
stomach ulcer
A small ‘pit’ of barium contained within an ulcer cavity in the body of the stomach: Bull’s eye sign

gastric erosions in antrum
Gastric erosions or aphthous ulcers are superficial ulcerations that do not penetrate the muscularis mucosa. They usually appear as small, shallow collections of barium 1–2 mm in diameter surrounded by a radiolucent rim of oedema. These are called ‘complete’ or ‘varioliform’ erosions (Fig. 27-6A).

Gastritis
Gastritis is a descriptive term with sometimes conflicting pathological, endoscopic and radiographic definitions. It is now better understood that many causes of gastritis, including H. pylori, alcohol and NSAID gastritis, lead to similar morphological changes.30 The most common findings are thick (>5 mm) folds with or without nodularity

atrophic gastritis
Radiographic findings of atrophic gastritis include loss of rugal folds and a tubular, featureless narrowed stomach
Atrophic gastritis is a combination of atrophy of the gastric glands with histological inflammatory changes. Atrophic gastritis is found in more than 90% of patients with pernicious anaemia and is characterised by loss of parietal and chief cells, leading to achlorhydria, and atrophy of the mucosa and mucosal glands.35 Atrophic gastritis causes a decrease in the production of intrinsic factor, which in turn causes malabsorption of vitamin B12.

Crohn’s
Multiple aphthous (superficial) erosions are present on the antrum. Duodenal folds are thick and nodular (cobblestone mucosa).

Menetrier’s disease
Classic appearance with massively enlarged folds in the body without abnormality in the antrum.
This condition is characterised by hypertrophy of gastric glands, achlorhydria and hypoproteinaemia. Loss of protein from the hyperplastic mucosa into the gastric lumen results in a protein-losing enteropathy, and may produce disabling symptoms. The disease is characterised by markedly enlarged, often bizarre gastric folds most prominent in the proximal stomach and along the greater curvature.

gastric polyp

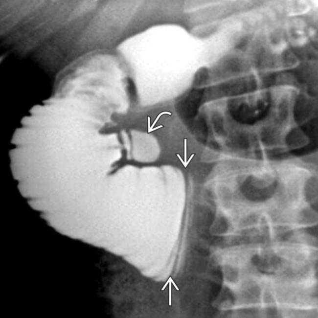
sma syndrome

SMA syndrome
straight arrow = abrupt cut off of the 3rd portion of the duodenum
curved arrow = incidental duodenal diverticulum
history of Roux-en -y gastric bypass

gastric staple line breakdown


Distal lap band slippage with obstruction





Features suggesting benign gastric ulcer
NOTE: Remember Hampton’s (Harmless = benign) and Carman (Carcinoma = malignant)
Features suggesting a malignant gastric ulcer
NOTE: Remember Hampton’s (Harmless = benign) and Carman (Carcinoma = malignant)




benign or malignant?

benign






malignant ulcer with a carmen meniscus sign
