Stroke Cases - Helms Flashcards

(28 cards)

1
Q

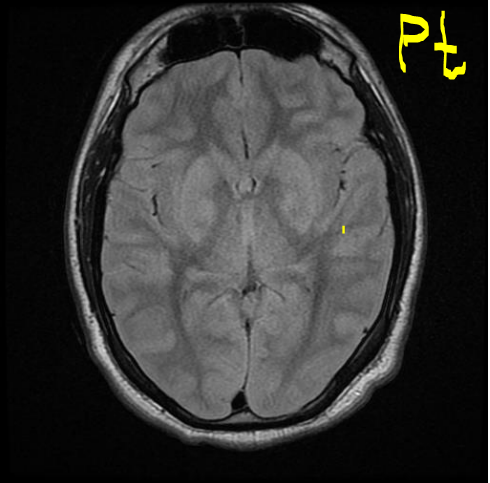
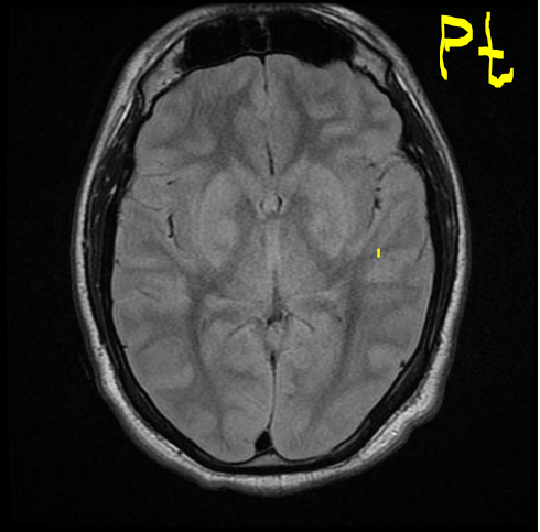
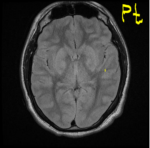
Case 1, Q# 1 of 4

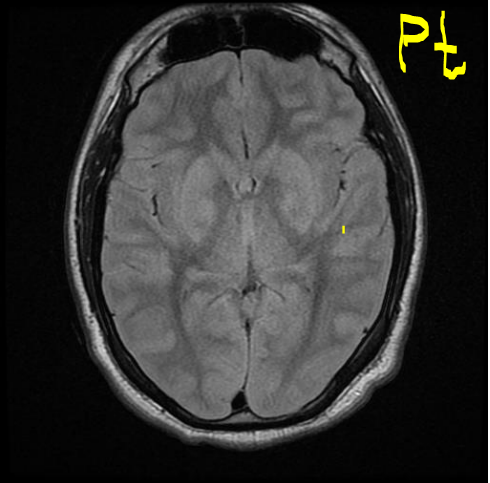
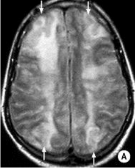
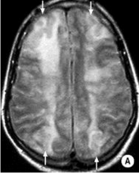
A 45 y/o woman with hypertension is resuscitated after a cardiac arrest. On day three she is able to move her face, hands, and feet, but is unable to move her limbs. A T2W1 MRI is taken at this time and is attached.

What is the general pathogenesis behind her symptoms and the MRI findings?

A

Hypotension secondary to cardiac arrest caused ischemia within the cerebrum, which has damaged her primary motor cortex bilaterally.

How well did you know this?
1
Not at all
2
3
4
5
Perfectly
2
Q

Case 1, Q# 2 of 4

A 45 y/o woman with hypertension is resuscitated after a cardiac arrest. On day three she is able to move her face, hands, and feet, but is unable to move her limbs. A T2W1 MRI is taken at this time and is attached.

What cellular change is causing the bright vertical bands in each hemisphere?

A

Cytotoxic edema secondary to ischemia. The ischemia disrupts metabolism, which shuts down the Na+/K+/ATPase and causes cellular retention of Na+ and water.

Recall that on a T2W1 MRI, fluid (including water and CSF) is bright (as well as fat).

