What type of neuron is this?

Multipolar neuron
What type of neuron is this?

Unipolar neuron
What type of neuron is this?

Bipolar neuron
What is the middle part of this neuron called and what are the stringy bits you see?

The soma- the cell body
Along with the nucleus
The stringy bits are the dendrites
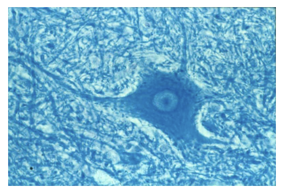
What is this structure and what nervous system is it a part of?

Satellite cell- parts of the PNS
What is this structure and what nervous system is it a part of?

Schwann cell- PNS
What is this structure and what nervous system is this a part of?

Microglia- CNS
What is this structure and what nervous system is this a part of?

Ependymal cells- CNS
What is this structure and what nervous system is this a part of?

Oligodendrocytes- CNS
What is this structure and what nervous sytem is this a part of?

Astrocytes- CNS
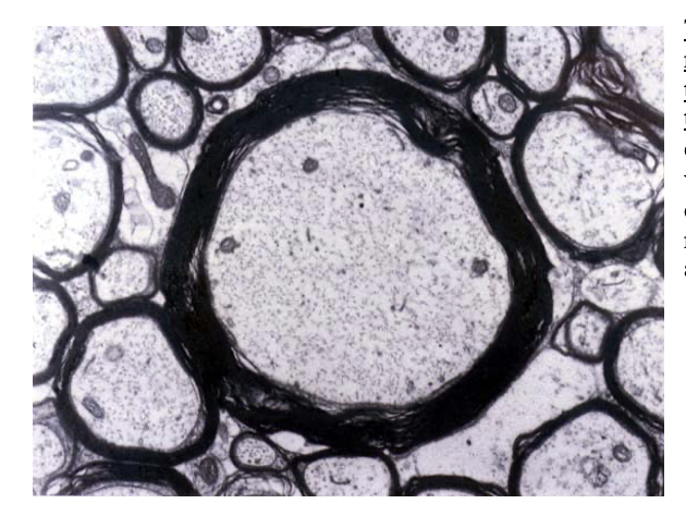
What is this?

The electron micrograph of a transverse section of the optic nerve
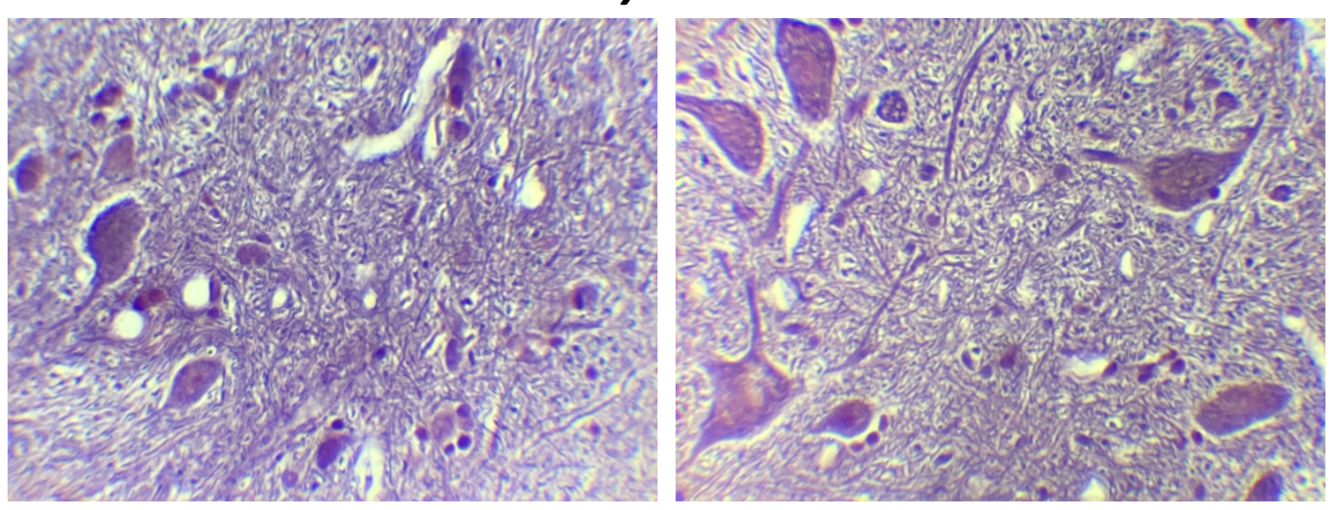
What is this?

Cross section through the spinal cord, showing the ventral horn.
What is this?

