Surgery Flashcards

(296 cards)

1
Q

What is the reason for neoadjuvant chemotherapy in breast cancer?

A

To try to downsize the tumour before surgery and allow breast conserving surgery rather than mastectomy

How well did you know this?
1
Not at all
2
3
4
5
Perfectly
2
Q

Name the drug used to prevent vasospasm in aneurysmal subarachnoid haemorrhages

A

Nimodipine

How well did you know this?
1
Not at all
2
3
4
5
Perfectly
3
Q

Women receives wide-local excision for breast cancer. What is the next course of action?

A

Whole breast radiotherapy is recommended after a woman has had a wide-local excision as this may reduce the risk of recurrence by around two-thirds

How well did you know this?
1
Not at all
2
3
4
5
Perfectly
4
Q

What is the breast cancer screening programme in the UK?

A

Mammogram every 3 years for all women aged 50-70

How well did you know this?
1
Not at all
2
3
4
5
Perfectly
5
Q

Name the drug used in post-surgical management of ER +ve women who are pre- or perimenopausal

A

Tamoxifen

How well did you know this?
1
Not at all
2
3
4
5
Perfectly
6
Q

Name the drug used in post-surgical management of ER +ve women who are post-menopausal

A

Aromatase inhibitors e.g. anastrozole, letrozole

How well did you know this?
1
Not at all
2
3
4
5
Perfectly
7
Q

Site of cancer: caecal, ascending or proximal transverse colon

What type of resection and what anastomosis?

A

Right hemicolectomy, ileo-colic anastomosis

How well did you know this?
1
Not at all
2
3
4
5
Perfectly
8
Q

Site of cancer: distal transverse, descending colon

What type of resection and what anastomosis?

A

Left hemicolectomy, colo-colon anastomosis

How well did you know this?
1
Not at all
2
3
4
5
Perfectly
9
Q

Site of cancer: sigmoid colon

What type of resection and what anastomosis?

A

High anterior resection, colo-rectal anastomosis

How well did you know this?
1
Not at all
2
3
4
5
Perfectly
10
Q

Site of cancer: sigmoid colon, associated with perforation

What type of resection?

A

Sigmoid colectomy with formation of an end stoma

Risk of anastomosis is much greater in cases of perforation - Hartmann’s is safer and can be reversed later

How well did you know this?
1
Not at all
2
3
4
5
Perfectly
11
Q

Patient presenting with meningism, CT scan more than 6 hours after headache onset is normal. Next steps?

A

Lumbar puncture should be done at 12 hours post-onset to check for xanthochromia (SAH)

How well did you know this?
1
Not at all
2
3
4
5
Perfectly
12
Q

Wmen with breast cancer and no palpable lymphadenopathy, pre-operative axillary ultrasound is negative.

Next step in management?

A

Sentinel node biopsy

How well did you know this?
1
Not at all
2
3
4
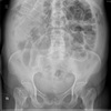
5
Perfectly
13
Q

A 56-year-old man is admitted with acute retention of urine. He has had a recent urinary tract infection. An USS shows bilateral hydronephrosis. What is the best course of action?

A

Urethral catheter

How well did you know this?
1
Not at all
2
3
4
5
Perfectly
14
Q

Renal stone management: < 5mm and asymptomatic

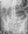
A

Watchful waiting

How well did you know this?
1
Not at all
2
3
4
5
Perfectly
15
Q

Renal stone management: 5-10mm

A

Shockwave lithotripsy

How well did you know this?
1
Not at all
2
3
4
5
Perfectly
16
Q

Renal stone management: 10-20mm

A

Shockwave lithotripsy OR ureteroscopy

How well did you know this?
1
Not at all
2
3
4
5
Perfectly
17
Q

Renal stone management: > 20 mm

A

Percutaneous nephrolithotomy

How well did you know this?
1
Not at all
2
3
4
5
Perfectly
18
Q

Uteric stone management: > 10 mm

A

Shockwave lithotripsy +/- alpha blockers

How well did you know this?
1
Not at all
2
3
4
5
Perfectly
19
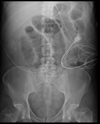
Q

Uteric stones: 10-20 mm

A

Ureteroscopy

How well did you know this?
1
Not at all
2
3
4
5
Perfectly
20
Q

Renal stone management: large staghorn calculus

A

Percutaneous nephrolithotomy

How well did you know this?
1
Not at all
2
3
4
5
Perfectly
21
Q

Uterine stone management: signs of uteric obstruction

A

Urgent decompression: nephrostomy tube placement, insertion of ureteric catheters or ureteric stent placement

How well did you know this?
1
Not at all
2
3
4
5
Perfectly
22
Q

A patient is started on finasteride for the treatment of benign prostatic hyperplasia. How long should the patient be told that treatment may take to be effective?

A

Up to 6 months

How well did you know this?
1
Not at all
2
3
4
5
Perfectly
23
Q

List the medical benefits of circumcision

A
  • Reduces the risk of penile cancer
  • Reduces the risk of UTI
  • Reduces the risk of acquiring sexually transmitted infections including HIV
How well did you know this?
1
Not at all
2
3
4
5
Perfectly
24
Q

How can you prevent transient increase in symptoms of prostatic cancer due to goserelin treatment?

