What are the boundaries of the adductor canal?
The canal is covered anterolaterally by the sartorius muscle and anteromedially by the adductor longus muscle. Posteriorly the vastus intermedius muscle forms the boundary.

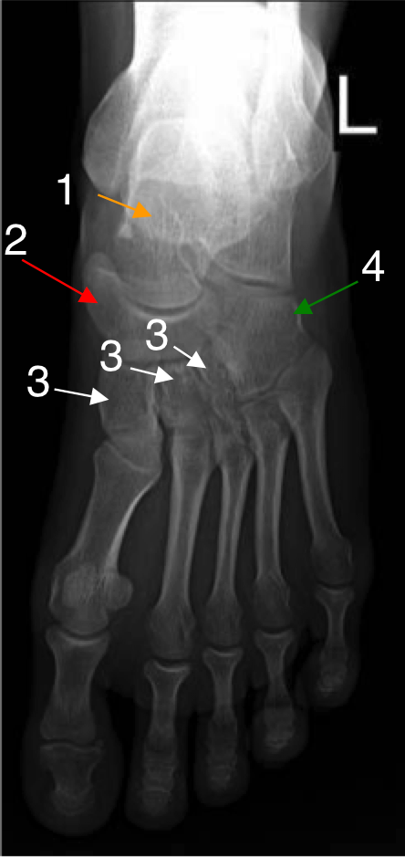
Name these bony prominences.


Identify the bones


Which nerve supplies sensation here?

Obturator nerve
Where does the dorsalis pedis artery lie in relation to the extensor hallucis longus?
The dorsalis pedis artery is LATERAL to the extensor hallucis longus.

How can you tell the difference between a baker’s cyst and a politeal artery anuerysm?
An anuerysm will have a pulse!


What structure forms the roof of the cubital fossa?
Bicipital aponeurosis


What structures are at risk of injury in the case of a posterior humeral dislocation?
The axillary nerve and posterior humeral circumflex artery as they pass through the quadrangular space.
What holds the head of the radius in place?
Annular ligament
Name the ligament.

Annular ligament