Structure & Function Flashcards

(74 cards)

1
Q

Full structure of the skin:
Divided into epidermis, dermis, and subcutaneous tissue

A
How well did you know this?
1
Not at all
2
3
4
5
Perfectly
2
Q

Epidermis layers:
5 major layers of ____. As you go from bottom to top, the cells get ___ and more ____.

A

Keratinocytes
Older
Differentiated

How well did you know this?
1
Not at all
2
3
4
5
Perfectly
3
Q

___ ___ layer no longer has a nucleus. It is the toughest layer and the most full of keratin, proteins, and lipids

A

Stratum corneum

How well did you know this?
1
Not at all
2
3
4
5
Perfectly
4
Q

Skin tissue is ____ ___ epithelium

A

Stratified squamous

How well did you know this?
1
Not at all
2
3
4
5
Perfectly
5
Q

Histology of epidermis:

A
How well did you know this?
1
Not at all
2
3
4
5
Perfectly
6
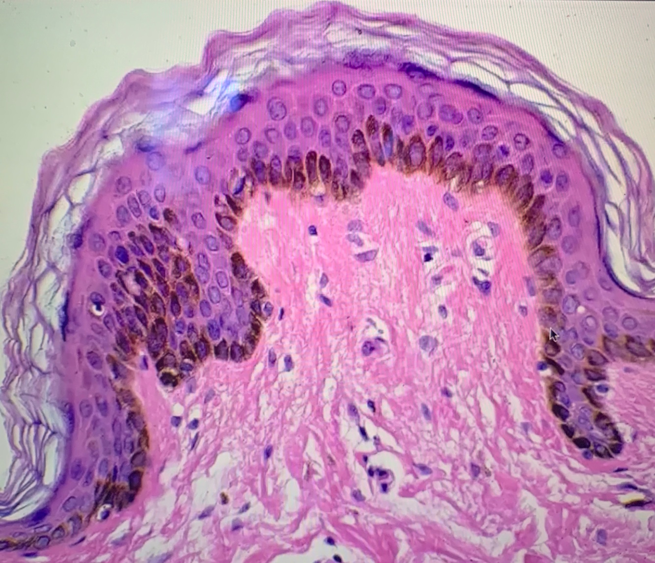
Q

The ___ ___ layer is rapidly proliferating stem cells and can be seen in this picture with melanin.

A

Basal cell

How well did you know this?
1
Not at all
2
3
4
5
Perfectly
7
Q

____ ____ has a somewhat spiny appearance. It is multiple cells thick. Creating keratin filaments. Creating other proteins that will pack the filaments into bundles called tonofibrils.

A

Stratum Spinosum

How well did you know this?
1
Not at all
2
3
4
5
Perfectly
8
Q

___ ___ is a more flat layer packed with keratin tonofibrils, keratohyaline granules, lamellar bodies.

Seen in the dark cell layer in the picture below.

A

Stratum granulosum

How well did you know this?
1
Not at all
2
3
4
5
Perfectly
9
Q

In the stratum granulosum, ___ becomes ___ which is connected to lipids and prevents water loss.

A

Profilaggrin
Filaggrin

How well did you know this?
1
Not at all
2
3
4
5
Perfectly
10
Q

___ ___ is not seen in every picture of the skin. It is only present in really thick skin such as on the heel or the palms. No nuclei, clear.

A

Stratum lucidum

How well did you know this?
1
Not at all
2
3
4
5
Perfectly
11
Q

____ ___ is a layer of keratinized cells without nuclei that are about to be sloughed off. Elongated and skinny cells.

A

Stratum corneum.