A

Pretreatment/co-prescription with synthetic antiandrogens e.g. flutamide, cyproterone acetate

How well did you know this?
1
Not at all
2
3
4
5
Perfectly
25
Management of renal cell carcinoma stage T1?
Partial nephrectomy
26
Name two drugs which can be helpful in the prevention of calcium renal stones
Thiazide diuretics Potassium citrate
27
A 22-year-old man is involved in a road traffic accident. He is found to have a pelvic fracture. While on the ward the nursing staff report that he is complaining of lower abdominal pain. On examination you find a distended tender bladder. What is the best management?
Suprapubic catheter ## Footnote This patient has possible urethral injury based on the history. Urethral catheterisation is contraindicated in this situation
28
An 28-year-old man presents with pain in the testis and scrotum. It began 10 hours previously and has worsened during that time. On examination he is pyrexial, the testis is swollen and tender and there is an associated hydrocele. What is the most likely diagnosis?
Acute infective epididymo-orchitis
29
A 15-year-old boy develops sudden onset of pain in the left hemiscrotum. He has no other urinary symptoms. On examination the superior pole of the testis is tender and the cremasteric reflex is particularly marked. What is the most likely diagnosis?
Torsion of testicular appendage
30
Which form of testicular cancer has the best prognosis?
Seminomas
31
Name two drugs which are helpful in the prevention of uric acid stones
Allopurinol Oral bicarbonate (urinary alkalinization)
32
Name two drugs which are helpful in the prevention os oxalate renal stones
Cholestyramine Pyridoxine
33
What are the complications of radiotherapy for prostate cancer?
* Increased risk of bladder, colon, and rectal cancer * Proctitis
34
Young patient who has always had difficulty achieving an erection. Management?
Urology referral
35
What ethnic group has the highest incidence of prostate cancer?
Afro-Caribbean
36
Management of mild varcicoeles
Reassure and observe
37
What advice should be given to patients regarding vasectomy and contraception?
Vasectomy isn't an immediate form of contraception; semen analysis must be performed and azoospermia confirmed before used as contraception
38
A 73-year-old lady is undergoing chemotherapy for treatment of acute leukaemia. She develops symptoms of renal colic. Her urine tests positive for blood. A KUB x-ray shows no evidence of stones. What is the most likely stone type?
Uric acid
39
A 16-year-old boy presents with renal colic. His parents both have a similar history of the condition. His urine tests positive for blood. A KUB style x-ray shows a relatively radiodense stone in the region of the mid ureter. What is the most likely stone type?
Cystine ## Footnote Cystine stones are associated with an inherited metabolic disorder
40
A 43-year-old lady with episodes of recurrent urinary tract sepsis presents with a staghorn calculus of the left kidney. Her urinary pH is 7.3. A KUB x-ray shows a faint outline of the calculus. What is the most likely stone type?
Chronic infection with urease producing enzymes can produce an alkaline urine with formation of struvite stone
41
A 22-year-old man attends an appointment with his general practitioner. He has noticed a non-tender lump in his scrotum. He is concerned that he is developing bilateral breast enlargement. Given the likely diagnosis, what is the most appropriate first-line investigation?
Testicular ultrasound ## Footnote Gynaecomastia in testicular cancer occurs due to an increased oestrogen:androgen ratio
42
A 32-year-old male presents to the GP with a painless lump in his testicle. On examination, it is possible to get above the lump, the testicle does not transilluminate and is found on the posterior side of the testicle and is separate from the body of the testicle. What is the most likely diagnosis?
Epididymal cyst ## Footnote An epididymal cyst is a cause of scrotal swelling which can be palpated as separate from the body of the testicle
43
A 40-year-old male presents to the GP complaining of a painless lump in his groin. On examination, the lump is medial and superior to the pubic tubercle. The size of the lump is approximately 3cm and it is smooth and mobile. There is no cough impulse. What is the most likely diagnosis?
Lipoma
44
A CT scan shows a lesion affecting the upper pole of the right kidney, it has a small cystic centre. What is the most likely diagnosis?
Renal adenocarcinoma
45
A 20-year-old complains of severe pain and swelling of the scrotum after a cystoscopy. He had mumps as a child. The testis is tender. The urine dipstick is positive for leucocytes. What is the most likely diagnosis?
Epididymo-orchitis
46
What is the acceptable upper limit of residual urine in patients < 65 years old?
<50 ml
47
What is the most appropriate treatment for prostatitis?
Quinolone for 14 days
48
Which type of renal stone appears semi-opaque on x-ray?
Cystine stones
49
Which types of renal stone appear radiolucent on x-ray?
Urate + xanthine stones
50
What is the most appropriate management for intermittent testicular torsion?
Bilateral orchiopexy
51
A 52-year-old man falls off his bike. He is found to have a pelvic fracture. On examination he is found to have perineal oedema and on PR the prostate is not palpable. A urine dipstick shows blood. What is the most likely diagnosis?
Membranous urethral rupture
52
Describe the clinical presentation of bladder carcinoma
Most patients (85%) will present with painless, macroscopic haematuria
53
What is the investigation of choice for bladder carcinoma?
Flexible cystoscopy
54
How long should you wait after prostatitis and UTI to measure PSA?
1 month
55
What is the management of acute upper urinary tract obstruction causing hydronephrosis?
Nephrostomy
56
What is the first-line investigation in suspected prostate cancer?
Multiparametric MRI
57
What tumour markers are associated with testicular seminomas?
* AFP usually normal * hCG elevated in 10% * LDH elevated in 10-20% (but also seen in many other conditions
58
What serum markers are raised in non-seminoma testicular cancer?
* AFP elevated in up to 70% of cases * HCG elevated in up to 40% of cases
59
What is the most common histological type of malignant renal cancer?
Clear cell carcinoma
60
What is the best diagnostic investigation for hydronephrosis?
Ultrasound of the renal tract
61
How can a lower UTI precipitate acute urinary retention?
Urethritis, and subsequent urethral oedema