How well did you know this?
1
Not at all
2
3
4
5
Perfectly
3
Q

Case 1, Q# 3 of 4

A 45 y/o woman with hypertension is resuscitated after a cardiac arrest. On day three she is able to move her face, hands, and feet, but is unable to move her limbs. A T2W1 MRI is taken at this time and is attached.

Why is the cellular change visaulized by the MRI localized to vertical bands?

A

This injury is a watershed infarction between the areas perfused by the ACA and MCA. The MCA area of the brain is especially susceptible to ischemia, and so its watershed area with the ACA will be the first to suffer. The bright vertical bands show cellular injury in the watershed zones across the entire cerebrum.

How well did you know this?
1
Not at all
2
3
4
5
Perfectly
4
Q

Case 1, Q# 4 of 4

A 45 y/o woman with hypertension is resuscitated after a cardiac arrest. On day three she is able to move her face, hands, and feet, but is unable to move her limbs. A T2W1 MRI is taken at this time and is attached.

Why is the woman able to move her face, hands, and feet, but not her limbs?

A

“Man in a Barrell” pathology

Watershed injury across the the primary motor cortex tends to affect the proximal limbs and trunk much more severely than the hands, feet, and face.

  • This is partially due to the watershed area’s location being centered over the motor homonculus’ area for the limbs and trunk,
  • And partially due to the trunk and limbs being relatively small areas of the homonculus while the hands, feet, and face take up a large area of it (more sensitive/precise moving structures)
    • Thus, even a small ischemic area can cause relatively severe truncal or limb weakness, whereas the majority of the larger face, hand, and foot regions tend to be spared.
How well did you know this?
1
Not at all
2
3
4
5
Perfectly
5
Q

Where is ACA-MCA watershed area in this picture?

A
How well did you know this?
1
Not at all
2
3
4
5
Perfectly
6
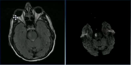
Q

Case 2 Q# 1 of 4

A 20 year old man tries to commit suicide by hanging himself. He is cut down after several minutes and is pulseless. He is resuscitated and regains a heartbeat and respiratory drive and cough to suctioning. Three days later, his exam has not changed. His MRI is attached.

What is the etiology of his brain injury?

A

Global hypoxia due to asphyxiation and compression of all four major vessels to the brain.

How well did you know this?
1
Not at all
2
3
4
5
Perfectly
7
Q

Case 2 Q# 2 of 4

A 20 year old man tries to commit suicide by hanging himself. He is cut down after several minutes and is pulseless. He is resuscitated and regains a heartbeat and respiratory drive and cough to suctioning. Three days later, his exam has not changed. His MRI is attached.

What areas or layers of the cerebrum are affected?

A

Lamina 3-5 of the entire cerebrum. These lamina are particularly sensitive to hypoxia and die earlier than other areas of the brain.

How well did you know this?
1
Not at all
2
3
4
5
Perfectly
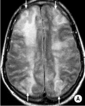
8
Q

Case 2 Q# 3 of 4

A 20 year old man tries to commit suicide by hanging himself. He is cut down after several minutes and is pulseless. He is resuscitated and regains a heartbeat and respiratory drive and cough to suctioning. Three days later, his exam has not changed. His MRI is attached.

Why are the ventricles and sulci barely visible in the MRI?

A

The ventricles and sulci have been compressed by widespread cortical edema

How well did you know this?
1
Not at all
2
3
4
5
Perfectly
9
Q

Case 2 Q# 4 of 4

A 20 year old man tries to commit suicide by hanging himself. He is cut down after several minutes and is pulseless. He is resuscitated and regains a heartbeat and respiratory drive and cough to suctioning. Three days later, his exam has not changed. His MRI is attached.

When must this MRI have been taken? Why?

A

The MRI must have been taken a few days after the injury; cortical edema takes days to show up. Glial cells and astrocytes are able to survive longer (20-30min) during ischemia than neurons (6-10min); their (proportionately greater) survival kept most of the brain’s structure intact despite widespread neuronal death.

