STIs Flashcards

(31 cards)

1
Q

Common causes of ___ are C trachomatis and N gonorrheae

A

Common causes of urethritis/acute urethral syndrome are C trachomatis and N gonorrheae

How well did you know this?
1
Not at all
2
3
4
5
Perfectly
2
Q

Most common etiologies of cervicitis are __

A

Most common etiologies of cervicitis are C trachomatis and N gonorrheae

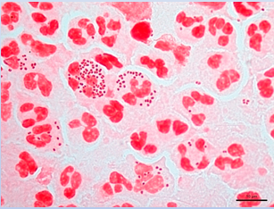
How well did you know this?
1
Not at all
2
3
4
5
Perfectly
3
Q

Which bugs cause the condition below/what is the condition?

A

Urethritis

C trachomatis and N gonorrheae

How well did you know this?
1
Not at all
2
3
4
5
Perfectly
4
Q

What bug causes the condition below/what is the condition?

A

Cervicitis

How well did you know this?
1
Not at all
2
3
4
5
Perfectly
5
Q

___ is characterized by acute or rapid onset of labial pain and swelling

A

Bartholinitis is characterized by acute or rapid onset of labial pain and swelling

Basically an abscess of the Bartholin glad but unlike other abscesses, these abscesses won’t have Chlamydia or Gonorrhea

How well did you know this?
1
Not at all
2
3
4
5
Perfectly
6
Q

Most common etiologies of Bartholinitis are ___

A

C trachomatis and N gonorrheae

How well did you know this?
1
Not at all
2
3
4
5
Perfectly
7
Q

What bug(s) cause the condition below/what is the condition?

A

C trachomatis and N gonorrheae

Bartholinitis

How well did you know this?
1
Not at all
2
3
4
5
Perfectly
8
Q

___ is an uncomplicated non-genital infection that can be caused by sexually transmitted organisms, most commonly C trachomatis and N gonorrheae

*hint: happens usually in neonates*

A

Conjunctivitis

How well did you know this?
1
Not at all
2
3
4
5
Perfectly
9
Q

(Neonatal) conjunctivitis can be acquired from __

A

Direct inoculation with infected fluid (during childbirth)

How well did you know this?
1
Not at all
2
3
4
5
Perfectly
10
Q

Which bug(s) cause the condition below/what is the condition?

A

Conjunctivitis

N. gonorrheae (could also be Chlamydia)

How well did you know this?
1
Not at all
2
3
4
5
Perfectly
11
Q

N gonorrheae is the most common cause of STIs in the pharynx (present as ___)

A

N gonorrheae is the most common cause of STIs in the pharynx (present as pharyngitis)

**acquired during oral sex**

How well did you know this?
1
Not at all
2
3
4
5
Perfectly
12
Q

___, inflammation of the rectum, can be due to infection with ___

A

Proctitis, inflammation of the rectum, can be due to infection with C trachomatis (types L1-3) and N gonorrheae

How well did you know this?
1
Not at all
2
3
4
5
Perfectly
13
Q

___ is an ascending infection resulting from untreated urethritis that is characterized by unilateral scrotal pain, swelling and tenderness

A

Epidydimitis is an ascending infection resulting from untreated urethritis that is characterized by unilateral scrotal pain, swelling and tenderness

**note that in young men >> STI; older dudes >> E. coli**

also, chlamydial and gonococcal epidydimitis are clinically indistinguishable

How well did you know this?
1
Not at all
2
3
4
5
Perfectly
14
Q

___ is an infection of the upper GU tract in women

A

Pelvic inflammatory disease

**Clinical presentations of chlamydial and gonococcal PID are similar**

How well did you know this?
1
Not at all
2
3
4
5
Perfectly
15
Q

Most women with PID are ___

3 other clinical signs of PID are abdominal pain, ___ motion tenderness and __ tenderness

A

Asymptomatic

Non-specific lower abdominal pain

Cervical motion tenderness on bimanual pelvic exam

Adnexal tenderness (pain on both sides of lower abdomen on bimanual exam)

How well did you know this?
1
Not at all
2
3
4
5
Perfectly
16
Q

____ syndrome: late complication of PID characterized by violin-string like adhesions in the peritoneum due to spread of infection to the peritoneum

A

Fitz-Hugh-Curtis syndrome: late complication of PID characterized by violin-string like adhesions in the peritoneum due to spread of infection to the peritoneum

17
Q

___ is a type of reactive arthritis generally preceded by non-gonococcal urethritis and is characterized by conjunctivitis, skin lesions and joint issues

A

Reiter’s syndrome is a type of reactive arthritis generally preceded by non-gonococcal urethritis and is characterized by conjunctivitis, skin lesions and joint issues

18
Q

___ is a rare condition caused by N gonorrheae infection and is characterized by arthritis and skin lesions

A

Disseminated Gonococcal Infection is a rare condition caused by N gonorrheae infection and is characterized by arthritis and skin lesions

19
Q

Which bug(s) cause the condition below/what is it called?

A

Disseminated Gonoccocal infection

N gonorrheae

20
Q

Dx of STIs (Gonorrhea or Chlamydia)

A

Clinical (history + exam)

NAAT

**Gonorrhea specifically: Gram stain - Gram negative diplococci + Conjunctival swab on Thayer-Martin agar**

21
Q

Rx for uncomplicted gonococcal infection

A

Ceftriaxone 250mg IM

PLUS

Azithromycin 1g PO x1 or doxycycline for 7 days

22
Q

Rx for complicated GC/CHL (gonoccocal/chlamydia) infections

A

generally ceftriaxone IM + azithromycin/doxycycline (+/- metronidazole for PID)

in the hospital: 2nd generation cephalosporin (cefotetan/cefoxitin IV + doxy IV)

23
Q

Name the stage of syphilis ass’d with the following pathology and how you would Rx it:

Painless genital chancre

Disseminated rash + condyloma lata

A

Chancre: Primary syphilis; Rx: single benzathine penicillin or doxy for 2 wks

Rash: Secondary syphilis; Rx: benzathine penicillin 3x (once a week for 3 weeks) or doxy for 1 mth

*Neurosyphilis: IV penicillin*

24
Q

___ is an STI caused by the gram negative coccobacillus, H ducreyi

25
Chancroid is characterized by __ and painful \_\_
Painful lesions and painful lymphadenopathy
26
Which bug causes the pathology below/what is the condition?
Chancroid H ducreyi
27
Dx of chancroid
Gram stain/culture PCR for H ducreyi
28
Rx for Chancroid
Macrolide (azithromycin/erythromycin) 3rd gen cephalosporin (ceftriaxone) FQ (ciprofloxacin)
29
\_\_\_ is a disease of lymphatic tissue caused by *C. trachomatis* L1-L3 and is characterized by inguinal and femoral lymphadenopathy and drainage through skin
Lymphogranuloma venereum
30
Which bug causes the pathology below/what is the condition?
Lymphogranuloma venereum C trachomatis
31
Dx for LGV Rx for LGV
Clinical/culture for C trachomatis + PCR/Serology for serovars L1-L3 Rx: 3 weeks Doxycycline