What is the most important streptococcal infection of pigs that is usually seen in nursing or recently weaned piglets?
S.suis
Type II most prevalent & virulent
if you see swollen joints, examine the mother…
—> if they’re not producing milk, think S.suis
What are the two most common places S.suis might “seed” ?
joints & brain
*polyarthritis, acute meningitis
*if after weaning, consider*
Edema Dz when acute meningitis present*
How do we treat S.suis infections?
Injectable antibiotics:
penicillin, ampicillin, tiamulin, ceftiofur
in high morbidity situations, water & feed intake antibiotics…
What is the principle lesion in affected muscles d/t Splay Leg?
Myofibrillar hypoplasia
related in part to delayed development, and in part to degenerative
change
You’re called out to a farm where a new litter of piglets have skin lesions over the back, loin, and thighs. The farmer tells you that the last litter this sow had - most were aborted. What is your diagnosis? What commonly accompanies this condition?
Epitheliogenesis Imperfecta
commonly acc’d by hydroureter & hydronephrosis
How do we treat Erysipelas in grower/finisher pigs?
Penicillin or antiserum
A small farm with growing/adult pigs are presenting with swollen joints, arthritis, and lameness. When you go out on the call, you notice 2 of them have small, inconspicuous, and erythematous lesions on their flanks. The farmer dismisses the lesions as allergies. What do you think?
Erysipelas rhusiopathiae
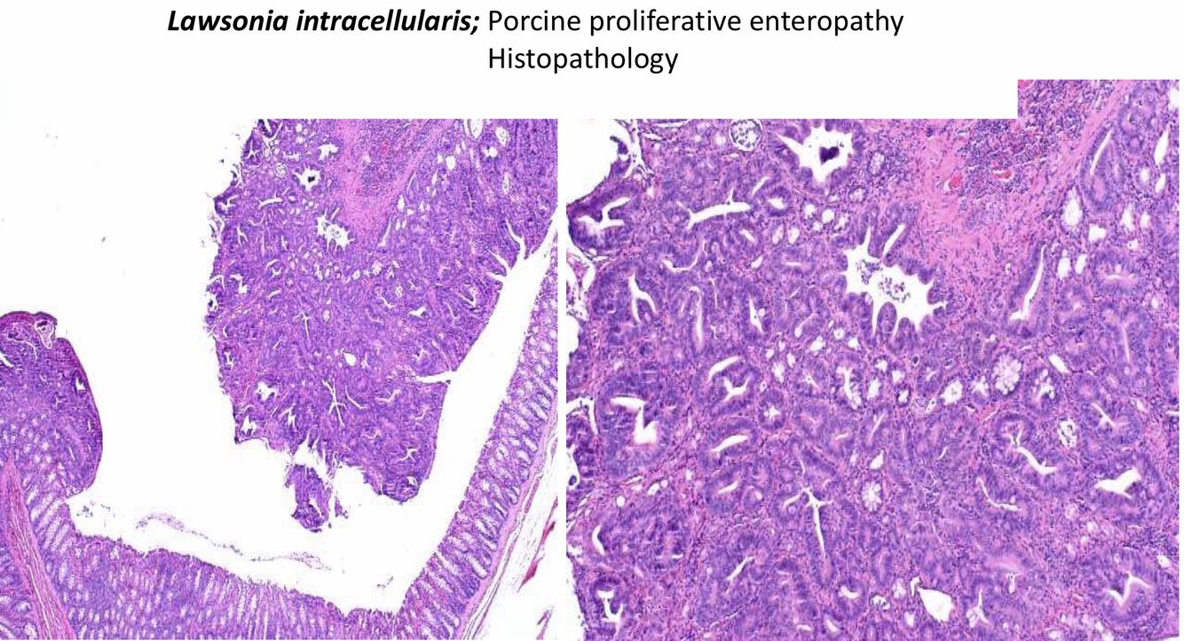
What is the treatment of choice for Porcine Proliferative Enteritis (Ileitis, intestinal adenomatosis)?

Tylosin
{but also tetracyclines, lincomycin, tiamulin, & carbadox}

What causes Atrophic Rhinitis?
Toxigenic strains of
Bordatella bronchiseptica {first; predisposes to Pasteurella}
& Pasteurella multocida {primarily type D; produces potent endotoxin}
What infectious disease of pigs is often acute and characterized by various combinations of meningoencephalitis, polyserositis, and polyarthritis (as well as a contributor to bacterial pneumonia)?
Glasser’s Dz (H.parasuis)
*most important differential: S.suis*
What are the important features of Porcine Circovirus Associated dz?
What systems does PRRS impair?
Reproductive & Respiratory
What form of Lawsonia hyperplasia of crypt enterocytes is most commonly seen in grower pigs?
Chronic, necrotic form
What is the most common signalment for pigs with PMWS/PCV type II?
nursery & growing pigs
What clinical signs would you expect to see in breeding age gilts, sows, & boars suffering from PRRS?
anorexia, fever, lethargy, depression, respiratory distress, mild cyanosis of ears/abdomen, late-term abortions, stillborn/weak/mummified fetuses, dec. semen quality in boars
You’re on a pig farm examining young growers and finishers. Most of them seem depressed and lethargic, you find them to be pyrexic, and a few of them have a sneeze that prefaces an exploratory dyspnea. What’s your top differential?
PRRS
Concerning FMD transmission, what type of host do sheep & goats serve as?
Maintenance host;
carry FMD in pharyngeal tissue for 4-6 mo
Concerning FMD, what type of host do pigs serve as?
Amplifier; but are not carriers!
Concerning FMD transmission, what type of host do cattle serve as?
indicator host;
carry FMD in pharyngeal tissue for 6-24 mo
When you see pigs housed, crowded/huddled in a corner, cyanotic, signs of skin hemorrhage, and fever, what are you thinking?
classical swine fever
What suids are reservoirs for ASF?
warthogs
What disease is clinically similar to TGE, but unrelated, and a different virus characterized by severe diarrhea and high morbidity?
Porcine Epidemic Diarrhea
(Coronavirus)
What condition is zinc-responsive dermatitis usu. observed in 2-4mo swine, and is a differential for sarcopti mange and greasy pig disease?
Paraketosis