1st and 2nd steps for treating acute variceal bleeding
1st: 2 Large bore IV needles vs. central line for IVF
2nd: Endoscopic clerotherapy vs. band ligation
Postop Cholestasis develops after surgerys that involve ____, _____ and _____. Why is this?(3)
hypOtension / [extensive blood loss into tissue] / [massive blood replacement]
Surgical repair for hip fractures may be delayed up to __ hours. Why?
72 hours; address unstable medical comorbidity first
How does SBO present (4)? What’s most common cause?

Adhesions! (operations)

When and what demographic does [Isolated Duodenal Hematoma] occur?
1st line tx? 2nd line tx?
[Abd trauma to children]–>blood between mucosa and submucosa –> resolves spontaneously in 1-2 weeks
Tx =
1st: [NG suction + Parenteral nutrition]
alternative: Laparascopic hematoma removal
Describe Varicoceles.
Etiology?
Tortuous Dilation of Pampiniform Venous Plexus surrounding spermatic cord & testis within scrotum
L renal vein compression (from Aorta and SMA or thrombosis) –>L side scrotal bag of worms worst with standing/valsalva and better when supine

[Retropharyngeal Abscess] presentation (5)
Why does this have to be treated STAT?
Odynophagia / [Painful Neck Extension] / Fever / Sore throat / [Trismus (inability to open mouth)]
Abscess infection may spread into mediastinum!
Dx(2) and Tx(2) for [Retropharyngeal Abscess]
Dx = CT neck vs. Lateral Radiographs–>Demonstrates cervical spine Lordosis
Tx = IV Abx + IND
Complications of SBO (2)?
Management (2)
Strangulation vs. Perforation
Mgmt = [Surgical Exploration] vs. [NPO & IVF –> NG tube suction]
Diverticulitis Abscess Tx
CT guided-percutaneous (alternative surgical) abscess I&D
Diverticulitis = Soft tissue stranding & colonic wall thickening
INR for normal people
0.8 - 1.2
Therapeutic INR range for pts on warfarin
2 - 3
Acute GI perforation requires emergent _____
Laparotomy (surgical incision thru abd wall)
MOD of [Mesenteric Bowel ischemic colitis] post AAA repair
inadequate [Left and Sigmoid Colon] arterial perfusion from IMA during aortic graft placement –> Ischemia

CT revealing air & edema in bowel wall –> thickening = MBIC
Step-wise process for [Blunt Abd Trauma in hemodynamically unstable pts]. Any Caveat?
DPL = Diagnostic Peritoneal Lavage = aspiration of 10 mL of peritoneal fluid with blood = intraperitoneal injury
Caveat = PENETRATING ABD TRAUMA (GUNSHOT/STAB) = SKIP DIRECTLY TO XLAP (Xploratory LAPARATOMY W/REPAIR)

Staph Aureus and Staph Epidermidis both affect prosthetic joints. What is the difference?
[Staph Aureus = Acute ( < 3 mo. onset)] & may only require debridement
[Staph Epidermidis] = Delayed > 3 mo. onset and must be replaced
PrePatellar bursitis is often due to _______, but other causes include ____ or _____
S.Aureus (infects bursa via trauma vs. friction vs. extending from local cellulitis); [Gout Crystalline Arthropathy], [Rheumatoid Arthritis]