62
What percentage of varicoceles occur on the left side?
80%
63
Why are the majority of varicoceles located on the left side?
They are more common on the left side due to the angle at which the left testicular vein enters the left renal vein, creating a high-pressure system that favours varicocele formation
64
Name two drugs assocaited with erectile dysfunction
SSRIs and beta blockers
65
What is Stauffer syndrome?
A cholestatic picture (with elevated bilirubin, alkaline phosphatase and gamma-GT) with concomitant hepatosplenomegaly is a paraneoplastic presentation of renal cell carcinoma known as Stauffer syndrome
66
What is the most significant risk factor for transitional cell carcinoma of the bladder?
Smoking
67
What percentage of patients who undergo vasectomy experience chronic testicular pain?
5%
68
What is the preferred management option of renal stones in pregnant women?
Uteroscopy
69
Name one feature which would suggest an organic cause of erectile dysfunction
Normal libido
70
What malignancy are patients with a history of Schisotosoma haematobium infection at increased risk of?
Squamous cell carcinoma of the bladder
71
Epididymo-orchitis in individuals with a low STI risk (e.g. married male in 50s, wife only partner) is likely due to what type of organism?
Enteric organisms (e.g. E. coli)
72
Name one adverse effect of GnHR agonists when given for prostate cancer
GnRH agonists may cause 'tumour flare' when started, resulting in bone pain, bladder obstruction and other symptoms
73
Patients taking prednisolone should be given supplementation with what drug prior to surgery?
Hydrocortisone
74
Excessive administration of sodium chloride is a recognised cause of what metabolic disturbance?
Hypercholoraemic acidosis
75
By how much should once-daily insulin dose be reduced one the day before and day of surgery?
20%
76
A 20-year-old man has a protracted stay on ITU following a difficult appendicectomy for perforated appendicitis with pelvic and sub phrenic abscesses. He has now deteriorated further and developed deranged liver function tests. What is the most likely diagnosis?
Portal vein thrombosis ## Footnote Such marked intra-abdominal sepsis may well produce coagulopathy and the risk of portal vein thrombosis
77
A 63-year-old man undergoes an Ivor - Lewis oesophagogastrectomy for carcinoma of the distal oesophagus. The following day a pale opalescent liquid is noted to be draining from the right chest drain. What is the most likely diagnosis?
Chyle leak
78
A 63-year-old man has been on the intensive care unit for a week with adult respiratory distress syndrome complicating acute pancreatitis. He has required ventilation and is still being mechanically ventilated. What is the most appropriate method of airway access?
Tracheostomy
79
A 23-year-old man is undergoing an inguinal hernia repair as a daycase procedure and is being given sevoflurane. What is the most appropriate method of airway access?
Laryngeal mask
80
A 48-year-old man is due to undergo a laparotomy for small bowel obstruction. What is the most appropriate method of airway access?
Endotracheal intubation
81
What type of anaesthetic agents may cause malignant hyperthermia?
Volatile liquid anaesthetics (isoflurane, desflurane, sevoflurane)
82
What guidance should be given to patients taking sulfonylureas on the day of surgery?
* Omit on the day of surgery * Exception is morning surgery in patients who take BD - they can have the afternoon dose
83
A 56-year-old man has undergone a potentially curative oesophagectomy for carcinoma. What is the most appropriate method of delivering nutrition?
Feeding jejunostomy
84
A 43-year-old man is recovering from a laparoscopic low anterior resection with loop ileostomy. What is the most appropriate method of delivering nutrition?
Normal oral intake
85
What would be a contraindication for the use of a laryngeal mask?
Being non-fasted ## Footnote Laryngeal mask airway provides poor control against reflux of gastric contents therefore is unsuitable in non fasted patients
86
How should TPN be administered?
Via a central vein e.g. subclavian as it is strongly phlebitic
87
A 45-year-old woman is admitted with acute pyelonephritis. She requires intravenous access for antibiotics and maintenance fluids as she is currently taking limited fluids due to vomiting. She is haemodynamically stable. What is the most appropriate modality of intravenous access?
20 G peripheral cannula
88
A 73-year-old man with Dukes C colonic cancer requires a long course of chemotherapy. He has poor peripheral veins. What is the most appropriate modality of intravenous access?
Hickman line
89
What is the immediate management of wound dehiscence?
Cover a large sterile swab soaked in 0.9% saline Call for senior help urgently
90
Lack of end-tidal CO2 (on capnography) in surgery indicates?
Oesophageal intubation
91
What blood products should be ordered before a cystecomy?
Cross-match 4-6 units depending on local protocols
92
What blood products should be ordered before an appendicectomy?
Group and save
93
What blood products should be ordered before an elective AAA?
Cross-match 4-6 units depending on local protocols
94
Describe the presentation of a biliary leak following an elective laparoscopic cholecystectomy
Right upper quadrant tenderness and bilious fluid in the intra-abdominal drain
95
A 48-year-old lady undergoes a redo thyroidectomy for a multinodular goitre. 24 hours post operatively she develops oculogyric crises and diffuse muscle spasm. What is the most appropriate management?
IV calcium
96
How does poor post-operative pain management increase risk of pneumonia?
Insufficient analgesia e.g. to abdomen will restrict breathing Lack of deep breathing is a risk factor for both atelectasis and respiratory tract infections
97
What is the reversal agent of midazolan?
Flumazenil
98
What anaesthetic agent agent is associated with hepatotoxicity?
Halothane
99
What anaesthetic agent has anti emetic properties?
Propofol
100
Describe the presentation of an abdominal wound infection post-surgery
Post-op fevers after a few days and can be associated with systemic signs of infection
101
What does bowel prep for colonoscopy involve?
Fasted for 24 hours before the examination Laxatives required the day before the examination
102
How many hours before surgery should patients be fasted from non-clear liquids/food?
6
103
BMI > 40. What is the ASA classification?
III
104
What guidance should be given to a patient on metformin undergoing surgery?
