Stroke Flashcards

(24 cards)

1
Q

What type of stroke is more common?

A

Ischaemic (85%)
Haemorrhagic (15%)

How well did you know this?
1
Not at all
2
3
4
5
Perfectly
2
Q

What is the first line and definitive investigations for stroke?

A

CT to exclude bleeding
Diffusion weighted MRI

How well did you know this?
1
Not at all
2
3
4
5
Perfectly
3
Q

What should you rule out before suspecting stroke?

A

Hypoglycaemia

How well did you know this?
1
Not at all
2
3
4
5
Perfectly
4
Q

What is the management of stroke?

A

Aspirin 300mg post-CT without haemorrhage
<4.5 hours: Alteplase
+ Thrombectomy: if ischaemic + PAC occlusion

How well did you know this?
1
Not at all
2
3
4
5
Perfectly
5
Q

How does anatomy dictate thrombectomy time?

A

<=6 hours: Proximal anterior (ACA/MCA)
6-24 hours: As above but with salvageable tissue

+ Consider if < 24hrs if prox posterior (PCA, basilar)

How well did you know this?
1
Not at all
2
3
4
5
Perfectly
6
Q

What entails secondary prevention of stroke?

A

Clopidogrel 75mg daily
Atorvastatin 80mg if 48hr cholesterol >3.5
Treat cardiac risk factors
Review antipsychotics in elderly

How well did you know this?
1
Not at all
2
3
4
5
Perfectly
7
Q

What are the TACS criteria for stroke?

A
  1. Unilateral motor +/- sensory loss in limbs
  2. Homonymous hemianopia
  3. Slurred speech
How well did you know this?
1
Not at all
2
3
4
5
Perfectly
8
Q

How do you identify a partial anterior stroke

A

2/3 TACS

How well did you know this?
1
Not at all
2
3
4
5
Perfectly
9
Q

How does a lacunar stroke present?

A

Pure sensory stroke
Clumsy hands
Ataxia
Unilateral sensorimotor loss

How well did you know this?
1
Not at all
2
3
4
5
Perfectly
10
Q

How does a Posterior circulation stroke differ from anterior circulation?

A

Homonymous hemianopia can present alone
Loss of consciousness or DANISH symptoms

How well did you know this?
1
Not at all
2
3
4
5
Perfectly
11
Q

What is the supply of the following stroke areas
TACS
PACS
LACS
POCS

A

TACS/PACS: ACA, MCA
LACS: Deep perforating MCA
POCS: Vertebrobasilar arteries

How well did you know this?
1
Not at all
2
3
4
5
Perfectly
12
Q

How can you differentiate between an ACA and MCA occlusion?

A

Lower limb paralysis greater in ACA
Vision and speech more MCA

How well did you know this?
1
Not at all
2
3
4
5
Perfectly
13
Q

Wheres the stroke?
Unilateral loss of vision

A

Retinal, ophthalmic

How well did you know this?
1
Not at all
2
3
4
5
Perfectly
14
Q

Wheres the stroke?
Homonymous hemianopia + retained central vision
Visual agnosia

A

Posterior cerebral artery

How well did you know this?
1
Not at all
2
3
4
5
Perfectly
15
Q

Wheres the stroke?
CL weakness
IL down and out eye

A

PCA branches to midbrain
Weber’s syndrome

How well did you know this?
1
Not at all
2
3
4
5
Perfectly
16
Q

Wheres the stroke?
CL body temp, pain loss
IL facial pain loss

A

Posterior inferior cerebellar artery

17
Q

How does anterior differ from posterior inferior cerebellar artery stroke?

A

Anterior = PICA stroke + facial motor loss, deafness
PICA: CL body temp and pain loss, IL facial pain loss

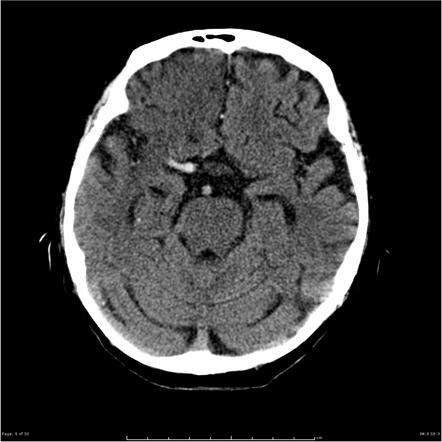
18
Q

What does this CT show?

A

MCA ‘hyperdense artery’ sign

Indicates infarction

19
Q

What scoring tools are used in stroke to

Exclude other differentials

Determine ADL impact

A

ROSIER (>0 means stroke)

Barthel scoring

20
Q

How can you differentiate between organic and functional leg weakness?

A

Hoover’s sign

Organic: Raising weak leg causes contraction in other leg

Functional: No contraction

21
Q

What additional testing should be done in those <55yrs without obvious stroke cause?

A

Thrombophilia and autoimmune screening

22
Q

If a patient can understand but not speak what area is likely affected?

A

Broca’s area

In most people its on the left side (90% right handers, 60% left)

23
Q

How can you differentiate dizziness caused by stroke and vestibular causes?

A

More severe dizziness (cant stand up)

Vertical nystagmus rather than horizontal