Study Guide Exam II Flashcards

(45 cards)

1
Q

What disease is associated with a mutation in Type 1 collagen?

A

osteogenesis imperfecta

How well did you know this?
1
Not at all
2
3
4
5
Perfectly
2
Q

Upon biopsying a lesion, what are you expected to find for the histology of focal osteoporotic defect:

A

hematopoietic marrow produce defect

How well did you know this?
1
Not at all
2
3
4
5
Perfectly
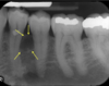
3
Q

What can be seen in the following image?

A

cementoblastoma

How well did you know this?
1
Not at all
2
3
4
5
Perfectly
4
Q

Give one diagnosis for this case:

A

Histology shows multinucleated giant cells

A: central giant cell granuloma

How well did you know this?
1
Not at all
2
3
4
5
Perfectly
5
Q

All describe McCune Albright Syndrome EXCEPT:

a- Cafe-Au- laud pigmentation
b- multi endocrine lesions
c- polyostotic disease of fibrous dysplasia
d- All of these are characteristic of Mccune Albright Sydrome

A

D

How well did you know this?
1
Not at all
2
3
4
5
Perfectly
6
Q

A patient who has intestinal polyps:

A
  1. Gardner syndrome
  2. Peutz-Jehger syndrome
How well did you know this?
1
Not at all
2
3
4
5
Perfectly
7
Q

An immunohistochemistry test for multiple myeloma would likely present:

A

monoclonal light chain

How well did you know this?
1
Not at all
2
3
4
5
Perfectly
8
Q

What disease is associated with amyloid deposits?

A

multiple myeloma

How well did you know this?
1
Not at all
2
3
4
5
Perfectly
9
Q

Patient presents with swelling & pain. What is the likely diagnosis?

A

osteosarcoma

How well did you know this?
1
Not at all
2
3
4
5
Perfectly
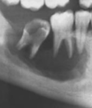
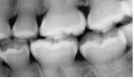
10
Q

Mom came into the office and said the child had had the first molar extracted before the eruption of the premolar. Based on the following image, what is the likely cause for this discoloration?

A

Turner hypoplasia

How well did you know this?
1
Not at all
2
3
4
5
Perfectly
11
Q

A patient underwent radiation therapy, what is likely to be seen on an x-ray or what is associated with radiation therapy?

A

short roots

How well did you know this?
1
Not at all
2
3
4
5
Perfectly
12
Q

When counting the dentition of a patient, when counting the affected tooth as one, the tooth count is normal. What tooth abnormality does this describe?

A

gemination

How well did you know this?
1
Not at all
2
3
4
5
Perfectly
13
Q

A mother brought in a child with concerns that their teeth appear to be “wearing away”. An x-ray was taken revealing the following. What is the likely cause?

A

dentogenesis imperfecta (because you can’t see the pulp chambers)

How well did you know this?
1
Not at all
2
3
4
5
Perfectly
14
Q

Ename pearl should be concerned for:

A

PDL widening

How well did you know this?
1
Not at all
2
3
4
5
Perfectly
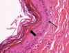
15
Q

Case study: Histology of a lesion was provided and described- waxy keratin, eptihelial lining appearing in the lumen. If an x-ray was taken of this it would likely show:

A

multilocular radiolucency

How well did you know this?
1
Not at all
2
3
4
5
Perfectly
16
Q

What is the gene mutation for cherubism?

A

SH3P2

How well did you know this?
1
Not at all
2
3
4
5
Perfectly
17
Q

Give a differential diagnosis for the following radiographic image:

(multilocular radiolucency in right posterior mandible)

A
  1. Odontogenic keratocyst
  2. ameloblastoma
  3. central giant cell granuloma
How well did you know this?
1
Not at all
2
3
4
5
Perfectly
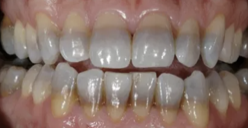
18
Q

The teeth in the following image are stained due to:

A

tetracycline

How well did you know this?
1
Not at all
2
3
4
5
Perfectly
19
Q

Under an electron microscope, what would you see for langerhans cell histiocytosis?

A

birbeck granules

20
Q

Differential for this image:

A

langerhan cell histiocytosis (bc teeth are floating in air)

21
Q

What disease is associated with supernumerary teeth?

A
  1. Gardners syndrome
  2. cleidocrainial dysplasia
22
Q

X-ray of skull shows these punched out lesions. The patient is 70 years old, what is the likely diagnosis?

A

multiple myeloma

23
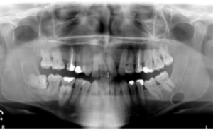
Q

What is the best diagnosis for the pano below?

A

static bone cyst

24
Q

T/F: Cherubim is unilateral

A

False- its bilateral

25
Common hyperdontia tooth:
mesiodens
26
Identify:
irritation fibroma
27
Identify:
mucocele
28
Identify:
hypercementosis
29
Identify:
white sponge nevus
30
Identify:
lateral periodontal cyst
31
Identify:
connective tissue wall of cyst
32
Identify:
erosive lichen planus
33
Identify:
recurrent aphthous stomatitis
34
Identify:
erythema migrans
35
Identify:
Turner Hypoplasia
36
Which disease can be characterized by autoinclincation?
verruca vulgaris
37
Fever, malaise, cervical lymphadenopathy, no previous exposure:
primary herpetic gingivostomatitis
38
pink tooth of mummery:
internal root resorption
39
Which of the following is NOT associated with Candida albicans:
erythema migrans
40
What skin lesion has the same histologic presentation of geographic tongue?
psoriasis
41
Cyst in the midline with vital teeth:
nasopalatine duct cyst
42
- basal cell layer still connected to connective tissue layer - fish net immunoflurescence - positive nikolsky sign
pemphigus vulgaris
43
Subepithelilal split:
mucous membrane pemphigoid
44
Dentigerous cyst can transform into:
unicyclic ameloblastoma
45