How well did you know this?
1
Not at all
2
3
4
5
Perfectly
12
Q

It takes ___ days for a cell to travel from the basal lamina to the stratum corneum to be sloughed off

A

28

How well did you know this?
1
Not at all
2
3
4
5
Perfectly
13
Q

Table:

A
How well did you know this?
1
Not at all
2
3
4
5
Perfectly
14
Q

____ connect cells to the basement membrane

A

Hemidesmosomes

How well did you know this?
1
Not at all
2
3
4
5
Perfectly
15
Q

Proteins and connectors:

A
How well did you know this?
1
Not at all
2
3
4
5
Perfectly
16
Q

Cytokerstin filaments become more abundant as you go from the basal lamina to stratum spinosum. they pack together to form ___ ___ and then placed into ___ ___.

A

Keratin tonofibrils
Lamellar bodies

How well did you know this?
1
Not at all
2
3
4
5
Perfectly
17
Q

Hemidesmosome connects the ___ to the basement membrane and ____.

A

Epidermis
Dermis

How well did you know this?
1
Not at all
2
3
4
5
Perfectly
18
Q

___ ___ is a condition where the patient has antibodies to portions of hemidesmosomes, leading to tense vesicles and Bullae. Tense meaning the vesicles are in between the ___ and ___.

A

Bulbous pemphigoid
Dermis
Epidermis

How well did you know this?
1
Not at all
2
3
4
5
Perfectly
19
Q

____ are cell to cell connections. They anchor the cytoskeleton.

A

Desmosomes

How well did you know this?
1
Not at all
2
3
4
5
Perfectly
20
Q

____ ___ is an autoimmune disease with antibodies to portion of the desmosomes, leading to flaccid vesicles and bullae. Keratinocytes pull apart from each other. The basal membrane is still intact.

A

Pemphigus vulgaris

How well did you know this?
1
Not at all
2
3
4
5
Perfectly
21
Q

_____ is the loss of cell to cell adhesion, resulting in flaccid vesicles.

A

Acantholysis

How well did you know this?
1
Not at all
2
3
4
5
Perfectly
22
Q

_____ are derived from neural crest cells. They produce packed pigment into melanosomes for the keratinocytes.

A

Melanocytes

How well did you know this?
1
Not at all
2
3
4
5
Perfectly
23
Q

___ ___ are mechanoreceptors essential for sensing light touch and are located in the basal layer. They also release ___ and _____ when activated