* OD or BD: take as normal * TDS: miss lunchtime dose * Assumes only one meal will be missed during surgery, eGFR > 60 and no contrast during procedure
105
Patient requires jaw thrust. What type of airway can you use?
Oropharyngeal tube
106
What is the ASA grade of a patient with stable, well managed asthma?
II
107
What investigation is required on a daily basis for patients with post-op ileus?
Electrolyte panel
108
Patients can drink clear fluids for up to how long before operation?
2 hours
109
What is the management of local anaesthetic toxicity?
IV 20% lipid emulsion
110
What type anaesthetic agent is contraindicated in burn/trauma patients?
Depolarising neuromuscular blockers (e.g. suxamethonium) increase the risk of hyperkalaemia in burns/trauma patients and therefore are contraindicated
111
Are CXRs routinely recommended before surgery?
No
112
What is the 'time out' stage of the WHO Checklist?
The period before the first skin incision is made
113
What is the most appropriate substance to use to clean a post-op wound?
Sterile saline
114
A patient is administered local anaesthetic at the end of an operation. The surgeon infiltrates 20ml of 2% lidocaine. How many mg of lidocaine does this amount to?
40mg ## Footnote A 2% strength liquid medicine means that 2g of the drug are dissolved in 100ml
115
Isolated fever in well patient in first 24 hours following surgery. What is the most likely diagnosis?
Physiological reaction to operation
116
Describe the presentation of post-op ileus
Ileus occurs in the few days following surgery and can cause hypovolaemia and electrolyte disturbances BEFORE nausea and vomiting becomes apparent
117
What anaesthetic is particularly useful in haemodynamically unstable patients?
Ketamine
118
When should LMWH be initiated after THR?
6-12 hours after surgery
119
How many weeks before surgery should patients stop COCP/HRT?
4 weeks before surgery
120
What is the best investigation for hyatid cysts?
CT
121
A 45-year-old woman presents with haematuria and loin pain. She has a temperature of 37 oC and is found to have a Hb 180 g/l and a creatinine of 156 umol/l. Her urine dipstick shows 3+ blood. Blood and urine cultures are negative. What is the most likely diagnosis?
Renal vein thrombosis
122
What syndrome consists of a PTEN mutation and intestinal hamartomas?
Cowden disease
123
A 28-year-old man presents with a locally advanced mucinous carcinoma of the caecum. There are scanty polyps in the remaining colon. His father died from colorectal cancer aged 34. What is the most likely underlying syndrome?
Lynch syndrome
124
Right-sided tenderness on PR exam. What is the most likely diagnosis?
Appendicitis
125
What is the annual probability of strangulation of a direct inguinal hernia?
<5%
126
What is Richter's hernia?
A rare type of hernia where only the antimesenteric border of the bowel herniates through the fascial defect Can present with strangulation without symptoms of obstruction
127
Intra-abdominal bleeding post surgery: minimal blood and haemodynamically stable. What is the management?
Conservative management with analgesia and frequent observations
128
Management of congenital inguinal hernia?
Repair ASAP
129
Management of congenital umbilical hernia?
Conservative
130
How do you differentiate between a direct and indirect inguinal hernia on examination?
* On examination, first manually reduce the hernia, then apply pressure over the deep inguinal ring and ask the patient to cough * If a hernia reappears it is more likely to be a direct inguinal hernia whereas if it does not, it is more likely to be an indirect inguinal hernia
131
What is the first-line medical management of small bowel obstruction?
IV fluids and gastric decompression, or 'drip-and-suck'
132
A 22-year-old man is admitted with severe retrosternal chest pain and recurrent episodes of dysphagia. These occur sporadically and often resolve spontaneously. On examination there are no physical abnormalities and the patient seems well. What is the most likely diagnosis?
Achalasia
133
An obese 53-year-old man presents with symptoms of recurrent retrosternal discomfort and dyspepsia. This is typically worse at night after eating a large meal. On examination there is no physical abnormality to find. What is the most likely diagnosis?
Gastro-oesophageal reflux
134
What is the next step in management for a strangulated inguinal hernia?
Proceed immediately to theatre for open repair (do NOT attempt to reduce)
135
A 6 month old boy is brought to the clinic by his mother. She is concerned that his testes are not located into the scrotum. She has noticed them only when he is in the bath, but not at any other time. What is the most likely underlying diagnosis?
Retractile testis
136
A 20-year-old male is stabbed outside a nightclub, he has a brisk haemoptysis and in the ED has a drain inserted into the left chest. This drained 750ml frank blood. He fails to improve with this intervention. He has received 4 units of blood. His CVP is now 13. What is the best definitive course of action?
Thoracotomy in theatre
137
Tongue deviates to the right following carotid endarterectomy. What nerve has been damaged?
Right hypoglossal
138
A 19-year-old student falls from a 2nd-floor window. He is persistently hypotensive. A chest x-ray shows a widened mediastinum with depression of the left main bronchus and deviation of the trachea to the right. What is the most likely injury?
Aortic rupture
139
What are the indications for thoracotomy in haemothorax?
Indications for thoracotomy in haemothorax include >1.5L blood initially or losses of >200ml per hour for >2 hours
140
Lower lobe pneumonia may present with pain in what area of the abdomen?
RUQ pain
141
A 43-year-old lady is recovering following a live donor related renal transplant. She has significant abdominal pain. Which analgesic drugs should be avoided?
NSAIDs
142
What drug can be given in complex peri-anal Crohn's?
Infliximab
143
A 63-year-old man presents with a locally unresectable gastrointestinal stromal tumour. Biopsies confirm that it is KIT positive. What drug can be given?
Imatinib
144
What form of malignancy is associated with Barretts oesophagus?
Adenocarcinoma of the oesophagus
145
A 68 year of man presents with recurrent episodes of left sided ureteric colic and haematuria. Investigations show some dilatation of the renal pelvis but the outline is irregular. What is the most likely diagnosis?
Transitional cell carcinoma
146
