Stroke Flashcards

(79 cards)

1
Q

What are the types of stroke?

A
How well did you know this?
1
Not at all
2
3
4
5
Perfectly
2
Q

What is a cryptogenic stroke?

A

ischemic stroke of undetermined etiology

How well did you know this?
1
Not at all
2
3
4
5
Perfectly
3
Q

What are the causes of ischemic stroke?

A
  1. Lack of oxygen → decreased ATP → Increased lactate → increased Na+ and water → cytotoxic edema → cell lysis
  2. Increased Ca2+ → lipases and protease → protein degradation and FFA release
  3. Excitatory AA → neuronal damage and production of damaging immune cells
How well did you know this?
1
Not at all
2
3
4
5
Perfectly
4
Q

What is the difference between SAH and ICH?

A

SAH: blood enters the subarachnoid space (trauma and aneurysm)

ICH: bleeding in the brain parenchyma itself with the formation of a hematoma within the brain (cocaine and methamphetamine)

How well did you know this?
1
Not at all
2
3
4
5
Perfectly
5
Q

What are the nonmodiifable risk factors?

A
  1. Low birth weight
  2. Genetic factors
  3. Age, race, sex
How well did you know this?
1
Not at all
2
3
4
5
Perfectly
6
Q

What are modifiable risk factors for ischemic stroke?

A
  1. Cigarette smoking
  2. HTN
  3. Diabetes
  4. A fib
  5. Sickle cell disease
  6. Migraine
  7. Metabolic syndrome
  8. Drug and alcohol abuse
How well did you know this?
1
Not at all
2
3
4
5
Perfectly
7
Q

When would the risk for ischemic stroke increased?

A

Risk score doubles for each decade older than 55 years

How well did you know this?
1
Not at all
2
3
4
5
Perfectly
8
Q

What is a stroke?

A

An episode of neuorlogic dysfunction (focal cerebral, spinal, and retinal infarction)

How well did you know this?
1
Not at all
2
3
4
5
Perfectly
9
Q

What is transient ischemic attack?

A

Syndrome of arterial ischemia with transient symptoms (<24 hr)

No evidence of infarction

How well did you know this?
1
Not at all
2
3
4
5
Perfectly
10
Q

What are the signs and symptoms of ischemic stroke?

A

Balance, eyes (trouble seeing), face, arm, speech, time to call 911

How well did you know this?
1
Not at all
2
3
4
5
Perfectly
11
Q

What is the left side stroke?

A
  1. Paralysis on right side
  2. Speech, language problems
  3. Slow behavior changes
  4. Memory loss
How well did you know this?
1
Not at all
2
3
4
5
Perfectly
12
Q

What is the right side stroke?

A
  1. Vision problems
  2. Quick, inquisitive behavioral changes
  3. Memory loss
How well did you know this?
1
Not at all
2
3
4
5
Perfectly
13
Q

How do you test for acute stroke?

A
  1. Neurologic exam
  2. Blood glucose, platelet count, coagulation parameters
  3. CT/MTI
How well did you know this?
1
Not at all
2
3
4
5
Perfectly
14
Q

How do you test for deeper workup stroke?

A
  1. Hypercoagulable states
  2. ECG, TTE, dopplers
How well did you know this?
1
Not at all
2
3
4
5
Perfectly
15
Q

What is the difference between TTE and TEE?

A

TTE: less invasive
TEE: more invasive (48 hrs before cardioversion)

How well did you know this?
1
Not at all
2
3
4
5
Perfectly
16
Q

What does the glasgow coma scale evaluate? What is considered severe?

A
  1. Eye opening response
  2. Verbal response
  3. Motor response

Severe: <8
Moderate: 9-12
Mild: 13-15

GCS score ≤ 8 requires tx

How well did you know this?
1
Not at all
2
3
4
5
Perfectly
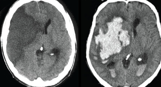
17
Q

Identify

A

Area of hyperdensity (white)→ Hemorrhagic

Area of hypodense (dark) → Ischemic

How well did you know this?
1
Not at all
2
3
4
5
Perfectly
18
Q

What are the goals of stroke treatment?

A
  1. Reduce the ongoing neurologic injury in acute setting
  2. Prevent complications
  3. Prevent stroke recurrence
How well did you know this?
1
Not at all
2
3
4
5
Perfectly
19
Q

What are vitals we need to assess when it comes to stroke?

A
  1. Temperature elevation
  2. Hypoglycemia
How well did you know this?
1
Not at all
2
3
4
5
Perfectly
20
Q

How would you score TIA? and what is the treatment?

