What do you if think a patient has stroke?
FOCUSED history -Time of onset (last known well) -Basic risk factors ( HTN, HDL,DM,TOB, CAD, hx cardiac surgery) -taking antithrombotics
Patient presents with right sided facial drop, right sided arm weakness and difficulty speaking, but able to understand commands. What part of the brain is effected? What is the next step?
*Left sided MCA occluded or hemorrhage-broca aphasia *Need non- contrasted head CT STAT - if non-hemorrhagic, give tPA and get STAT CT angiogram if onset less than 4.5hrs
tPA how does it work? Risks?
-Bind to fibrin and dissolve clot NNT = 7 -Risk: ICH (intracranial bleed) 6.4%
Patient has an mca occlusion what interventional treatment can you do after obtain CT angiogram?
Endovascular therapy (mechanical thrombectomy within 6hrs) after tPA
Ischemic stroke etiology
-Large arteriosclerosis *-cardioembolism* -small vessel occlusion -other determined etiology (dissection) -undetermined
After thrombotic stroke event what should the patient take?
Aspirin daily (antithrombotic) Risk factor modification -diet to decrease HTN -stop alcohol -exercise -stop smoking
When give dual antiplatlet therapy? Aspirin + extended release dipyridamole
-post small vessel occlusion -intercranial atherosclerosis
What give someone with a-fib to prevent strokes?
Warfarin 68% efficacy (anticoagulation) ASA 20% efficacy
40 yr old patient with history of uncontrolled HTN, develops sudden HA with gait instability, weakness and altered mental status. Last known well 4hr. BP 220/120 left lower sided facial droop, no movement LUE or LLE. Right side moves against gravity. Decrease consciousness. Diagnosis and treatment?
Hemorrhagic stroke - stop bleeding –reverse anticoagulation
Layers of meninges?
DAP Dura Arachnoid Pia
36 yr old patient hits left side head while skiing. Brief LOC and then responsive, within 20 minutes got slurred speech and appeared confused. Half hour later LOC. Diagnosis? Work up?
-Head CT without contrast -Epidural hematoma (lucid interval after trauma) -middle meningeal artery rupture -cannot cross midline
Family brings elderly patient to ER with mentation problems and disorientation. Questionable minor ball several months ago. Work up? What could this be?
-subdural hematoma -tearing bridging veins (build up over time) CT noncontrast head -can cross midline
Middle aged patient complains about sudden onset of worst headache of their life 10 out of 10. What is your differential? What do you want to do?
Non-contrast CT head -Subarachnoid hemorrhage -causes: congenital aneurysms, septic aneurysms, arterial venous malformation
Intracerebral hemorrhage causes?
Cerebral amyloid angiopathy, germinal matrix hemorrhage (prenatal)
How tell difference between adult brain and baby brain grossly?
Baby brain smooth
Grey matter vs white matter vulnerability
Grey: Neurons > oligodendrocytes >astrocytes > vessels White: oligodendrocytes>astrocytes> vessels
Infant and adult brain vulnerability?
-CA1 (Sommer’s sector) of hippocampus -purkinje cells of cerebellum
1 day post stroke micro findings histology?
Red neurons (coagulative)
1 day-2 weeks post stroke finding micro and macro
Micro: transient neutrophils, massive macrophages Macro: adematous liquefactive
Beyond 2 weeks post stroke micro and macro changes?
Micro: rim of Astrogliosis
Macro: progressive cavitation
Diagnosis

Epidural Hemorrage
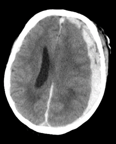
Diagnosis?

Subdural Hemorrage