What’s Presbycusis?
Which inflammatory diseases may lead to sensorineural hearing loss?
What drug classes (2) may cause ototoxicity and lead to sensorineural hearing loss?
(2) causes of conductive hearing loss re to external ear
Cause of conductive hearing loss related to the tympanic membrane
perforation

Causes of conductive hearing loss related to middle ear
What to ask in HPC re to hearing loss?

What to ask in PMH and Med Hx re to hearing loss?

Anatomy of tympanic membrane

What’s the importance of the wax in the attic?

It could be cholesteatoma

Pathophysiology of cholesteatoma

Risk factors for cholesteatoma (2)
Symptoms of cholesteatoma
Main features
Other features are determined by local invasion:
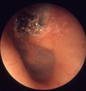
What’s seen on otoscopy in cholesteatoma?
‘attic crust’ - seen in the uppermost part of the ear drum

Principles of tuning fork tests

Management of sudden SN hearing loss
Steroids
Ix and management of asymmetrical SN hearing loss
Management of symmetrical SN hearing loss
hearing aids
Management of Conductive Hearing Loss
What may hearing loss in children lead to?

Management of Cholesteatoma
patients are referred to ENT for consideration of surgical removal
Congenital causes of hearing loss (4)
What does Newborn Hearing Screening Programme consist of?
If the unclear response on otoacoustic emissions test → auditory brainstem response
Pathophysiology and management of glue ear