A

Low-risk TIA → ABCD2score <4: Start ASA 162 to 325 mg/daily

High-risk TIA → ABCD2score of ≥4: Dual antiplatelet therapy (DAPT) for the first 21 days

How well did you know this?
1
Not at all
2
3
4
5
Perfectly
21
Q

What are non pharm treatment of ischemic stroke?

A
  1. Endovascular intervention and thrombectomy with retrievable stents (6-24 hr of symptom onset)
  2. Decompressive hemicraniectomy
  3. Carotid endarterectomy
How well did you know this?
1
Not at all
2
3
4
5
Perfectly
22
Q

What are the pharm treatments for ischemic stroke?

A
  1. Thrombolytic
  2. Aspirin
  3. BP reduction
How well did you know this?
1
Not at all
2
3
4
5
Perfectly
23
Q

What is the inclusion criteria for thromolytics in ischemic stroke?

A
  1. Age ≥18 yr
  2. Ischemic stroke with neurologic deficit
  3. Symptom onset <4.5 hrs
How well did you know this?
1
Not at all
2
3
4
5
Perfectly
24
Q

How are CI for thrombolytics for ischemic stroke?

A
  1. Hemorrhagic stroke
  2. Infective endocarditis
  3. Neoplasm
  4. Aortic arch dissection
  5. Coagulopathy
  6. DTI and factor Xa inhibitors (anticoags)
How well did you know this?
1
Not at all
2
3
4
5
Perfectly
25
How are warnings for thrombolytics for ischemic stroke?
1. Intracranial hemorrhage 2. Ischemic stroke within prior 3 months
26
What do you do before you treat ischemic stroke with thrombolytics?
Treat BP while maintaining permissive HTN
27
What are HTN drugs used for ischemic stroke?
1. Nicardipine and clevidipine 2. Labetalol 3., Hydralazine, enalaprilat, nitroprusside IV infusion
28
BP management Ischemic Stroke with Thrombolytic Treatment?
Pre-thrombolytic: lower BP to SBP <185 mm Hg and DBP <110 mm Hg Post-thrombolytic: maintain SBP <180 mm Hg and DBP <105 mm Hg for 24 hours
29
BP management Ischemic Stroke without Thrombolytic Treatment?
1. Treatment benefit uncertain/not recommended unless BP >220/120 mm Hg 2. Lowering BP by 15% is probably safe when required by comorbid conditions
30
What is the alteplase dosing for ischemic stroke?
0.9 mg/kg total dose (max: 90mg) → 10% as a bolus over 1 minute → Remaining 90% over 1 hr
31
What is the tenecteplase dosing for ischemic stroke?
Off-label indication 0.25 mg/kg (max 25 mg) IV push
32
What is the cascade of ischemic treatment with thrombolytic?
1. Stroke team activation 2. CT scan to rule out hemorrhage 3. Treatment as early as possible within 4.5 hours of symptom onset 4. Alteplase inclusion and exclusion criteria 5. Administration of thrombolytic 6. Avoidance of antithrombotic therapy (anticoagulant or antiplatelet) for 24 hours after thrombolytic 7. Close patient monitoring for elevated blood pressure, neurologic status, and hemorrhage
33
How should you monitor thrombolytics?
34
When should you administer aspirin for ischemic stroke?
1. 325mg at the first signs/symptoms 2. Thrombolytic therapy used → initiate ASA 24 hours after
35
What is the secondary prevention for ischemic stroke?
1. Anti platelet/anticoag 2. HTN management 3. Statin 4. Non pharm
36
What is most routinely used lifelong therapy drug?
Aspirin
37
What can you use instead of aspirin?
ER dipyridamole/aspirin or clopidogrel
38
What are the types of anitplatelets for ischemic stroke secondary prevention?
1. Aspirin 2. Clopidogrel 3. Dipyridamole 4. DAPT
39
Metabolism of clopidogrel? DDI?
CYP2C19 → pharmacogenic testing DDI: omeprazole and esomeprazole
40
MOA of dipyridamole?
Inhibits PDE → Increased camp and cGMP intracellular → decreased platelet activation Enhances antithrombin potential of the vascular wall
41
What is a common ADR of dipyridamole?
HA
42
How should DAPT be coursed for ischemic stroke?
21-90 days
43
What are the anticoags for a fib and ischemic stroke?
1. Warfarin 2. Dabigatran 3. Rivaroxaban 20mg daily w/evening meal 4. Apixaban 5mg BID 5. Edoxaban 60mg daily
44
Dabigatran reduction?
Dose reduce to 75 mg twice daily for CrCl of 15-30 mL/min
45
Rivaroxaban reduction?
Dose reduce to 15 mg daily for CrCl of ≤50 mL/min (0.83 mL/s
46
Apixaban reduction?
1. Age greater than or equal to 80 years 2. body weight less than or equal to 60 kg 3. serum creatinine greater than or equal to 1.5 mg/dL 2.5 mg twice daily
