Surgery Flashcards

(88 cards)

1
Q

When considering someone that may be a candidate for surgery, what sorts of questions do you want to explore pre-op?

A

Consider contraindications to surgery e.g. anaesthesia.

How well did you know this?
1
Not at all
2
3
4
5
Perfectly
2
Q

When you have a murmur, what are the 4 possible valve pathologies? How do you differentiate?

A

Systolic - aortic stenosis or mitral regurg
Diastolic - aortic regurg or mitral stenosis

Sternal pattern (right = A, left = M)

Crescendo vs decrescendo (think blood flow)

Radiation (direction of flow / jet)

How well did you know this?
1
Not at all
2
3
4
5
Perfectly
3
Q

What are the high-risk features for aortic dissection?

A

Cardiac involvement

  • > Ischemia + new onset regurg
  • > pericardial effusion

End-organ involvement
->leg ischemia

Brain / carotid invovement

How well did you know this?
1
Not at all
2
3
4
5
Perfectly
4
Q

Why do people die of aortic dissection ?complications

A

Heart failure
Rupture / tamponade
End-organ ischemia
Paraplegia (involvement of artery of Adamkiewicz)

How well did you know this?
1
Not at all
2
3
4
5
Perfectly
5
Q

What is the DeBakey classification for aortic dissection?

A

I -> Ascending AND descending aorta
II -> Ascending only
III -> descending only after origin of left subclavian artery

How well did you know this?
1
Not at all
2
3
4
5
Perfectly
6
Q

What are the risk factors to ask about on history in vascular surgery patients?

A

Stroke
HTN
Diabetes
Dyslipidemia

Smoking
FH - cardiovascular disease

How well did you know this?
1
Not at all
2
3
4
5
Perfectly
7
Q

What physical exam is relevant in vascular surgery?

A

Don’t forget to inspect limbs, check pulses, feel temp etc.

How well did you know this?
1
Not at all
2
3
4
5
Perfectly
8
Q

What investigations would you order for AAA?

A

Bloodwork: CBC, lytes, Cr, LFTs lipase (ABG lactate if sick)

ECG/trop if C/P

CXR for cough or dyspnea or to assess free air

CT abdo / pelvis with contrast

How well did you know this?
1
Not at all
2
3
4
5
Perfectly
9
Q

How do you diagnose a AAA?

A

Any imaging modality (usually CT, but can do U/S or MRI)

Aneurysm = 1.5x normal size

abdominal aorta normally 2cm; thus 3cm+ is aneurysm.

How well did you know this?
1
Not at all
2
3
4
5
Perfectly
10
Q

What is the threshold for surgical intervention in AAA? What are the options for surgical repair?

A

> =5cm in women
5.5 cm in men (rupture risk = 10%

Growth >1cm / yr
Symptomatic or ruptured

Open vs endovascular (similar outcomes, but endo is faster recovery time).

How well did you know this?
1
Not at all
2
3
4
5
Perfectly
11
Q

What is f/u for AAA?

A

2-3 years if 3-3.9cm
4-4.9 1 year repeat u/s
5 cm -> time for a CT, repeat u/s in 6 mos

How well did you know this?
1
Not at all
2
3
4
5
Perfectly
12
Q

What are the medical management options for AAA?

A

Smoking cession
Control HTN (140/90; 130/80)
diabetes <7% A1C
dyslipidemia LDL < 2 statin

Avoid fluoroquinolones

How well did you know this?
1
Not at all
2
3
4
5
Perfectly
13
Q

What is the criteria for a symptomatic AAA?

A

Pulsatile mass that is tender on palpation.

How well did you know this?
1
Not at all
2
3
4
5
Perfectly
14
Q

What is the triad for AAA?

A

Severe abdo pain, pulsatile abdo mass, hypotension

How well did you know this?
1
Not at all
2
3
4
5
Perfectly
15
Q

When do you bypass CT for symptomatic AAA?

A

If they are unstable / hypotensive, then you go straight to the OR

How well did you know this?
1
Not at all
2
3
4
5
Perfectly
16
Q

What are some signs of compartment syndrome?

A

Pain out of proportion that is exacerbated by muscle stretch.

How well did you know this?
1
Not at all
2
3
4
5
Perfectly
16
Q

What are some signs of compartment syndrome?

A

Pain out of proportion that is exacerbated by muscle stretch.

How well did you know this?
1
Not at all
2
3
4
5
Perfectly
17
Q

How do you manage acute limb ischemia?

A
  1. CT to confirm diagnosis

2. OR for embolectomy

How well did you know this?
1
Not at all
2
3
4
5
Perfectly
18
Q

How do you manage compartment syndrome?

A

OR for 4-compartment fasciotomy

How well did you know this?
1
Not at all
2
3
4
5
Perfectly
19
Q

If you have a laceration near a fracture, is it open?

A

Yes until proven otherwise

How well did you know this?
1
Not at all
2
3
4
5
Perfectly
20
Q

How do you check the nerves of the upper extremity?