Grey matter of the ventral horn
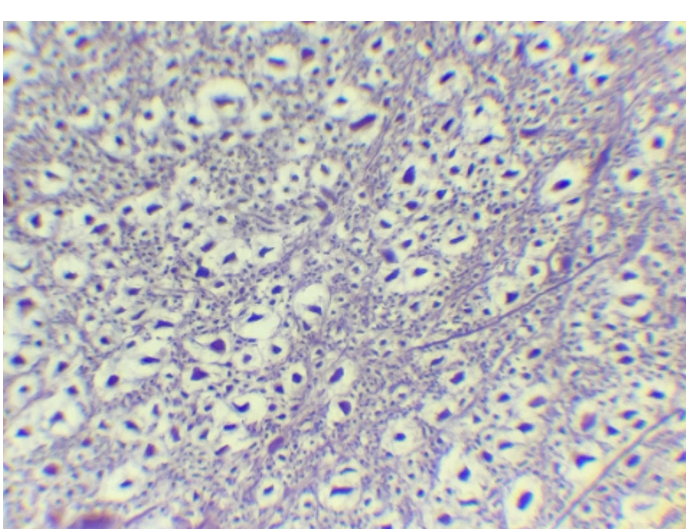
What is this?

White matter of the ventral horn
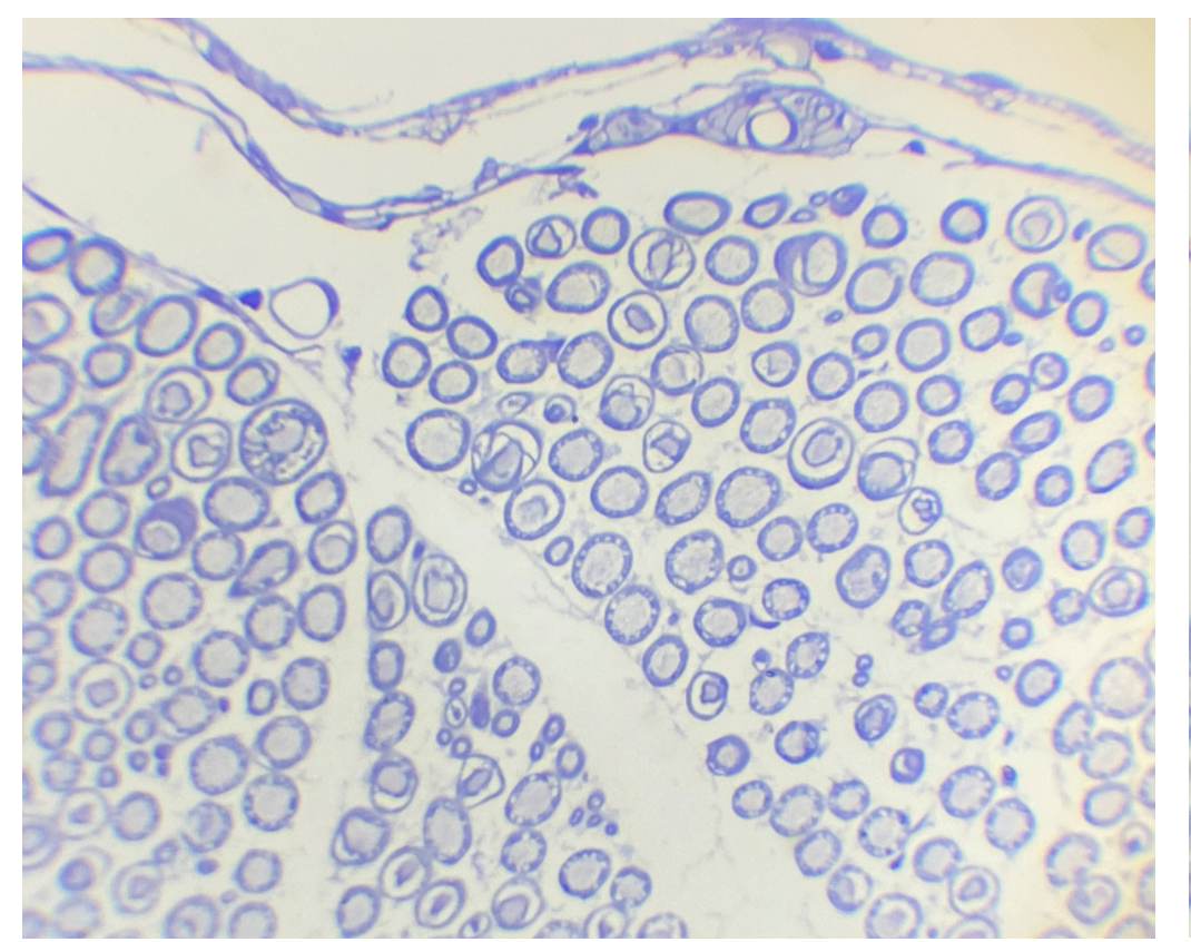
What is this?
Also what is the thing that is stained dark purple?
Quantify the axon diameter

Cross section of cranial nerves
Soma
10 micrometres
Identify the structures

3- Pupil
4 and 5- Posterior pars plana
6- Anterior pars pilcata
7- Iris
Identify the structures


Identify the structures


What is this structure?

Iris epithelium
What is this structure?

A Section of posterior iris taken from near iris root
What is this structure?

Lens
What is this structure?

Lens fibres
What is this structure and identidy the arrowed structures?

A cell junction
1- Socket
2- Ball
What is this structure and identify the arrowed structures?

Cell junction
Left arrow- Tongue
Right arrow- Groove