std Flashcards

(16 cards)

1
Q

what is a liver complication of chlamydia

A

Fitz-Hugh Curtis (liver and peritoneum capsule adhesions

How well did you know this?
1
Not at all
2
3
4
5
Perfectly
2
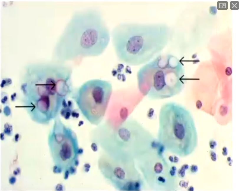
Q

what’s on this pap smear

A

chlamydia.. you can see the reticular vacuoles where the bacteria replicate

How well did you know this?
1
Not at all
2
3
4
5
Perfectly
3
Q

neonate chlamydia

A

conjunctivitis and pneumonia

How well did you know this?
1
Not at all
2
3
4
5
Perfectly
4
Q

complictaions of chlamydia

A

PID -> infertility via adhesions
ectopic preg
reactive arthritis

How well did you know this?
1
Not at all
2
3
4
5
Perfectly
5
Q

gonorrhoea complications (4)

A

septic arthritis
blindness
infertility
septicemia

How well did you know this?
1
Not at all
2
3
4
5
Perfectly
6
Q

gardocil also protects against

A

genital warts

How well did you know this?
1
Not at all
2
3
4
5
Perfectly
7
Q

which herpes is genital

A

HSV2

How well did you know this?
1
Not at all
2
3
4
5
Perfectly
8
Q

what and where is condyloma latum

A

2ary syphilis on genitals, trunk and palms of hand

How well did you know this?
1
Not at all
2
3
4
5
Perfectly
8
Q

syphilis is a …bacteria

A

spirochaete

How well did you know this?
1
Not at all
2
3
4
5
Perfectly
9
Q

is chancre painful

A

no

How well did you know this?
1
Not at all
2
3
4
5
Perfectly
10
Q

tx of syphilis (2 options)

A

penicillin, dosxycycline

How well did you know this?
1
Not at all
2
3
4
5
Perfectly
11
Q

what is trichomoniasis

A

protozoa (parasite_

How well did you know this?
1
Not at all
2
3
4
5
Perfectly
12
Q

common sign of trichmoniasis

A

strawberry cervix

How well did you know this?
1
Not at all
2
3
4
5
Perfectly
13
Q

what birth outcomes in trichomoniasis

A

poor

How well did you know this?
1
Not at all
2
3
4
5
Perfectly
14
Q

Prep vs Pep

A

prep before exposure, pep after exposure within 2 hours but up to 72 horus

How well did you know this?
1
Not at all
2
3
4
5
Perfectly