A

Axillary (lateral deltoid)
Musculocutaneous (biceps, lateral forearm)
Radial (wrist extension, triceps, (PIN) thumb extension, sensory to 1st webspace)
Median (lateral 1st digit, AOK sign)
Ulnar (medial pinky cross/spread fingers.

How well did you know this?
1
Not at all
2
3
4
5
Perfectly
21
Q

Suppose someone has a distal radius fracture with D1 and D2 numbness but motor still intact; where is the lesion?

A

Likely carpal tunnel compression - median nerve proper runs through the carpal tunnel.

How well did you know this?
1
Not at all
2
3
4
5
Perfectly
22
Q

Name the fracture pattern

A
How well did you know this?
1
Not at all
2
3
4
5
Perfectly
23
Q

Name the deformity

A
How well did you know this?
1
Not at all
2
3
4
5
Perfectly
24
What is the ATLS protocol for burns?
``` Airway Breathing Circulation (fluids) Escharotomy (full-thickness burns) Wound management ```
25
What are some signs of inhalation injury?
``` Facial soot Sooty sputum Singed nasal hair Oropharyngeal burns Stridor / air hunger (resp obstruction) ```
26
What investigations would you do for burns?
ABGs / VBGs Carboxyhemoglobin +cyanide Bronch
27
when you have a burn patient what you should also consider?
Trauma!
28
In a burns patient with an airway injury, what should you consider?
Intubation to protect the airway
29
Describe the rule of 9s for adults and children
Adults head, arms 9% each Chest back and each leg 18% 1% perineum For kids Head is 18, legs are 13.5%
30
What are the different depths of burn injuries
Superficial - a sunburn that doesn't blister (no epi/dermal jct disruption) Partial thickness - superficial de-epithelialization or deep. Superficial if epidermis is intact. Deep thickness / full thickness (all the way down through the epidermis into the dermis, white-leathery.
31
what is the Parkland formula for burns & how do you calculate it for 82kg person with 18% TBSA involved.
4ml x TBSA (%) x body weight (kg); 50% given in first eight hours; 50% given in next 16 hours. Total is about 6L
32
What is the minimum urine output that you want
0.5-1 cc/kg/hr
33
When do we transfer someone to a burn unit?
``` partial-thickness+ burns >10% TBSA Burns involving face/hands/feet/genitalia/perineum major joint ANY 3rd degree burn Electrical, chemical burns Inhalation injury Co-morbidity patient Burns + trauma ```
34
What is a potential complication that can arise in burn patients after receiving resuscitation?
Abdominal compartment syndrome / intraabdominal hypertension
35
If you suspect increased ICP from a tumor with deteriorating GCS, what are your options?
Mannitol (1g/kg), hypertonic saline, intubation if needed, hyperventilation, raise head of bed. If cancer = give dexamethasone Anticonvulsants if needed
36
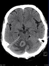
Where is the lesion?
R cerebellum (note bony prominencies and the tentorium)
37
What questions on history do you want to know for back pain?
Back vs leg pain - distribution esp if leg pain OPQRST Ambulation, Bowel/bladder dysfunction, saddle anaesthesia, weakness, constitutional symptoms What do you do for work / how is it affecting you?
38
What are the important points on history to ask about headache?
``` N/V Associated symptoms / focal neuro signs /visual symptoms Positional - intracranial hyper/hypotension Hx CA Trauma? Previous headaches? Seizure, syncope Balance, coordination, gait, vertigo ```
39
Describe the movements of the screening upper extremity motor exam
``` Basketball shot: C5 (biceps) C6 (wrist extension) C7 (elbow extension wrist flexion) C8 (metacarpal flexion, thumb extension) T1 (finger ABduction or ADduction) ```
40
What is the DDx for back pain Nonradiculopathy
``` Annular tear Discogenic Compression fracture Lumbar stenosis Facet arthropathy ```
41
What is the Ddx for back pain that produces radicular symptoms
Disc herniation Spinal stenosis Tumors Zoster
42
What about if you have back pain with systemic symptoms?
Ankylosing spondylitis Infection etc.
43
What systems can cause referred back pain?
``` AAA Vascular disease Visceral disease (abdo) Infection UTI PID Hip arthritis ```
44
What is the non-operative management of radicular back pain?
at least 3 months of physio, NSAIDs, pain killers. Must encourage movement.
45
What are some operative techniques that can treat back pain?
(micro) Discectomy, laminectomy / laminotomy.
46
Which nerve root exits between L5 and S1?
L5 | Note L5 is the "exiting" root and S1 at that level is still "traversing".
47
Why is cauda equina an emergency?
Because the incontinence becomes permanent.
48
What special tests can you do for appendicitis?
Tenderness at McBurney's Point Rovsing (LLQ palpation -> RLQ tenderness) Psoas / obdurator signs.
49
What investigations are useful in the context of the acute abdomen?
``` CBC, lytes, Cr Beta HCG if female blood type cross / match Abdo panel: LFTs, amylase, lipase U/S or CT (if older, unsure, large body habitus) ```
50
What is the management of appendicitis?
Medical: with active observation, ceftriaxone + metronidazole (about 63% Surgical: lap appy
51
