Stroke & TIA Flashcards

(50 cards)

1
Q

What is the definition of stroke?

A

a sudden onset, focal neurological deficit of presumed vascular origin that lasts for more than 24 hours

How well did you know this?
1
Not at all
2
3
4
5
Perfectly
2
Q

What is the definition of a TIA?

A

a sudden onset, focal neurological deficit of presumed vascular origin that resolves within 24 hours

How well did you know this?
1
Not at all
2
3
4
5
Perfectly
3
Q

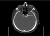
What are the 2 different types of stroke?

A

haemorrhagic:
caused by vascular rupture

ischaemic:
caused by vascular occlusion or stenosis

vascular rupture causes blood to leak into the brain tissue

How well did you know this?
1
Not at all
2
3
4
5
Perfectly
4
Q

How can ischaemic strokes be further subdivided?

A

thrombotic:
due to atherosclerotic plaque formation

embolic:
due to a blood clot that has originated from elsewhere (e.g. AF)

How well did you know this?
1
Not at all
2
3
4
5
Perfectly
5
Q

What are the 6 major risk factors for stroke?

A
  1. smoking
  2. obesity
  3. hypertension
  4. diabetes
  5. high cholesterol
  6. old age
How well did you know this?
1
Not at all
2
3
4
5
Perfectly
6
Q

What are some less common risk factors for stroke?

A
  1. polycythaemia
  2. AF
  3. excessive alcohol consumption
  4. heart valve disease
  5. clotting disorders
  6. peripheral arterial disease
How well did you know this?
1
Not at all
2
3
4
5
Perfectly
7
Q

What are the general signs and symptoms of stroke?

Why does this vary?

A

stroke has an ACUTE onset

  • limb weakness / numbness
  • facial drooping
  • speech difficulty
  • dizziness
  • loss of coordination / balance
  • visual changes

presentation is influenced by which area of the brain is affected

How well did you know this?
1
Not at all
2
3
4
5
Perfectly
8
Q

What are the roles of the frontal and temporal lobes?

A

frontal lobe:
* personality / behaviour
* planning / decision making
* concentration
* primary motor cortex (precentral gyrus)

temporal lobe:
* understanding speech
* interpreting auditory + olfactory sensations

How well did you know this?
1
Not at all
2
3
4
5
Perfectly
9
Q

What are the roles of the parietal and occipital lobes?

A

parietal lobe:
* comprehension / language
* primary somatosensory cortex (postcentral gyrus)
* sensory functions

occipital lobe:
* vision
* processing visual information + storing visual memories

How well did you know this?
1
Not at all
2
3
4
5
Perfectly
10
Q

What are the roles of the brainstem and cerebellum?

A

brainstem:
* breathing / heart rate
* swallowing
* arousal / wakefulness

cerebellum:
* coordination + movement
* balance

How well did you know this?
1
Not at all
2
3
4
5
Perfectly
11
Q

Why does the affected artery produce different symptoms of stroke?

A

it depends on the vascular territory supplied by that artery and the function of that area

How well did you know this?
1
Not at all
2
3
4
5
Perfectly
12
Q

What key regions are supplied by the anterior cerebral artery (ACA)?

A
  • medial + superior parts of frontal lobe
  • anterior parietal lobe
How well did you know this?
1
Not at all
2
3
4
5
Perfectly
13
Q

What are the symptoms of anterior cerebral artery stroke?

A
  • contralateral hemiparesis that tends to affect the lower limbs > upper limbs / face
  • behavioural changes
How well did you know this?
1
Not at all
2
3
4
5
Perfectly
14
Q

What are the regions supplied by the middle cerebral artery (MCA)?

A

lateral parts of the frontal, parietal and temporal lobes

How well did you know this?
1
Not at all
2
3
4
5
Perfectly
15
Q

What are the associated signs of MCA stroke?

A
  • contralateral hemiparesis affecting upper limbs / face > lower limbs
  • contralateral hemisensory loss
  • apraxia
  • aphasia
  • quandrantopias
How well did you know this?
1
Not at all
2
3
4
5
Perfectly
16
Q

What are the roles of Broca’s and Wernicke’s area?

