surgery week 7 Flashcards

(6 cards)

1
Q

22M intoxicated and fell

difficult to asses

boggy swelling to frontal occipital areas

What is the most appropriate investigation

A

CT brain

How well did you know this?
1
Not at all
2
3
4
5
Perfectly
2
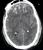
Q

what does this ct show

A

contusion to the front of the brain

white spots

traumatic subarachnoid are the white streaks in the middle of the brain

How well did you know this?
1
Not at all
2
3
4
5
Perfectly
3
Q

what fracture results in the racoon eyes

A

skull base fractures

How well did you know this?
1
Not at all
2
3
4
5
Perfectly
4
Q

What is the monro kellie doctorine

A

increase the volume of either brain, CSF and blood

this then means that you get one of the others might drop

How well did you know this?
1
Not at all
2
3
4
5
Perfectly
5
Q

how do you treat ICP

A
  1. put drain in
  2. sit them up (increase venous return)
  3. make sure they are not constipated (increased abdomen-)
  4. make sure CO2 is cleared
  5. sedate the patient- reduce the demand of brain
  6. hypertonic saline -
How well did you know this?
1
Not at all
2
3
4
5
Perfectly
6
Q
A
How well did you know this?
1
Not at all
2
3
4
5
Perfectly