A patient with previous history of exploratory laporotomy presents with 4 hours of severe abdo pain and signs of acute small bowel obstruction. AVSS. What is the first step in management?
Place NG tube and suction. Admit for observation.
52
What is the diagnosis? How would this present?
Coffee bean sign - sigmoid volvulus | large bowel obstruction, insidious progression of continuous + colicky pain and constipation + distention.
53
Patient presents with right seminoma which is removed by radical orchiectomy. A staging CT is performed and there is spread to a retroperitoneal lymph node. How is this managed?
Radiation! GCTs are very sensitive to radiation. Chemotherapy can be used with more extensive lymph mets.
54
What is the differential for breast mass
Fibroadenoma, lipioma, ductal ectasia, DCIS, Breast CA, Phylloides tumor.
55
If SLNB comes back positive for 1-2 lymph nodes after partial mastectomy, what is the appropriate management?
Whole breast radiation + chemo, as axillary dissection is not shown to improve outcomes.
56
If a person presents with unilateral sudden onset breast tenderness, swelling and skin changes (non-lactating), what should be at the top of your differential?
Inflammatory breast CA
57
What BIRADS indicates suspiscion for malignancy requiring biopsy?
4
58
What is the top risk factor for adénocarcinomes of the esophagus?
GERD (eg Barrett’s eso)
59
What are signs of complicated small bowel obstruction?
Persistent pain, fever, tachycardia, focal abdo tenderness, amylase, low bicarbonate.
60
What is the appropriate follow-up for someone with a noncancerous polyp on colonoscopy? What about cancerous polyp?
Noncancerous - repeat colonoscopy in 5y | Cancerous - repeat colonoscopy in 1y, then can go to 5 years depending on findings
61
What pattern of inflammation is associated with Crohn rather than UC?
Transmural inflammation with sparing of rectum
62
What are the major risk factors for CRC?
personal history of polyps IBD Family history (esp. FAP, Lynch)
63
Does amylase or lipase correlate witb the progression of pancreatitis?
No
64
Can you do watchful waiting with a femoral hermia?
No. These types of hernias are associated with high rates of incarceration and complications
65
What is the managment for an incarcerated scrotal hernia
Urgent repair + groin exploration
66
What is the most common cause of morbidity after lung transplant (late)
bronchiolitis obliterans
67
What is triple therapy for h pylori
Amoxicillin, clarithromycin, ppi
68
What is quadruple therapy for h pylori and when do you use it
Bismuth metronidazole tetracycline ppi | If recently exposed to macrolide or resistance locally to triple therapy
69
What is the best imaging modality for acute limb ischaemia
CT angiogram
70
In the patient presenting with sah and meningeal signs but negative CT what is the next step?
LP for xanthrochromia
71
What surgical approach is best for adrenal malignancy ?
Open transabdoninal
72
What is the characteristic presentation concerning for VIPoma
WDHA Watery diarrhea Hypokalemia Acidosis / achlorhydria
73
How does dysautonomia present?
Unopposed sympathetic tone (eg due to bladder retension after spinal cord injury)
74
What medixation is first line for dysautonomia?
Nifedipine
75
After mastectomy, what is the appropriate followup?
No need for mammography as breast tissue has been removed; annual breast exam
76
What ids the difference between type A and type B lactic acidosis
``` A = hypoperfusion B = every thing else eg DKA ```
77
What is the next step for a young patient with a 6 month history of conatitutional symptoms and cervical lymphadenopathy
Surgical excision biopsy (needs to preserve tissue arch for biopsy, FNA not recommended)
78
When is CaCl2 indicated for hyperkalemia?
When K is 6.5 or more regardless of ECG changes
79
What is a Spigelian hernia?
Protrudes between linea semilunaris and rectus abdo
80
What are the most common causes of acquired hydronephrosis?
Tumours stones and strictures
81
When is perc nephrostomy ordered over retrograde stent for treatment of complicated hydronephrosis?
Pregnant - due to reduced radiation to fetus
82
What is the treatment for idiopathic intracranial hypertension?
Acetazolamide or topiramate (better for migraine) | Ventricular shunt if refractory to medical therapy
83
What cancer occurs in the setting of Barrett esophagus?
Esophageal ademocarcinoma
84
What compartment pressure is associated with compartment syndrome?
>30 mmHg
85
This young patient presents with hemoptysis after an episode pofnretching. What is the diagnosis?
Boerhaave’s syndrome (esophageal rupture, note free air in mediastinum)
86
In an elderly patient that is hemodynamically unstable presenting with copious bright red blood per rectum, what is the next best step for management after establishing ABCs?
NG aspiration or upper endoscopy to r/o massive upper bleed
87
Patient presents with facial trauma, maxillary and mandibular fracture after MVA and is satting 78 on O2 by face mask. What is the next step in management?
Cricothyroidectomy, as intubation is contraindicated when there is facial trauma