A

Merkel cells
Serotonin
Neuropeptides

How well did you know this?
1
Not at all
2
3
4
5
Perfectly
24
Q

___ ___ are immunosurveillance cells, derived from monocytes, present antigens to T cells

A

Langerhans cells

How well did you know this?
1
Not at all
2
3
4
5
Perfectly
25
Dermis contains:
Ground substance, collagen, elastic fibers, glands, hair follicles, somatic sensory and sympathetic autonomic nerves, blood vessels, lymphatics, Pacinian corpuscles
26
Hypodermis (subcutaneous) contains:
Adipose tissue, (not technically part of the skin, but is important to the skin)
27
The dermis has a ____, ___ border due to dermal papillae and epidermal pegs/ridges.
Wavy Irregular
28
Dermis division: ____ layer contains loose connective tissue, type one and type three collagen, fibroblasts, mast cells, dendritic cells, and type seven collagen. ____ layer contains dense, irregular connective, tissue and elastic fibers
Papillary Particular
29
Picture of reticular layer stained for elastic fibers:
30
Important accessory structures in the dermis:
31
___ Sweat glands extend from the skin surface down into the dermis. They are located all over the skin. They perform thermal regulation. They are innervated by ___ ___.
Eccrine Cholinergic fibers
32
____ sweat glands are located in auxiliary and perineal regions. They open into hair follicles. Develop in response to sex hormones. Innervated by ___ ___.
Apocrine Adrenergic fibers
33
___ ___ are found in just under the upper dermis, especially in fingertips, palms and soles and sense light touch ___ ___ are deeper in the dermis and hypodermis. They detect vibration and pressure.
Meissner’s Pacinian
34
Blood vessels: ___ ___ provides nutrients to the epidermidis. ___ ___ is lower in the dermis and into the subcutaneous layer. Both participate in thermal regulation with ____ ___ of blood flow, depending on the needs of the body
Subpapillary plexus Deep plexus Ateriovenous shunting
35
Keratinization:
36
37
Desmoglein 3 and 1
38
39
Review:
40
____ (dry skin) is a condition that affects the stratum corneum, reducing its ability to retain moisture, and leading to scaly itching, and sometimes inflammation
Xerosis
41
___ ____ (eczema) involves the stratum corneum. A defective skin barrier allows allergens to penetrate the skin leading to itching and inflammation
Atopic dermatitis
42
43
Atopic dermatitis also results and disrupted ___ ___ ___. Mutation in the gene encoding ____ have been identified as a risk factor for the development of a subset of atopic dermatitis
Epidermal water barrier filaggrin (FLG)
44
Atopic dermatitis:
45
____ of the stratum spinosum give this layer its spiny or prickle cell appearance. Numerous enter collating, cytoplasmic processes (spines) how old are together by desmosomes.
Desmosomes
46
Desmosomes interact with ___, and intermediate filament. Other adhesion proteins involved in desmosomes are ___, ____, ____, and ___.
Keratins Desmocollin Desmoglein Plactoglobin Desmoplakin
47
Hemidesmosomes link ___ ___ of epithelial cells to laminin in the basal lamina. Adhesion proteins ___ and ___.
Intermediate filaments Integrin Collagen XVII
48
Stratum granulosum: _____ granules are masses of Filaggrin and trichohyalin. They promote aggregation of ____ filaments into course bundles called ___.
Keratohyalin Keratin Tonofibrils
49
What are the physical and molecular features that support the epidermal-dermal attachment?
50
___ and ___ are adapter protein components of the hemi desmosomes, which make connections with the keratin filaments
Dystonin Plectin
51
____ ____ ___: caused by defects in laminin and collagen XVII resulting in the detachment of basal cells from basal lamina. Blistering
Junctional Epidermolysis Bullosa
52
___ ___ ___: caused by defects in type VII collagen (anchoring fibrils) resulting In the detachment of the basal lamina from the lamina reticularis. Blistering
Dystrophic Epidermolysis Bullosa
53
____ ___ are at sites of mechanical stress. In thick skin, the mitotic basal surface of the epidermis greatly exceeds its free surface. As a result, more cells per unit time enter stratum cornea in ___ versus ___ skin.
Epidermal pegs Thick Thin
54
___ ___ is a blistering skin disease that occurs most commonly and elderly individuals. It is an auto immune disorder characterized by antibodies against the hemidesmosomal proteins.
Bullous pemphigoid
55
56
Skin cell types:
57
Interdigitating ___ ___ and ___ ___ reinforce the dermal-epidermal Junction
Dermal papillae Epidermal pegs
58
Eccrine sweat gland secretions are primarily composed of ___ and ions such as __, __, and ___. Apocrine sweat gland secretions are more ___.
Water Na, Cl, and K Viscous
59
The ___ ___ of sweat glands reabsorbs ions to prevent excessive loss. Degree of reabsorption depends on rate of sweat production
Duct segment
60
___ ___ of sweat glands contain clear cells that secrets ___ ___, dark cells that secrete ___ and ___, and Myoepithelial cells that surround secretory portions and ___ to move secretions into the ducts.
Secretory segment Interstitial fluid Mucins and dermcidin Contract
61
___ ___ is a few spiraling dendrites, surrounded by Schwann cells and a connective tissue capsule. Located in dermal papillae. Sense light touch.
Meissner’s corpuscle
62
____ ____ is a single dendrite surrounded by multiple layers of cellular lamellae separated by fluid filled spaces. Located in deep dermis and hypodermis. Sense pressure and vibration.
Pacinian corpuscle
63
Papillary dermis versus reticular dermis:
64
C. Filaggrin
65
66
67
Present antigen to T cells
68
69
A
70
71
72
73
C
74