A 25-year-old man from the far east presents with a fever and right upper quadrant pain. As part of his investigations a CT scan shows an ill defined lesion in the right lobe of the liver. What is the most likely diagnosis?
Amoebic abscess
147
A large hyperechoic lesion in the presence of normal AFP is likely to be what?
Haemangioma
148
What are the classes of haemorrhagic shock?
* Class I (15%) - compensated * Class II (15-30%) - tachycardia * Class III (30-40%) - tachycardia, hypotension and confusion * Class IV (>40%) - LOC and severe hypotension
149
A 40-year-old woman with a history of Crohn's disease presents with abdominal pain and distension. She describes constipation for the past 4 days. What is the most likely diagnosis?
Intestinal obstruction
150
What is the first line management for hiatus hernia?
Lifestyle advice and omeprazole
151
A 23-year-old female is admitted with loin pain and a fever, she has noticed haematuria for the past week accompanied by dysuria, this was treated empirically with trimethoprim. What is the most likely diagnosis?
Pyelonephritis
152
A 28-year-old female presents with a small nodule located on the back of her neck. It is excised for cosmetic reasons and the histology report states that the lesion consists of a sebum filled lesion surrounded by the outer root sheath of a hair follicle. What is the most likely diagnosis?
Pilar cyst
153
A 56-year-old man with long standing ulcerative colitis and a DALM lesion in the rectum is admitted with jaundice. On CT scanning the liver has 3 nodules in the right lobe and 1 nodule in the left lobe. Carcinoembryonic antigen levels are elevated. What is the most likely diagnosis?
Metastatic lesion
154
A 48-year-old lady with chronic hepatitis B infection is noted to have worsening liver function tests and progressive jaundice. Her alpha feto protein levels are grossly elevated. What is the most likely diagnosis?
Hepatocellular carcinoma
155
What malignancy is associated with CA 19-9?
Cholangiocarcinoma
156
What is the most likely diagnosis?
Intestinal perforation
157
Describe the management of bilateral and reucrrent inguinal hernias
Repaired laparoscopically using a mesh
158
A 24-year-old motorist is involved in a road traffic accident in which he collides with the wall of a tunnel in a head on car crash, speed 85mph. He is wearing a seatbelt and the airbags have deployed. When rescuers arrive he is lucid and conscious and then dies suddenly. What is the most likely diagnosis?
Aortic transection
159
A 30-year-old women is involved in a road traffic accident. She is a passenger in a car involved in a head on collision with another vehicle. Her car is travelling at 60mph. She has been haemodynamically stable throughout with only minimal tachycardia. On examination she has marked abdominal tenderness and a large amount of intra abdominal fluid on CT scan. What is the most likely diagnosis?
Duodeno-jejunal flexure disruption
160
What ECG pattern is indicative of severe hyperkalaemia?
A sinusoidal ECG pattern
161
A barium swallow is arranged for a 33-year-old man who complains of persistent heartburn. What is the most likely diagnosis?
Hiatus hernia
162
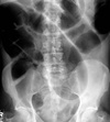
What is the most likely diagnosis?
Small bowel obstruction
163
What antibodies can be screened to monitor recurrence of thyroid cancer?
Thyroglobulin antibodies
164
What finding on FBC is present in 80-90% of people with appendicitis?
Neutrophil predominant leucocytosis
165
A 3-year-old boy is referred to the clinic with a scrotal swelling. On examination the mass does not transilluminate and it is impossible to palpate normal cord above it. What is the diagnosis?
Indirect inguinal hernia
166
A 75-year-old lady is investigated for episodes of painless haematuria. Apart from COPD from long term smoking she is otherwise well. She has no other urinary symptoms. What is the diagnosis?
Transitional cell carcinoma of the bladder
167
A 21-year-old male is admitted with a 3 month history of intermittent right iliac fossa pain. He suffers from episodic diarrhoea and has lost 2 kilos in weight. On examination he has some right iliac fossa tenderness and is febrile. What is the diagnosis?
Crohns disease
168
Name a complication of FFP transfusion
Transfusion lung injury
169
Irreducible, painful lump inferolateral to the pubic tubercle What is the diagnosis?
Strangulated femoral hernia
170
A 38-year-old lady donates her kidney to her identical twin sibling. What type of transplantation has taken place?
Isograft
171
A 53-year-old man with severe angina undergoes a coronary artery bypass procedure and his long saphenous vein is used as a bypass conduit. What type. of transplant has taken place?
Autograft
172
A 38-year-old lady donates her kidney to her niece. What type of transplantation has taken place?
Allograft
173
What is an incarcerated hernia?
A hernia that cannot be reduced (typically painless)
174
A 19-year-old woman who is 39 weeks pregnant goes into labour. The labour is prolonged and she is found to have an undiagnosed breech baby. What is the most appropriate incision?
Pfannenstiel's
175
A 49-year-old woman presents with jaundice and abdominal pain. She is haemodynamically unstable. An USS shows a dilated common bile duct and gallstones in the gallbladder. What is the most appropriate incision?
Kocher's
176
A 42-year-old man with a history of alcohol abuse is diagnosed with pancreatic cancer and requires a Whipple's resection. What is the most appropriate incision?
Rooftop or midline
177
What are the most common cause of small bowel obstruction?
Adhesions
178
A 43-year-old man has been troubled with dysphagia for many years. He is known to have achalasia and has had numerous dilatations. Over the past 6 weeks his dysphagia has worsened. At endoscopy a friable mass is noted in the oesophagus. What is the most likely diagnosis?
Squamous cell carcinoma
179
A 19-year-old female is involved in an athletics event. She has just completed the high jump when she suddenly develops severe back pain and weakness affecting both her legs. on examination she has a prominent sacrum and her lower back is painful. What is the most likely diagnosis?
Spondylolisthesis
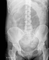
180
Other than small bowel obstruction, what other finding is shown?
Free air in the abdomen
181
What is the Parkland formula?
The Parkland formula is used to calculate the amount of fluid to give in the first 24 hours after burns, with half being given in the first 8 hours 4ml x % body surface area x weight (kg) = ml of Hartmann's to be given in first 24 hours
