Stevens- Johnson/NET Flashcards

(33 cards)

1
Q

Verdadero o Falso.
La incidencia en adultos es de 7-8 casos/100k.
La incidencia en población pediátrica es de 1-2 casos/1M.

A

Falso, es al revés.

How well did you know this?
1
Not at all
2
3
4
5
Perfectly
2
Q

Factores de riesgo:

A

LES.
> 80 años.
VIH (El más importante).

How well did you know this?
1
Not at all
2
3
4
5
Perfectly
3
Q

Agentes etiológicos más frecuentes:

A
  1. Alopurinol (Más frecuente en Europa e Israel).
  2. Antiepilépticos (Carbamazepina, Lamotrigina, Fenitoína).
  3. Antibióticos (Sulfonamidas).
  4. AINES.
How well did you know this?
1
Not at all
2
3
4
5
Perfectly
4
Q

Factores de riesgo acumulados para SJS/NET: (5)

A

Fármacos.
Estructura química.
Metabolismo.
HLA.
Tipos de células T.

How well did you know this?
1
Not at all
2
3
4
5
Perfectly
5
Q

Haplotipo asociado a SJS/NET cuando se administra Carbamazepina:

A

B*15:02

How well did you know this?
1
Not at all
2
3
4
5
Perfectly
6
Q

Fisiopatogenia:

A

Implica una reacción de hipersensibilidad retardada (tipo IV):
↑ actividad de células T citotóxicas específicas del fármaco → liberación de granulisina (una proteína citolítica) por un mecanismo desconocido → daño a los queratinocitos.

How well did you know this?
1
Not at all
2
3
4
5
Perfectly
7
Q

Síntomas en el periodo prodrómico (1-3 días): (10)

A

Malestar general.
Fiebre.
Anorexia.
Dolor en mucosas.
Escozor ocular.
Cefalea.
Rinitis.
Tos.
Odinofagia.
Mialgia.

How well did you know this?
1
Not at all
2
3
4
5
Perfectly
8
Q

Verdadero o Falso.
La progresión puede ser en horas a días y pueden presentarse lesiones en diana atípicas o exantema morbiliforme en región pre esternal, cara y extremidades.

A

Verdadero. ‘

How well did you know this?
1
Not at all
2
3
4
5
Perfectly
9
Q

Verdadero o Falso.
Las manifestaciones clínicas (lesiones en diana) afectan a 2 mucosas en el 10% de los casos.

A

Falso, es en el 90%.

How well did you know this?
1
Not at all
2
3
4
5
Perfectly
10
Q

Signo y descripción:

A

SIgno de Nikolski.
Las capas superiores de la piel se desprenden de las capas inferiores cuando hay una ligera fricción.

How well did you know this?
1
Not at all
2
3
4
5
Perfectly
11
Q

Mucosas que pueden afectarse:

A

Oral.
Genital.
Conjuntivas.

How well did you know this?
1
Not at all
2
3
4
5
Perfectly
12
Q

Principal causa de muerte:

A

Septicemia.

How well did you know this?
1
Not at all
2
3
4
5
Perfectly
13
Q

En las complicaciones agudas, ¿Cuáles son las que se presentan en mayor %?

A

Infecciones.

How well did you know this?
1
Not at all
2
3
4
5
Perfectly
14
Q

Verdadero o Falso.
La falla multiorgánica se presenta en el 42%.

A

Falso, es el 24%.

How well did you know this?
1
Not at all
2
3
4
5
Perfectly
15
Q

En las complicaciones crónicas, ¿Cuáles son las más frecuentes y su porcentaje?

A

Oftálmicas 65-89%
- OJO SECO.
- Cataratas.
- Triquiasis (pestañas crecen hacia el ojo).
- Ceguera.

How well did you know this?
1
Not at all
2
3
4
5
Perfectly
16
Q

% de mortalidad:

A

23% a las 6 semanas.
34% al año.

17
Q

Pronóstico cuando es un ingreso tardío a unidad especializada:

A

Supervivencia 42% a los 2 años.
Si fuera ingreso temprano → 89%.

18
Q

Nombre del algoritmo para establecer causalidad farmacológica en NET:

19
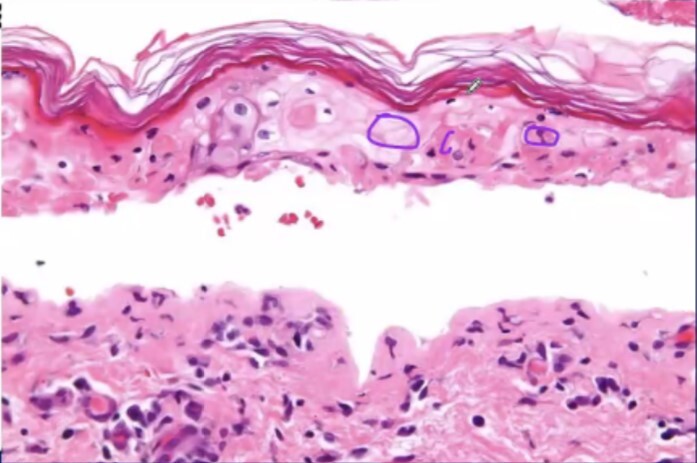
Q

Histopatología:

A

Presencia de queratinocitos necróticos dispersos → Necrosis epidérmica total → Vacuolización basal + ampollas subepidérmicas.

El espacio en blanco es el contenido de la ampolla subepidérmica.

20
Q

Verdadero o Falso.
En el tratamiento, la nutrición está contraindicada vía enteral.

A

Falso, es contraindicada vía parenteral.

21
Q

Tratamiento:

A

Nutrición.
Control térmico y balance hidroeléctrico.
Analgesia.
Apoyo psicológico.
Prevención de infecciones.
Manejo multidisciplinario.
Cuidados de heridas

22
Q

Aunque aún esta en debate la posible efectividad de los glucocorticoides, ¿De qué manera podría haber beneficio?

A

Si se administra de manera temprana y en pulsos.

23
Q

En cuanto al cuidado de las heridas, ¿Qué se hace en la etapa 0 - piel normal?

24
Q

En cuanto al cuidado de las heridas, ¿Qué se hace en la etapa 1 - máculas eritematosas de límites poco definidos con áreas más oscuras?

25
En cuanto al cuidado de las heridas, ¿Qué se hace en la etapa 2 - vesículas/ampollas flácidas?
26
En cuanto al cuidado de las heridas, ¿Qué se hace en la etapa 3 - áreas desnudadas?
27
Pasos para la curación de la herida:
1. Analgesia 30min antes de la curación. 2. Limpieza con solución salina tibia o clorhexidina diluida. 3. Aplicar vaselina y gasas no adherentes.
28
Verdadero o Falso. En el cuidado de las heridas, la curación se debe hacer 2 veces al día.
Falso, es 1 vez al día.
29
¿Por qué no se recomienda usar antiséptico en la curación de las heridas?
Porque es citotóxico y los pocos queratinocitos que se recuperan se pierden con el antiséptico.
30
Cuidados de la mucosa oral:
31
Cuidados de la mucosa genital:
32
En el cuidado de las mucosas, ¿Qué podemos dar como analgésico?
Paracetamol o escalar con opioides.
33
% de SC afectada para poder diferenciar un SJS, un NET y para cuando se superponen: