What are the 2 main types of anti-platelets used ?
Asprin and Clopidogrel or ticagrelor
What are the 3 main types of anti-coagulants used ?
Heparin and wafarin (avoid all these in haemorrhagic type strokes)
What secondary prevention measure can be considered for patients shown to have significant carotid artery stenosis ? (usually > or equal to 70%)
Carotid endarterectomy
What scoring system is used to estimate the risk of stroke in AF and ==> determine whether or not to start anti-coagulant/anti-platelet treatment ?
CHA2DS2VASc score
bascially having had a stroke they are immediately high risk and ==? get put on anticoagulation
Anti-coagulation more effective for

What is the purpose of the HAS-BLED score?
Used to assess 1-year risk of major bleeding in patients with AFa score of ≥3 indicates “high risk” and some caution and regular review of the patient is needed

What are the specific dietary recommendations for secondary prevention of stroke ?
Cardioprotective diet:
A to eat an optimum diet that includes:
B to reduce and replace saturated fats in their diet with polyunsaturated or monounsaturated fats
C - to reduce their salt intake
What treatment alongside medications (this isnt provided by doctors really) will be required for strokes (think about mum)?
Rehbailitation - from specialist physio
What are the signs/symptoms of TIA?
What assessment should be done to measure someones risk of subsequent stroke following TIA?
ABCD2 assessment

What is the treatment options for TIA’s?
How long should driving be avoided following a TIA?
For 1 month and only need to inform DVLA if had multiple attacks in short period of time
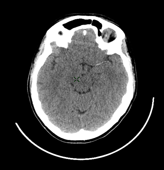
What type of stroke is shown

Ischaemic stroke
What type of stroke is shown ?

Haemorrhage stroke