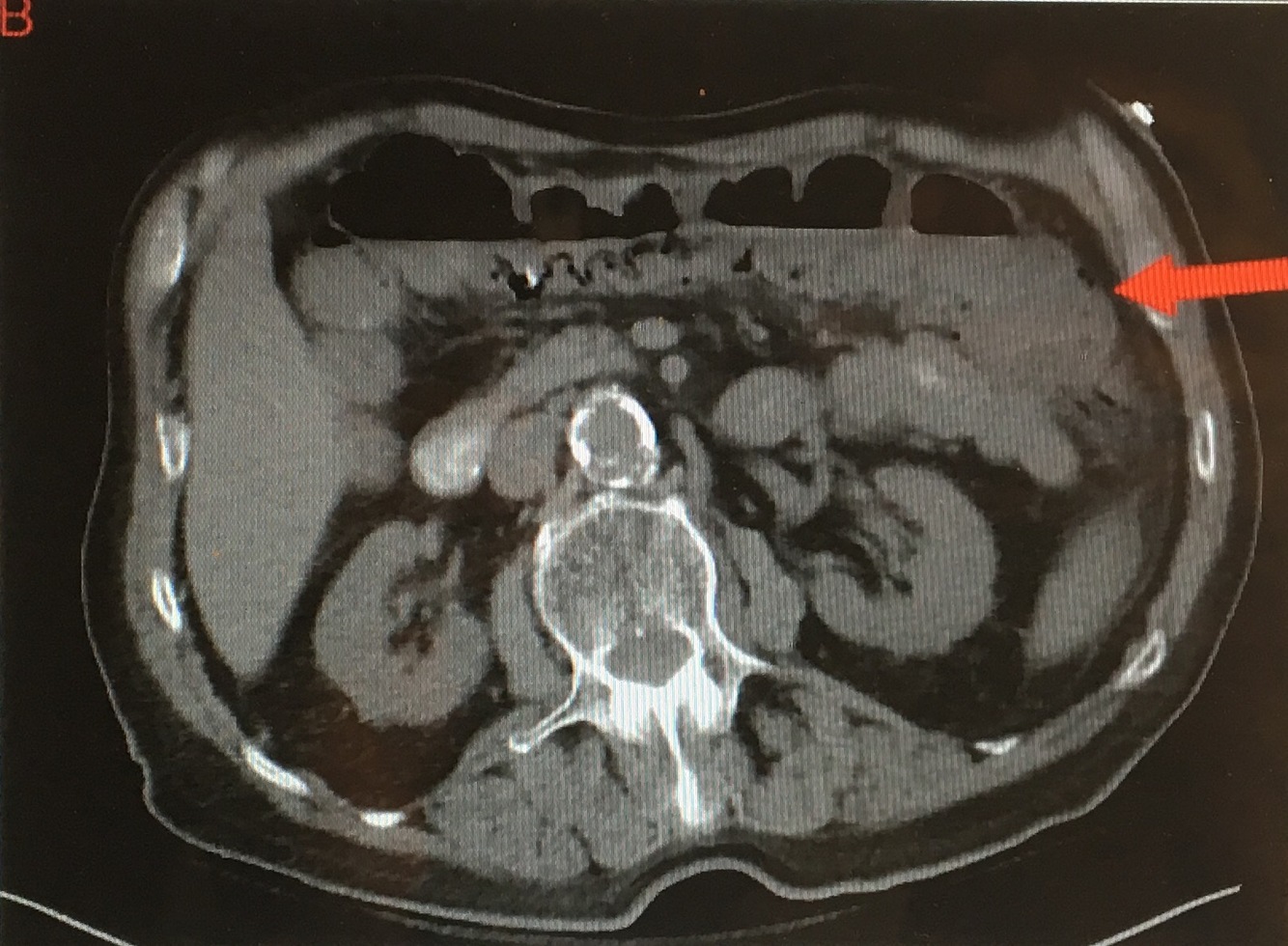
CT scan shows ______ which indicates _____. What causes this? Tx(2)?

[air in DEEP tissue]; Necrotizing Fasciitis;
[Group A Strep Pyogenes] (but typically polymicrobial) spreads rapidly thru SubQ & deep fascia after minor trauma –>
PAIN OUT OF PROPORTION WITH EXAM +
hypOtension +
[Erythema & Swelling]
Tx = Debridement + Broad Abx

What is the first sign of hypOvolemia
INC HR
Massive Hemoptysis is defined as _____ or _____. The greatest danger for this is _____. What is the mngmt(4)?
[>600 mL expectorated blood over 24 hours] vs. [Bleeding > 100 mL/hour] –> Asphyxiation from blood in airway
1st: Establish airway and maintain ventilation & gas exchange
2nd: Pt is placed with bleeding lung in lateral decubitius to prevent bleeding from going to other lung
3rd: Bronchoscopy to localize bleeding site and provide suction/electrocautery
4th: Thoractomy if it’s unilateral bleeding or bleeding persist despite bronchoscopy
On which PostOp Day is atelectasis most common? Explain how this causes Respiratory Alkalosis
POD2! ; PostOp pain vs. Residual anesthesia vs. tongue prolapse —> hypOxemia and INC work of breathing –> Hyperventilation —> Respiratory Alkalosis
Acute PE may present similarly
Femoral n. Function (2)
[Knee extension] & [hip flexion]
Femoral n. innervation (2)
[ANT thigh] & [Medial leg via saphenous branch]
Obturator n. function
Thigh ADDuction