What type of stroke is more common?
Ischaemic (85%)
Haemorrhagic (15%)
What is the first line and definitive investigations for stroke?
CT to exclude bleeding
Diffusion weighted MRI
What should you rule out before suspecting stroke?
Hypoglycaemia
What is the management of stroke?
Aspirin 300mg post-CT without haemorrhage
<4.5 hours: Alteplase
+ Thrombectomy: if ischaemic + PAC occlusion
How does anatomy dictate thrombectomy time?
<=6 hours: Proximal anterior (ACA/MCA)
6-24 hours: As above but with salvageable tissue
+ Consider if < 24hrs if prox posterior (PCA, basilar)
What entails secondary prevention of stroke?
Clopidogrel 75mg daily
Atorvastatin 80mg if 48hr cholesterol >3.5
Treat cardiac risk factors
Review antipsychotics in elderly
What are the TACS criteria for stroke?
How do you identify a partial anterior stroke
2/3 TACS
How does a lacunar stroke present?
Pure sensory stroke
Clumsy hands
Ataxia
Unilateral sensorimotor loss
How does a Posterior circulation stroke differ from anterior circulation?
Homonymous hemianopia can present alone
Loss of consciousness or DANISH symptoms
What is the supply of the following stroke areas
TACS
PACS
LACS
POCS
TACS/PACS: ACA, MCA
LACS: Deep perforating MCA
POCS: Vertebrobasilar arteries
How can you differentiate between an ACA and MCA occlusion?
Lower limb paralysis greater in ACA
Vision and speech more MCA
Wheres the stroke?
Unilateral loss of vision
Retinal, ophthalmic
Wheres the stroke?
Homonymous hemianopia + macular sparing
Visual agnosia
Posterior cerebral artery
Wheres the stroke?
CL weakness
IL down and out eye
PCA branches to midbrain
Weber’s syndrome
Wheres the stroke?
CL body temp, pain loss
IL facial pain loss
Posterior inferior cerebellar artery
How does anterior differ from posterior inferior cerebellar artery stroke?
Anterior = PICA stroke + facial motor loss, deafness
PICA: CL body temp and pain loss, IL facial pain loss
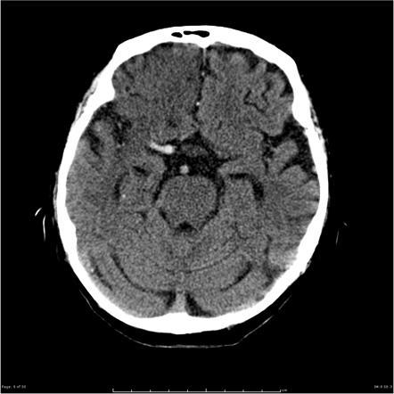
What does this CT show?

MCA ‘hyperdense artery’ sign
Indicates infarction
What scoring tools are used in stroke to
Exclude other differentials
Determine ADL impact
ROSIER (>0 means stroke)
Barthel scoring
How can you differentiate between organic and functional leg weakness?
Hoover’s sign
Organic: Raising weak leg causes contraction in other leg
Functional: No contraction
What additional testing should be done in those <55yrs without obvious stroke cause?
Thrombophilia and autoimmune screening
If a patient can understand but not speak what area is likely affected?
Broca’s area
In most people its on the left side (90% right handers, 60% left)
How can you differentiate dizziness caused by stroke and vestibular causes?
More severe dizziness (cant stand up)
Vertical nystagmus rather than horizontal