47
Edoxaban reduction?
Dose reduce to 30 mg daily for CrCl of 15-50 mL/min Do not use if CrCl >95mL/min
48
What is the low risk of hemorrhagic conversion? High?
Begin 2 to 14 days after the stroke Waiting at least 14 days is recommended
49
Non pharms of ischemic stroke
1. Diet mod 2. Excersise 3. Smoking cessatin 4. Avoid tobacco smoke 5. Reduce alcohol consumption 5. Avoid stimulant (cocaine and amphetatime)
50
BP goals of ICH?
SBP 150-220 mmHg w/o contraindication lower SBP to a goal of 140. SBP >220 mm Hg, aggressively reduce BP with a continuous IV infusion w/ frequent monitoring of BP to a goal SBP 140.
51
What is BP
52
Type of hemorrhagic stroke?
1. SAH 2. ICH
53
Non pharm of SAH?
Surgical clipping or end-vascular coiling of the vascular anomaly
54
Non pharm of ICH?
1. Surgical intervention and hematoma removal 2. Ventricular drainage with an extra ventricular drain (EVD)
55
BP goals of SAH?
If patient is alert, dial SBP is <160
56
How do you treat thrombolytic induced hemorrhagic stroke?
1. Stop thrombolytic 2. Cryoprecipitate (includes factor VIII): 10 U infused over 10-30 min (onset in 1 h, peaks in 12 h); administer additional dose for fibrinogen level of <150 mg/dL 3. +/- Tranexamic acid
57
Treatment with ICH on anticoagulation?
58
Meds for those on anti-platelet therapy?
Platelets and desmopressin
59
Treatment for seizure prophylaxis?
1. Not recommended for ICH 2. If given, 7 day duration 3. SAH guidelines do not mention use
60
Seizure management therapies?
1. Active seizures 2. Levetiracetam and phenytoin
61
Why is nimodipine used for subarachnoid hemorrhage?
DHP CCB is more selective for cerebral arteries (increased lipophilicity) Prevention of vasospasm in cerebral
62
Dosing of nimodipine? Hepatic?
60 mg by mouth every 4 hours for 21 days + maintenance of intravascular volume with vasopressor therapy. 30 mg every 4 hours for 21 days. Start within 96 hrs of SAH onset
63
CI of nimodipine?
Increase the risk of hypotension in combination with strong CYP 3A4 inhibitors & inducers
64
ADRs of nimodipine? Monitoring
Hypotension, bradycardia, HA, nausea, edema ICP, BP, HR, neurologic checks
65
CYP3A4 inhibitors?
Grapefruit Protease inhibitors Azole antifunguls Cyclosporine Macrolides Amiodarone and dronedarone Non-DHP CCB
66
CYP3A4 inducers?
Phenytoin Smoking Phenobarbital Oxcarbazepine Rifampin Carbamazepine St Johns wort
67
Characteristics of metabolic inhibitors?
INhibitors = Increase serum Concentrations → increased SE/levels/ADRs/Toxicities Decreases the metabolism
68
Characteristics of metabolic inducers?
InDucers = Decreases serum concentration → decreasing clinical effects Increases metabolism
69
What is ICP and its presentations?
Pressure within the craniospinal compartment HA, Confusion, Drowsiness, coma
70
Monitoring parameters of ICP?
Extraventricular Drain (EVD) or Intraventricular Catheter ICP >22 requires treatment
71
What is CPP? Goal?
Net pressure gradient that drives oxygen delivery to cerebral tissue CPP=MAP-ICP Goal CPP: 60-80 mm hg CPP <50 requires tx
72
Non pharm for ICP?
Decompressive craniotomies (removal of the skull bone to allow space)
73
Pham treatment for ICP?
Mannitol (Osmitrol) → taper due to mannitol drawing fluid into CNS → rebound cerebral edema and ICP Hypertonic saline (central venous only): 23.4% 15-60 mL over 2-20 minutes
74
Mannitol monitoring?
1. ICP, CPP 2. Mannitol induced diuresis 3. Serum osmolarity goal <300-320 4. Hypovolemia, hyperosmolarity, renal failure
75
Storage of mannitol?
Heated environment and use filter for admin
76
Initial monitoring for stroke?
1. Development of neurologic worsening 2. Complications 3. ADRs with pharm and non-pharm
77
What are the reasons for deterioration in stroke patients?
1. Lesion 2. Cerebral edema and ICP 3. Hemorrhagic conversion 4. HTN emergency 5. Infection 6. Venous thromboembolism 7. Electrolyte abnormalities (K+ first)
78
Care team considerations for stroke?
1. Rehabilitation 2. Nutrition 3. Screening for depression 4. DVT prophylaxis 5. Smoking cessation
79