182
Biliary obstruction but no jaundice. Where is the obstruction?
Cystic duct or gallbladder
183
What blood test may be useful for late presentations of pancreatitis (> 24 hours)?
Lipase - has a longer half-life
184
Isolated hyperbilirubinaemia on LFTs. What do you do next?
FBC - differentiates between haemolysis or Gilbert's syndrome
185
What is the investigation of choice for suspected Boerhaave's syndrome?
CT contrast swallow
186
Pigmented gallstones are associated with which condition?
Sickle cell anaemia
187
True or false: biliary colic is associated with normal LFTs
True
188
What is the diagnosis?
Subcutaneous (surgical) emphysema (known complication of laparoscopic surgery)
189
What is the treatment of choice for biliary colic?
Elective laparoscopic cholecystectomy
190
Name 4 absolute contraindications to laparoscopic surgery
* Haemodynamic instability/shock * Raised intracranial pressure * Acute intestinal obstruction with dilated * Bowel loops (e.g. > 4 cm) uncorrected coagulopathy
191
Consider bariatric surgery as a first-line option for adults with a BMI of?
Over 50
192
A 22-year-old man returns to the UK from holiday in India. He presents with painless jaundice. On examination he is not deeply jaundiced and there is no organomegaly. What is the most likely diagnosis?
Hepatitis A
193
A 32-year-old man who has suffered from Crohns disease for many years presents with intermittent jaundice. When it occurs it is obstructive in nature. It then usually resolves spontaneously. What is the most likely diagnosis?
Bile duct stones ## Footnote Bile salts are absorbed in the terminal ileum. When this process is impaired as in Crohns the patient may develop gallstones, if these pass into the CBD then obstructive jaundice will result.
194
What is Reynold's pentad?
Charcot's triad for ascending cholangitis (RUQ pain, fever and jaundice) with the addition of confusion and hypotension - indicates severe illness
195
What is the preferred diagnostic test for chronic pancreatitis?
CT pancreas
196
What is the most common complication of ERCP?
Acute pancreatitis
197
What is the intervention of choice in patients with malignant distal obstructive jaundice due to unresectable pancreatic carcinoma?
Biliary stenting
198
A raised amylase and a cystic lesion following pancreatitis are most likely to represent?
A pancreatic pseudocyst
199
What is the preferred management of pancreatic pseudocyst?
Conservative
200
What can cause ongoing jaundice and pain after cholecystectomy?
Common bile duct stone
201
What anti-epileptic medication can cause pancreatitis?
Sodium valproate
202
Name a useful test of exocrine function in chronic pancreatits
Faecal elastase
203
Name the most sensitive blood test for diagnosis of acute pancreatitis
Serum lipase
204
True or false: liver function tests are typically normal in patients with acute cholecystitis
True
205
What is the Modified Glasgow Score?
Calculated to predict the severity of pancreatitis
206
A CT chest, abdomen, and pelvis shows mural thickening of the colon and the presence of pericolic fat stranding in the sigmoid colon. What is the diagnosis?
Diverticular disease
207
What lifestyle advice can help diverticular disease?
Increased dietary fibre intake
208
Name a 'last resort' option for anal fissures
Sphincterotomy
209
A 19-year-old man presents with bright red rectal bleeding. He has a longstanding history of irritable bowel syndrome. At flexible sigmoidoscopy a lesion is biopsied and reported as showing 'fibromuscular obliteration'. What is the most likely diagnosis?
Solitary rectal ulcer syndrome
210
What is the most likely diagnosis?
Caecal volvulus
211
What is the purpose of a loop ileostomy?
Used to defunction the colon to protect an anastomosis * Involves bringing a loop of the ileum to the surface and opening it, creating two visible openings * An ileostomy bag is attached to this, allowing drainage of the bowel of faeces * The faeces therefore do not travel further down the bowel towards the new anastomosis in the ascending colon, reducing the likelihood of complications such as an anastomotic leak
212
What tumour marker can be used to monitor patients with colorectal cancer?
Carcinoembryonic antigen
213
Severe rectal Crohns that has developed complications such as haemorrhage and multiple fistulae is usually best managed with?
Proctectomy
214
A 22-year-old man presents with his first presentation of ulcerative colitis. Despite aggressive medical management with steroids, azathioprine and infliximab his symptoms remain unchanged and he has developed a megacolon. What is the most appropriate surgical modality?
Sub total colectomy
215
A 22-year-old man has a long history of ulcerative colitis. His symptoms are well controlled with steroids. However, attempts at steroid weaning and use of steroid sparing drugs have repeatedly failed. He wishes to avoid a permanent stoma. What is the most appropriate surgical modality?
Panproctocolectomy and ileoanal pouch
216
What is the surgery of choice for distal colon cancers?
Loop colostomy
217
Describe the management of an acute anal fissure (< 1 week)
Soften stool, dietary fibre, analgesia and topical anaesthetic cream if necessary
218
What is the most likely diagnosis?
Sigmoid volvulus
219
A 68-year-old man is found to have a tumour 1cm from the anal sphincter. No evidence of metastases are found. What is the most appropriate management?
Abdomino-perineal excision of the colon and rectum
220
A 64-year-old lady is found to have a rectal tumour. This was found on colonoscopy after she tested positive for faecal-occult bloods. There are no signs of metastases on staging. What is the most appropriate management?
Anterior resection
221
A 65-year-old patient is admitted with acute abdominal pain. An erect CXR shows free air. At laparotomy a perforated sigmoid cancer is found. There is no evidence of metastatic disease. What is the most appropriate management?
Hartmann's procedure
222
Which type of stoma has the stoma flush to the skin and why?
A colostomy is flush to the skin, as the enzymes in the colon are less alkaline than those in the small intestine and so are less damaging to the skin
223
Which type of stoma is spouted from the skin and why?
An ileostomy is spouted to prevent the skin from coming into contact with the enzymes in the small intestine
224
Describe the Dukes' classification for colorectal cancer