How well did you know this?
1
Not at all
2
3
4
5
Perfectly
10
Q

Case 3 Q# 1 of 4

  • 61 year old man
  • Presents with right arm and leg numbness and weakness and slurred speech.
  • Symptoms lasted about 20 minutes and resolved
  • PMHx: type I diabetes, hypertension, and hyperlipidemia
  • Exam on presentation is normal. MRI is attached.

What is the etiology of his stroke / TIA?

A

Microemboli; specifically, from his thrombosed left internal coronary artery.

How well did you know this?
1
Not at all
2
3
4
5
Perfectly
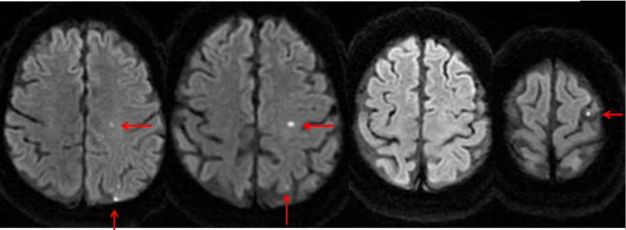
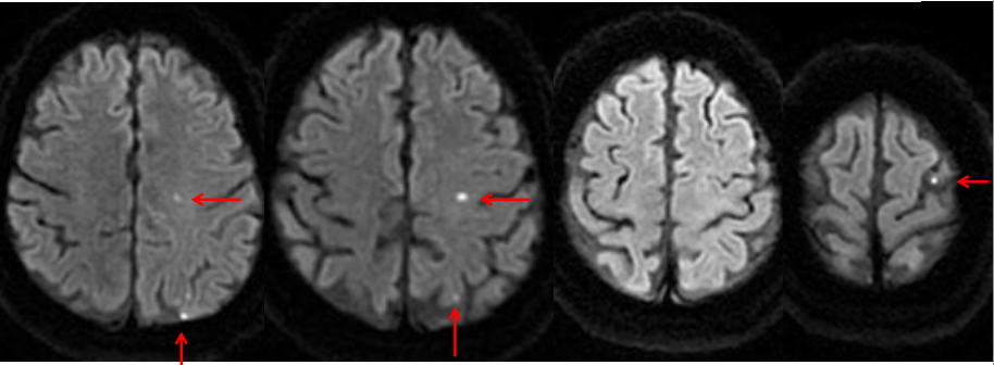
11
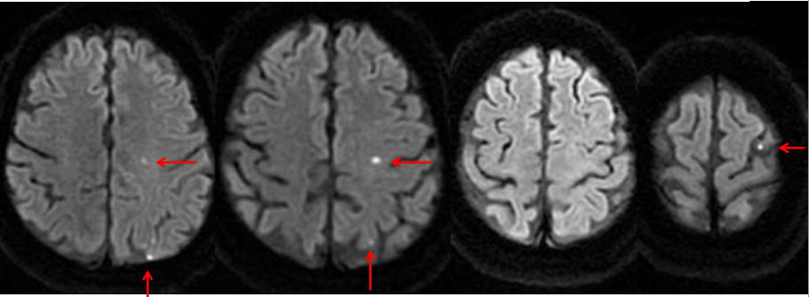
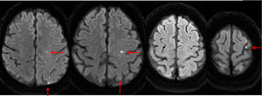
Q

Case 3 Q# 2 of 4

  • 61 year old man
  • Presents with right arm and leg numbness and weakness and slurred speech.
  • Symptoms lasted about 20 minutes and resolved
  • PMHx: type I diabetes, hypertension, and hyperlipidemia
  • Exam on presentation is normal. MRI is attached.

How is the etiology of his stroke consistent with the MRI?

A

The MRI shows very tiny, punctate infarcts throughout several axial layers of the cortex that all appear to be in the same location sagitally/coronally, aka all in the territory of one small vessel! This supports a small embolus that occluded only the area of one small brain vessel.

