Système digestif Flashcards

(22 cards)

1
Q

Identifie les parties du sytème digestif!

A
How well did you know this?
1
Not at all
2
3
4
5
Perfectly
2
Q

Identifie les parties de la jonctions estomac/duodénum/pancréas/foie!

A
How well did you know this?
1
Not at all
2
3
4
5
Perfectly
3
Q

Identifie la structure de l’intestin grêle!

A
How well did you know this?
1
Not at all
2
3
4
5
Perfectly
4
Q

Identifie les parties de l’intestin grêle

A
How well did you know this?
1
Not at all
2
3
4
5
Perfectly
5
Q

Quel est cette structure?

A

Pli circulaire

How well did you know this?
1
Not at all
2
3
4
5
Perfectly
6
Q

Qu’est-ce que cette lame représente et identifie les parties?

A

L’intestin grêle et ses trois couches

How well did you know this?
1
Not at all
2
3
4
5
Perfectly
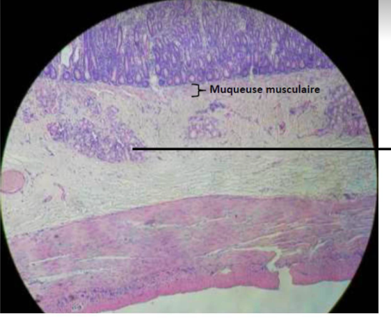
7
Q

Qu’est-ce que cette lame représente et identifie les parties?

A

L’intestin grêle

How well did you know this?
1
Not at all
2
3
4
5
Perfectly
8
Q

Qu’est-ce que cette lame représente et identifie les structures

A

Intestin grêle

How well did you know this?
1
Not at all
2
3
4
5
Perfectly
9
Q

Qu’est-ce que ces lames représentent et identifie les structures!

A

Intestin grêle

How well did you know this?
1
Not at all
2
3
4
5
Perfectly
10
Q

Identifie les vaisseaux faisant partie du trajet du sang dans le système digestif!

A
How well did you know this?
1
Not at all
2
3
4
5
Perfectly
11
Q

Identifie les artères associées au tube digestif

A
How well did you know this?
1
Not at all
2
3
4
5
Perfectly
12
Q

Identifie les artères

A
How well did you know this?
1
Not at all
2
3
4
5
Perfectly
13
Q

Identifie les veines associées au tube digestif

A
How well did you know this?
1
Not at all
2
3
4
5
Perfectly
14
Q

Nommer dans l’ordre les vaisseaux sanguins empruntés par les molécules digérées et absorbées, du capillaire intestinal au coeur et à l’ensemble de l’organisme?

A
Capillaires
Veines mésentériques supérieure et inférieure 
Veine porte-hépatique
Sinusoïdes du foie 
Veine hépatique 
Veine cave inférieure 
Coeur
How well did you know this?
1
Not at all
2
3
4
5
Perfectly
15
Q

Nommer dans l’ordre les vaisseaux lymphatiques empruntés par les molécules digérées et absorbées, du capillaire lymphatique au coeur et à l’ensemble de l’organisme!

A
Chylifères 
Vaisseaux lymphatiques 
Conduit thoracique 
Veine sous-clavière gauche 
Veine brachiocéphalique gauche 
Veine cave supérieure 
Coeur
How well did you know this?
1
Not at all
2
3
4
5
Perfectly
16
Q

Quels sont les 4 tuniques qui forment la paroi du tube digestif?

A

1) Muqueuse
a) Vilosités
- épithélium
- chorion (lamina propria)
- muscularis mucosae
b) Glandes intestinales

2) sous-muqueuse
- Glandes de la sous-muqueuse
- Plexus sous-muqueux

3) musculeuse
- Fibres musculaires circulaires
- Plexus myentérique
- FIbres musculaires longitudinales

4) séreuse
- Tissu conjonctif
- Épithélium

17
Q

Quelles structures du tube digestif les artères mésentériques supérieure et inférieure irriguent-elles?

18
Q

Par quelles veines les molécules nutritives passent des intestins au foie?

A

1) Capillaires mésentériques
2) Veines mésentériques supérieure et inférieure
3) Veine porte-hépatique
4) sinusoïdes du foie (capillaires hépatiques)

19
Q

Quel est le trajet du sang qui passe par les intestins et qui revient au coeur?

A

1) Coeur
2) Aorte
3) Artères mésentériques sup ou inf
4) Capillaires mésentériques
5) Veines mésentériques
6) Veine porte-hépatique
7) Sinusoïde du foie
8) Veine hépatique
9) Veine cave inférieure
10) oreillette droite
11) Ventricule droit
12) tronc et artère pulmonaire
13) Capillaires pulmonaire
14) Veines pulmonaire
15) oreillette gauche
16) ventricule gauche
17) Aorte
18) Artères coronaires

20
Q

Décrit le trajet dans les canaux lymphatiques!

A

1) Chylifères
2) Vaisseaux lymphatiques
3) Conduit thoracique
4) Veine sous-clavière gauche
5) Veine brachiocéphalique gauche
6) Veine cave supérieure
7) Oreillette droite
8) Ventricule droit
9) Tronc et artères pulmonaires
10) Capillaires pulmonaires
11) Veines pulmonaires
12) Oreillette gauche
13) Ventricule gauche
14) Aorte
15) Artères coronaires

21
Q

Identifie les glandes salivaires du foetus du porc!

22
Q

Identifie les organes digestifs du foetus de porc!