A - confined to mucosa B - invading bowel wall C- lymph node metastases D - distant metastases
225
What is the most appropriate surgical management for a mid-rectal tumour?
Anterior resection
226
What is the most appropriate management plan for rectal cancer on the anal verge?
Abdomino-perineal excision of rectum
227
What is the strongest risk factor for anal cancer?
HPV infection
228
Describe the presentation of thrombosed haemorrhoids
Anorectal pain and a tender lump on the anal margin
229
Describe the management of thrombosed haemorrhoids
Advise analgesia and stool softeners, suggest ice packs around the area
230
What is Hartmann's procedure?
Sigmoid colectomy and formation of end stoma
231
What is a gastrografin enema used for?
Identify leads in a colorectal anastomosis
232
What is the most commonly affected site in ischaemic colitis?
The splenic flexure
233
Diverticulitis symptoms + pneumaturia or faecaluria What is the most likely diagnosis?
Colovesical fistula
234
What are grade I haemorrhoids?
Grade I haemorrhoids are those which do not prolapse outside the anal canal
235
What are grade II haemorrhoids?
Grade II haemorrhoids are those that prolapse during defecation but reduce spontaneously afterwards
236
What are grade III haemorrhoids?
Grade III refers to haemorrhoids that prolapse during bowel movements and require manual reduction
237
What are grade IV haemorrhoids?
These are haemorrhoids that are permanently prolapsed and cannot be manually reduced back into the anal canal
238
A 58-year-old man with a tumour of the splenic flexure that requires resection. What is the most appropriate resection?
Left hemicolectomy
239
Describe the stoma which would result from an emergency subtotal colectomy with stoma formation
An ileostomy is usually in the right iliac fossa, spouted and has a liquid output
240
Describe the management of acute diverticulitis
Patients with diverticulitis flares can be managed with oral antibiotics at home. If they do not improve within 72 hours, admission to hospital for IV ceftriaxone + metronidazole is indicated
241
Patient >= 60 years old with new iron-deficiency anaemia What is the next step in management?
Urgent colorectal cancer pathway referral
242
A 38-year-old lady presents with symptoms of obstructed defecation that date back to the birth of her second child by use of ventouse. She passes mucous and suffers from pelvic pain. Digital rectal examination and barium enema are normal. What is the most likely diagnosis?
Rectal intussusception
243
Abdominal distension, absence of passing flatus or stool, late onset/no vomiting What is the most likely diagnosis?
Large bowel obstruction
244
Bilious vomiting for a 1 day old neonate is likely due to what diagnosis?
Intestinal atresia (duodenal atresia, jejunal atresia, or ileal atresia)
245
A 2-year-old has a history of rectal bleeding. The parents notice that post defecation, a cherry red lesion is present at the anal verge. What is the most likely diagnosis?
Juvenile polyps
246
Neonatal bilious vomiting with a double bubble sign on AXR What is the most likely diagnosis?
Duodenal atresia
247
Screening for an abdominal aortic aneurysm consists of a single abdominal ultrasound for males of what age?
65
248
A 24-year-old lady from Western India presents with symptoms of lethargy and dizziness, worse on turning her head. On examination her systolic blood pressure is 176/128. Her pulses are impalpable at all peripheral sites. Auscultation of her chest reveals a systolic heart murmur. What is the most likely diagnosis?
Takayasu's arteritis
249
. A 48-year-old man notices that he is becoming increasingly dizzy when he plays squash, in addition he has also developed cramping pain in his left arm. One day he is inflating his car tyre with a hand held pump, he collapses and is brought to hospital. What is the most likely diagnosis?
Subclavian steal syndrome
250
What is subclavian steal syndrome?
* Subclavian steal syndrome is associated with a stenosis or occlusion of the subclavian artery, proximal to the origin of the vertebral artery * As a result the increased metabolic needs of the arm then cause retrograde flow and symptoms of CNS vascular insufficiency.
251
Patient with suspected long saphenous vein superficial thrombophlebitis. What is the most appropriate next step in management?
Urgent uIltrasound scan to exclude an underlying DVT
252
Patient with peripheral arterial disease with critical limb ischaemia Imaging reveals short segment stenosis (< 10cm) What is the most appropriate management?
Endovascular revascularization
253
A 66-year-old female has long standing mixed arteriovenous ulcers of the lower leg. Over the past 6 months one of the ulcers has become much worse and despite a number of different topical therapies is increasing in size. What is the most likely diagnosis?
Marjolin's ulcer
254
What is a Marjolin's ulcer?
Marjolin's ulcer is a squamous cell carcinoma occurring at sites of chronic inflammation or previous injury
255
What does an ABPI > 1.2 indicate?
* May indicate calcified, stiff arteries * This may be seen with advanced age or PAD
256
What does an ABPI 1.0-1.2 indicate?
Normal
257
What does an ABPI < 0.9 indicate?
Likely PAD
258
What does an ABPI of < 0.5 indicate?
Severe disease which should be referred urgently
259
Patient with peripheral arterial disease with critical limb ischaemia Imaging reveals long-segment or multifocal lesions What is the most appropriate management?
Open surgical revascularisation
260
What is the first line managemnet for varicose veins?
Graduated compressions stockings
261
What is the most likely diagnosis?
Chronic venous insufficiency Image shows lipodermatosclerosis
262
What is the first line management for chronic venous insufficiency?
Prescribe an emollient and give graduated compression stockings
263
What is the first line management for suspected acute limb ischaemia?
Handheld arterial Doppler
264
What medications should a patient with PAD be prescribed?
Clopidogrel and atorvastatin (high dose)
265
What is the investigation of choice for varicose veins/chronic venous disease?
Venous duplex ultrasound
266
What blood products should be ordered in suspected AAA?
Crossmatch 6 units of blood
267
What findings on venous duplex ultrasound are associated with varicose veins/chronic venous disease?
Retrograde venous flow
268
When should a patient with varicose veins be referred to secondary care for treatment?