How well did you know this?
1
Not at all
2
3
4
5
Perfectly
12
Q

Case 3 Q# 3 of 4

  • 61 year old man
  • Presents with right arm and leg numbness and weakness and slurred speech.
  • Symptoms lasted about 20 minutes and resolved
  • PMHx: type I diabetes, hypertension, and hyperlipidemia
  • Exam on presentation is normal. MRI is attached.

What about the MRI helps you rule out a lacunar infarct? What pathogenesis is typically responsible for lacunar infarct?

A

Lacunar infarcts tend to affect only deeper structures of the brain, and tend to measure 1-1.5cm (somewhat larger than this tiny punctate infarction).

Hyaline arteriolosclerosis typically precipitates lacunar strokes.

How well did you know this?
1
Not at all
2
3
4
5
Perfectly
13
Q

Case 3 Q# 4 of 4

  • 61 year old man
  • Presents with right arm and leg numbness and weakness and slurred speech.
  • Symptoms lasted about 20 minutes and resolved
  • PMHx: type I diabetes, hypertension, and hyperlipidemia
  • Exam on presentation is normal. MRI is attached.

Why isn’t this man’s symptoms caused by hypoperfusion due to left carotid stenosis?

A

Even with severe left carotid stenosis, the blood flow from the right carotid can usually supply the entire brain via the Circle of Willis.

Also, if carotid stenosis was the cause, we would expect to see more ischemia throughout the entire left side of the brain, not just a small punctate lesion.

How well did you know this?
1
Not at all
2
3
4
5
Perfectly
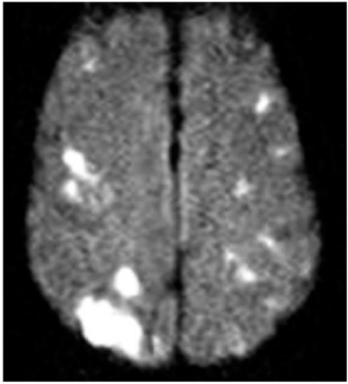
14
Q

What is the etiology of the MRI image below?

A

Cardioembolism

  • When you see multiple small infarcts like this, think of a shower of emboli dispersed throughout ALL territories of the brain. A cardioembolism is more likely to cause this than say, a carotid artery embolism.
  • Cardioembolisms tend to cause larger strokes rather than TIAs - typically a worse prognosis.
How well did you know this?
1
Not at all
2
3
4
5
Perfectly
15
Q

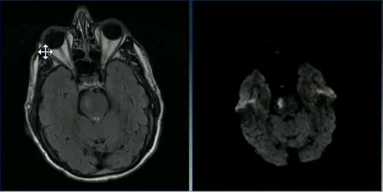
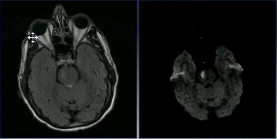
Case 4 Q# 1 of 4

  • A 57 y/o man develops sudden left sided weakness while roller skating with his kids.
  • Hx: he stopped taking his BP meds two weeks ago because they made him “feel weird.”
  • Vitals : BP- 190/120, HR- 60, RR -12
  • He has severe left sided weakness in his face, arm, and leg.
  • The rest of his exam is normal.
  • His MRI is attached.

What type of MRI is in the left image? The right image?

A

Left: T2W1 MRI. Right: DWI MRI.

How well did you know this?
1
Not at all
2
3
4
5
Perfectly
16
Q

Case 4 Q# 2 of 4

  • A 57 y/o man develops sudden left sided weakness while roller skating with his kids.
  • Hx: he stopped taking his BP meds two weeks ago because they made him “feel weird.”
  • Vitals : BP- 190/120, HR- 60, RR -12
  • He has severe left sided weakness in his face, arm, and leg.
  • The rest of his exam is normal.
  • His MRI is attached.

Where in the brain is this man’s lesion located?

A

Within the right pons - the lesion has interrupted the tightly-packed fibers that are on their way to the brain’s motor cortex.