A

Broca’s area:
* responsible for the production of speech
* damage to this area results in expressive aphasia

Wernicke’s area:
* responsible for the comprehension of speech
* damage to this area results in receptive aphasia

remember B for “buccal” - meaning mouth - where speech is produced

remember W for “what do you mean”

How well did you know this?
1
Not at all
2
3
4
5
Perfectly
17
Q

What regions are supplied by the posterior cerebral artery?

A
  • occipital lobe
  • inferior part of temporal lobe
How well did you know this?
1
Not at all
2
3
4
5
Perfectly
18
Q

What are the consequences of a posterior cerebral artery stroke?

A
  • contralateral homonymous hemianopia
  • visual agnosia (difficulty recognising familar faces / objects)
How well did you know this?
1
Not at all
2
3
4
5
Perfectly
19
Q

What parts of the brain are supplied by the posterior circulation?

A
  • brainstem
  • cerebellum
  • occipital lobes
this includes the vertebral, basilar, cerebellar and posterior cerebral arteries
How well did you know this?
1
Not at all
2
3
4
5
Perfectly
20
Q

What is the result of a posterior circulation stroke?

A
  • isolated hemianopia
  • signs related to the brainstem and cerebellum

this includes:
* vertigo / imbalance
* slurred speech
* unilateral limb weakness
* double vision

How well did you know this?
1
Not at all
2
3
4
5
Perfectly
21
Q

What mnemonic can be used to remember signs of cerebellar damage?

What is significant about signs of cerebellar damage?

A

DANISH

D - dysdiadochokinesia
A - ataxia (gait + posture)
N - nystagmus
I - intention tremor
S - slurred, staccato speech
H - hypotonia / heel-shin test

  • there is also decreased consciousness

cerebellar lesions produce IPSILATERAL SIGNS

22
Q

What is meant by a lacunar stroke?

A

a subcortical stroke that occurs secondary to small vessel disease affecting the deep parts of the brain

there is no loss of higher cerebral functions

23
Q

What is the most common classification system for ischaemic stroke?

A

Bamford classification

categorises strokes based on initial symptoms / clinical signs

this classification system is based on clinical findings alone and not imaging

24
Q

What are the 4 different types of stroke according to the Bamford classification?

