontal probe on normal gingiva and glide along underneath it, there’s a stalk
Peripheral Ossifying Fibroma
Histology

What is this clinical finding?

Peripheral Giant Cell Granuloma
Peripheral Giant Cell Granuloma
Histology
Giant cells inside the lesion

What are the 3P
or 4P?
• Pyogenic granuloma/pregnancy tumor
• Peripheral ossifying**_or_**cementifying fibroma
• Peripheral giant cell granuloma
• Peripheral fibroma (4P)
Memorize these well!
All benign soft tissue lesions