17
Q

Case 4 Q# 3 of 4

  • A 57 y/o man develops sudden left sided weakness while roller skating with his kids.
  • Hx: he stopped taking his BP meds two weeks ago because they made him “feel weird.”
  • Vitals : BP- 190/120, HR- 60, RR -12
  • He has severe left sided weakness in his face, arm, and leg.
  • The rest of his exam is normal.
  • His MRI is attached.

Without even looking at the MRI, what about this case suggests the lesion is NOT in the cortex?

A

He has face, arm, and leg weakness, but no sensory loss. If he had had a cerebral stroke massive enough to knock out that much of the motor cortex, it’s almost certain the neighboring sensory cortex (and likely Broca’s area) would be affected as well.

18
Q

Case 4 Q# 4 of 4

  • A 57 y/o man develops sudden left sided weakness while roller skating with his kids.
  • Hx: he stopped taking his BP meds two weeks ago because they made him “feel weird.”
  • Vitals : BP- 190/120, HR- 60, RR -12
  • He has severe left sided weakness in his face, arm, and leg.
  • The rest of his exam is normal.
  • His MRI is attached.

Given the location of the lesion, what type of blood vessel was likely involved? What was the pathogenesis behind the injury?

A

Lacunar (penetrating vessel) stroke. The ischemia was preceeded by hyaline arteriosclerosis.

19
Q

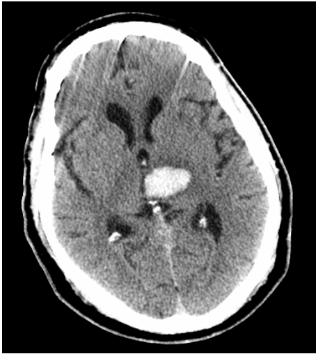
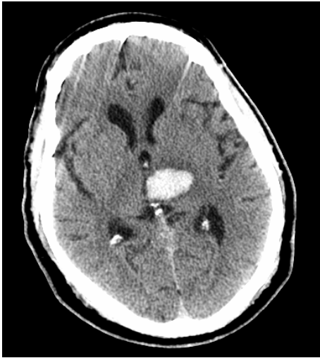
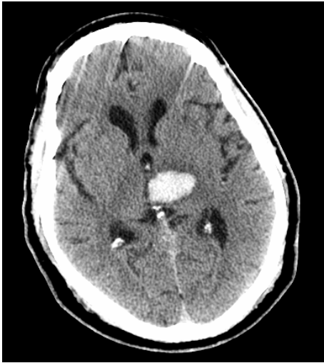
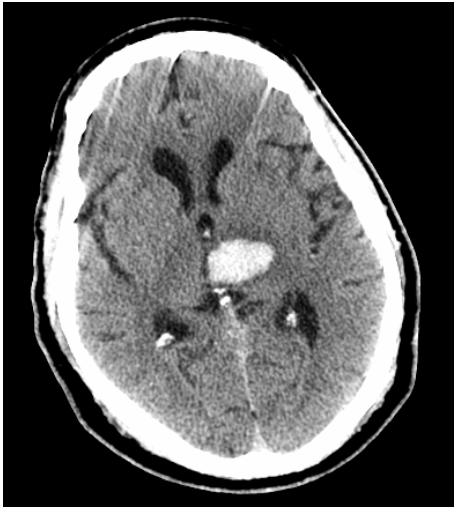
Case 5 Q# 1 of 4

  • 61 y/o man with history of poorly controlled HTN did not show up for work.
  • His son found him on the floor, confused, having slurred speech, and unable to get up.
  • Exam showed dysarthria, moderate right sided weakness, and right sided sensory loss.
  • Vitals: 230/135, HR 104, RR 27
  • CT is attached

What part of the brain is affected?

A

Left Thalamus (& Left Internal Capsule)

20
Q

Case 5 Q# 2 of 4

  • 61 y/o man with history of poorly controlled HTN did not show up for work.
  • His son found him on the floor, confused, having slurred speech, and unable to get up.
  • Exam showed dysarthria, moderate right sided weakness, and right sided sensory loss.
  • Vitals: 230/135, HR 104, RR 27
  • CT is attached

What type of lesion is this?

