Ligation of what artery can be used as a treatment for Parkinson’s disease
Anterior Choroidal A.
What causes Broca’s aphasia & what is it
MCA occlusion. Leads to speech problems. Know what you’re saying but have a frustrating problem in initiating speech motor patterns.
What causes Wernicke’s aphasia & what is it?
Obstruction of Middle cerebral artery in dominant hemisphere (back). It’s a comprehension problem. Lack meaning in their spoken and written comprehension of language.
Tabes dorsalis or tertiary neurosyphilis
Meningovascular infection of posterior spinal arteries and their branches leading to an irritation or destruction of their neuroanatomical structures
Lateral Medullary (Wallenberg) Syndrome
Thrombosis of Posterior Inferior Cerebellar A.
Central Cord Syndrome
An ischemia of the central region of the spinal cord due to a disruption (thrombosis) of blood flow to the anterior spinal artery.
Characterized by central necrosis and cavitation of the spinal cord and the development of a syrinx.
Great vein varix
Dilation of the Great Vein of Galen due to bloackage. It may compress the pineal body and posterior commissure. Because it drains most of the deep cerebrum it is usually fatal.
What causes an epidural hematoma?
What does it look like on an x-ray?

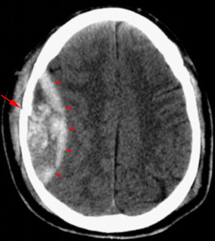
What causes a subdural hematoma?
What does it look like on an x-ray?
Bleeding of bridging veins resulting in blood gathering between the inner layer of the dura mater and the arachnoid mater (subdural space). May be due to blow to head that jerks brain inside cranium (i.e. hitting windshield in car accident).
Crescent shaped hematoma on side of brain

What causes a subarachnoid hemorrhage?
What does it look like on an x-ray?
Rupture of one of the blood vessels supplying the CNS. All of the major blood vessels supplying the CNS pass through or course in the subarachnoid space.
Spiderweb shape

Subfalcine (Falx) herniation
The most common form of intracranial herniation and occurs when brain tissue is displaced under the falx cerebri. The cingulate gyrus is herniated under the falx, and if progression occurs, other areas of the frontal lobe are involved.
“Midline shift”
Tentorial or Uncal herniation
Downward herniation of uncus through the tentorial notch. Can lead to progressive decrease in the level of consciousness.
Tonsillar herniation
Tonsilar portion of cerebellum herniates through foramen magnum
Leads to Arnold-Chiari Malformation - lower part of brain expands into spinal cord