A
  1. total anterior circulation stroke (TACS)
  2. partial anterior circulation stroke (PACS)
  3. posterior circulation syndrome (POCS)
  4. lacunar stroke (LACS)
25
What is a total anterior circulation stroke (TACS)? What criteria must be present for diagnosis?
a *large cortical stroke* affecting areas of the brain supplied by both the **middle** and **anterior cerebral arteries** ## Footnote ALL 3 MUST BE PRESENT: * **unilateral** weakness of the **face, arm AND leg** * **homonymous hemianopia** * higher cerebral dysfunction (dysphasia / visuospatial disorder)
26
What is required for diagnosis of a partial anterior circulation stroke (PACS)?
this is a less severe form of TACS, in which **only part of the anterior circulation** has been compromised ## Footnote TWO must be present: * **unilateral weakness** and/or **sensory deficit** of the face, arm and leg * homonymous hemianopia * higher cerebral dysfunction (dysphasia / visuospatial disorder) **higher cerebral dysfunction ALONE** is classified as PACS
27
What is meant by posterior circulation syndrome (POCS)?
damage to an area of the brain supplied by the **posterior circulation** (e.g. cerebellum / brainstem)
28
What is the diagnostic criteria for POCS?
* cranial nerve palsy and contralateral motor/sensory deficit * bilateral motor/sensory deficit * conjugate eye movement disorder * cerebellar dysfunction * isolated homonymous hemianopia | **only ONE** of these signs needs to be present for diagnosis
29
What is the diagnostic criteria for lacunar stroke?
* pure sensory stroke * pure motor stroke * sensori-motor stroke * ataxic hemiparesis | **only ONE** is needed for diagnosis
30
If someone is having a suspected stroke, what is the immediate investigation? | What should be calculated in the meantime?
urgent **non-contrast CT head** within **1 hour** to rule out haemorrhage | (a normal CT does NOT rule out ischaemic stroke) ## Footnote while CT is being arranged, the **ROSIER score** is calculated (risk of stroke in emergency room)
31
How can a haemorrhagic stroke be identified on CT?
the blood appears **bright white** (dense) on CT | the longer it is present, the darker it becomes
32
What blood tests would you want to do in a stroke patient?
**Serum glucose:** *hypoglycaemia* can mimic stroke **U&Es:** to exclude *hyponatraemia* **Cardiac enzymes (troponin):** to exclude *concomitant MI* **FBC:** to exclude *anaemia* or *thrombocytopenia* prior to possible initiation of **thrombolysis** or **anticoagulants**
33
What other investigations would be performed in suspected stroke?
* ECG * monitor vital signs for deterioration
34
Once haemorrhage is excluded, what does the management for ischaemic stroke depend on?
the time from symptom onset | **thrombolysis is contraindicated after 4.5 hours**
35
What is the treatment for ischaemic stroke if it has been < 4.5 hours since symptom onset?
thrombolysis with **IV alteplase** followed by **aspirin** (300mg oral) | this is a recombinant tissue plasminogen activator, (r-TPA) ## Footnote **endovascular interventions** can be beneficial in large vessel occlusions
36
What is the management for ischaemic stroke if it has been > 4.5 hours since symptom onset?
aspirin 300mg, oral | this is also used when thrombolysis is contraindicated
37
What are the contraindications for thrombolysis?
* symptom onset **> 4.5 hours** * CT reveals acute trauma / **haemorrhage** * symptoms suggestive of **SAH** * **high INR, APPT, PT**
38
When might thrombectomy be performed in acute ischaemic stroke?
* confirmed occlusion of the **proximal anterior circulation** * potential to salvage brain tissue as shown by **CT perfusion** * taking into account pre-stroke **functional status**
39
After initial treatment for a stroke, where should they be referred to and why?
all patients should be referred to the **stroke unit MDT** ## Footnote * swallowing assessment - to avoid aspiration pneumonia / choking * VTE prophylaxis * GCS monitoring * early mobilisation / rehabilitation * MDT approach
40
When might CT angiogram be performed in a stroke patient?
it should be performed in **ALL** patients with acute ischaemic stroke and suspicion of a **large vessel occlusion** who would be candidates for **endovascular thrombectomy**
41
Why might a carotid doppler be performed in an acute stroke patient?
to look for signs of **carotid artery stenosis** | **carotid endarterectomy** recommended if **>70% occlusion**
42
What is involved in the secondary prevention of stroke?
**antiplatelet therapy** * patients *with AF* are offered **warfarin prophylaxis** * non-AF patients continue **75mg aspirin** for **2 weeks** * then switch to lifelong **75mg clopidogrel**
43
What lifestyle changes are advised as part of secondary prevention?
* avoid heavy drinking * tight glycaemic control * maintenance of a healthy BMI * reduce salt intake * aerobic activity
44
What is the management for haemorrhagic stroke?
* immediate referral for **neurosurgical evaluation** * patients either go straight to **surgery** * or to **ICU** for monitoring / support
45
Why is it important to review medications in haemorrhagic stroke patients?
* **anticoagulants / antithrombotic** drugs can make bleeding worse * they must be **discontinued** or **reversed** ***DO NOT adminster thrombolysis / aspirin*** in suspected haemorragic stroke
46
How does a TIA differ from a stroke?
* it has the same aetiology and presentation as a stroke * BUT the symptoms resolve **within 24 hours**
47
What scoring system is used for TIA and why?
**ABCD2 score** | used to estimate the **stroke risk** in a TIA patient ## Footnote if the patient scores **4 or more** - referral to stroke specialist
48
What is the immediate management for a suspected TIA?
**300mg aspirin** STAT ## Footnote **if presenting within 7 days of episode:** * specialist review within 24 hours **if presenting after 7 days of episode** * specialist review within 7 days
49
What is involved in secondary prevention after someone has a TIA?
* **clopidogrel 75mg** orally once daily * + high intensity statin (e.g. **atorvastatin** orally once daily) * + BP control with **antihypertensive** if necessary
50
What are the investigations for TIA?
**Bloods:** * FBC, U&Es, clotting profile, glucose, cholesterol **ECG:** * may reveal AF or MI **Urgent non-contrast CT head:** * ONLY if patient is known to be taking **anticoagulants** or has a **bleeding disorder** to exclude haemorrhage | CT is NOT first line, unlike in stroke