A

Hemorrhagic Stroke (Recall: Hemorrhage is bright on CT!)

21
Q

Case 5 Q# 3 of 4

  • 61 y/o man with history of poorly controlled HTN did not show up for work.
  • His son found him on the floor, confused, having slurred speech, and unable to get up.
  • Exam showed dysarthria, moderate right sided weakness, and right sided sensory loss.
  • Vitals: 230/135, HR 104, RR 27
  • CT is attached

What vessel was affected by the lesion?

A

Small lacunar vessels (Again, think deep structures of the brain for lacunar stroke)

22
Q

Case 5 Q# 4 of 4

  • 61 y/o man with history of poorly controlled HTN did not show up for work.
  • His son found him on the floor, confused, having slurred speech, and unable to get up.
  • Exam showed dysarthria, moderate right sided weakness, and right sided sensory loss.
  • Vitals: 230/135, HR 104, RR 27
  • CT is attached

What underlying factors likely caused the lesion?

A

Hyaline arteriolosclerosis & Hypertension

23
Q

Cases 6&7 Q# 1 of 3

  • 80 year old woman who presented to a partner hospital.
  • 2 hours of right side weakness and trouble talking
  • Exam: Afebrile, 220/120, Alert, aphasic, right face, arm, and leg hemiplegia.
  • NIHSS = 22 (NIH Stroke Scale. Score of 22 = low end of **severe stroke **range)

What is the pathogenesis of her symptoms?

A

Cerebral ischemia

24
Q

Cases 6&7 Q# 2 of 3

  • 80 year old woman who presented to a partner hospital.
  • 2 hours of right side weakness and trouble talking
  • Exam: Afebrile, 220/120, Alert, aphasic, right face, arm, and leg hemiplegia.
  • NIHSS = 22 (NIH Stroke Scale. Score of 22 = low end of **severe stroke **range)

What vessel is the lesion in?

A

Left MCA (Right side weakness + hemiplegia)

25
**Cases 6&7 Q# 3 of 3** * 80 year old woman who presented to a partner hospital. * 2 hours of right side weakness and trouble talking * Exam: Afebrile, 220/120, Alert, aphasic, right face, arm, and leg hemiplegia. * NIHSS = 22 (NIH Stroke Scale. Score of 22 = low end of **severe stroke **range) What is the most likely cause of her stroke?
Embolism secondary to a condition like afib
26
**Case 8 Q# 1 of 3** * 19 y/o man collapsed playing basketball. He was having a seizure consisting of right arm shaking and then fell to the ground without protecting himself. * On arrival noted to have weakness on his right side, reactive pupils, positive corneals and cough. Not following commands or moving spontaneously. * Vitals: 220/120, HR 45, RR 12 (intubated) * CT is attached What about the CT helps you **rule out** contusion secondary to his fall as the cause of his lesion?
The lesion is **located** in the middle of the cortex. Contusion damage typically occurs around the **frontal pole, occipital pole, or temportal tips** of the brain
27
**Case 8 Q# 2 of 3** * 19 y/o man collapsed playing basketball. He was having a seizure consisting of right arm shaking and then fell to the ground without protecting himself. * On arrival noted to have weakness on his right side, reactive pupils, positive corneals and cough. Not following commands or moving spontaneously. * Vitals: 220/120, HR 45, RR 12 (intubated) * CT is attached Looking at his CT, what is the underlying brain lesion that has now ruptured to cause his seizure?
Arteriovenous malformation (AVM)
28
**Case 8 Q# 3 of 3** * 19 y/o man collapsed playing basketball. He was having a seizure consisting of right arm shaking and then fell to the ground without protecting himself. * On arrival noted to have weakness on his right side, reactive pupils, positive corneals and cough. Not following commands or moving spontaneously. * Vitals: 220/120, HR 45, RR 12 (intubated) * CT is attached What further brain injury is this man at imminent risk for? How can you tell?
**Brain Herniation**. **Extreme HTN + low HR = Cushing Reflex**, which is noted in patients with increased ICP and can suggest imminent herniation.