* Active or healed venous leg ulcer * Symptoms associated with varicose veins such as 'heavy' or 'aching' legs * Skin changes associated with chronic venous insufficiency such as venous eczema or haemosiderin deposition * Superficial vein thrombosis
269
What is the management of ruptured AAA?
Patients with a suspected ruptured AAA require an immediate vacular review with a view to emergency surgical repair
270
Describe the presentation of acute limb-threatening ischaemia
Acute limb-threatening ischaemia presents with the 6 P's: pale, pulseless, pain, paralysis, paraesthesia, perishingly cold
271
What drug may be used in patients with stress incontinence who don't respond to pelvic floor muscle exercises and decline surgical intervention?
Duloxetine
272
A 38-year-old lady who smokes heavily presents with recurrent episodes of infection in the right breast. On examination, she has an indurated area at the lateral aspect of the nipple areolar complex. Imaging shows no mass lesions. What is the most likely diagnosis?
Periductal mastitis
273
What is the treatment for periductal mastitis?
Co-amoxiclav
274
What is the most common type of breast cancer?
Invasive ductal carcinoma (no special type)
275
A 19-year-old female presents to the GP with her mother, she is reporting a growing breast lump that is causing her distress. You offer to examine her and ask if she would like a chaperone. She says that she doesn't want a stranger there so would rather have her mum as the chaperone, what do you do?
Explain that family members cannot be used as chaperones and reoffer the patient someone at the practice to chaperone
276
What is the most common complication of axillary node clearance for breast cancer?
Arm lymphedema and functional arm impairment
277
Describe the breast cancer screening programme in the UK
Breast cancer screening is offered to all women aged 50-70 years (mammogram every 3 years)
278
Patient presents with a solitary breast lesion under 4cm in diameter. There is lymph node involvement. What is the most appropriate management option?
Neoadjuvant FEC-D chemotherapy followed by a wide local excision and whole breast radiotherapy
279
What is the first line treatment for lactational mastitis?
Continue breastfeeding
280
Describe the clinical features of inflammatory breast cancer
* Progressive, erythema and oedema of the breast in the absence signs of infection such as fever, discharge or elevated WCC and CRP * Elevated CA 15-3
281
A 38-year-old lady has undergone a mastectomy and axillary node clearance for invasive ductal carcinoma. The histology report shows a completely excised 3.5cm lesion which is grade 3. Two of the axillary lymph nodes contain metastatic disease. The tumour is oestrogen receptor negative. What is the most appropriate further management option?
Cytotoxic chemotherapy ## Footnote The combination of a grade 3 tumour and axillary nodal metastasis in a young female would attract a recommendation for chemotherapy
282
A 53-year-old lady presents with a creamy nipple discharge. On examination she has green discharge originating from multiple ducts and associated nipple inversion. What is the most likely diagnosis?
Duct ectasia
283
Patient has breast cancer with lymph node mets. She doesn't want surgery to the axilla. What non-surgical option is available to manage the patient's axillary metastases?
Axillary radiotherapy
284
An obese woman presents with an irregular lump on the lateral aspect of her right breast associated with skin tethering. Biopsy excludes a malignant cause. What is the most likely diagnosis?
Fat necrosis
285
Patient with admitted intracranial bleed becomes unresponsive What is the most important investigation?
Urgent CT scan to check for hydrocephalus
286
A 25-year-old cyclist is hit by a bus traveling at 30mph. He was not wearing a helmet. He arrives with a GCS of 3/15 and is intubated. A CT scan shows evidence of cerebral contusion but no localising clinical signs are present. What is the most appropriate course of action?
Insertion of ICP monitoring device
287
Patient complains of a sudden onset severe occipital headache. CT reveals blood in the sulci, fissures, and basal cisterns. What is the most likely diagnosis?
Subarachnoid haemorrhage
288
What are the indications for a CT head within 1 hour following a head injury?
* GCS < 13 on initial assessment * GCS < 15 at 2 hours post-injury * Suspected open or depressed skull fracture * Any sign of basal skull fracture (haemotympanum, 'panda' eyes, cerebrospinal fluid leakage from the ear or nose, Battle's sign). * Post-traumatic seizure * Focal neurological deficit * More than 1 episode of vomiting
289
What are the indications for a CT head within 8 hours following head trauma?
* Age 65 years or older * Any history of bleeding or clotting disorders including anticogulants * Dangerous mechanism of injury (a pedestrian or cyclist struck by a motor vehicle, an occupant ejected from a motor vehicle or a fall from a height of greater than 1 metre or 5 stairs) * More than 30 minutes' retrograde amnesia of events immediately before the head injury
290
What is the most sensitive scan to diagnose diffuse axonal injury?
MRI brain
291
What is the Cushing's reflex?
Hypertension and bradycardia Helps save brain tissues during periods of poor perfusion Late sign of increasing intracranial pressure and indicates that brainstem herniation is imminent
292
A 22-year-old mechanic is involved in a fight. He is hit on the head with a hammer. On examination he had clinical evidence of an open depressed skull fracture and a GCS of 6/15. What is the best initial management?
Urgent neurosurgical review (even before CT head performed) ## Footnote A patient with GCS <8 or = to 8 needs urgent neurosurgical review. Especially when an open fracture is present.
293
Which pathology can be seen in the CT scan?
Left sided subdural haemorrhage ## Footnote Hyperattenuation in a crescent shape on the left side of the CT scan, indicating blood
294
What practitioners are able to certify brain death?
Brain death testing should be undertaken by two separate doctors on separate occasions
295
Subarachnoid haemorrhage is suspected but a CT head done within 6 hours of symptom onset is normal. What is the most appropriate next step?
Consider alternative diagnosis (don't do lumbar puncture)
296
A 21-year-old man is hit on the left side of his face during a rugby game. He complains of double vision when both eyes are open, and it is painful to open his mouth. Wha tis the most likely diagnosis?
Depressed fracture of the zygoma