système nerveux Flashcards

(53 cards)

1
Q

vésicule synaptique? endoncytose? coeur dense?

A

contient un neurotransmetteur endo= pour être recyclé en synaptique coeur= contient neuropeptide

How well did you know this?
1
Not at all
2
3
4
5
Perfectly
2
Q

le système nerveux en 3 points c’est

A

○ Récepteur d’informations è ○ Centre de stockage et d’analyse des informations ○ Des réponses motrices adaptées et coordonnées

How well did you know this?
1
Not at all
2
3
4
5
Perfectly
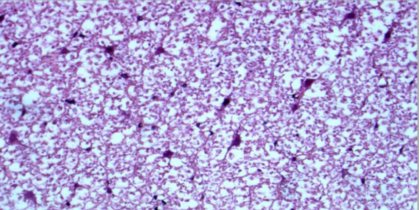
3
Q

dans cette photo , quest ce que le blanc désigne

A

que les axones sont myélinisé

( myéline est lipidique donc pas de coloration au microscope)

How well did you know this?
1
Not at all
2
3
4
5
Perfectly
4
Q

ou se produit synthèse de neurotransmetteur

A

corps cellulaire de l aneurone

How well did you know this?
1
Not at all
2
3
4
5
Perfectly
5
Q

Comment un neurotransetteur est libéré? processus

A

après une dépolarisation vésicule synaptique libère, dans la fente synaptique, leur neurotransmetteur par exocytose

How well did you know this?
1
Not at all
2
3
4
5
Perfectly
6
Q

ou retrouve -ton les cellules satellite

A

entourant corps cellulaire des neurones de ganglions

How well did you know this?
1
Not at all
2
3
4
5
Perfectly
7
Q

dans snp cellules gliales?

A

cellules satellite cellule de shwann

How well did you know this?
1
Not at all
2
3
4
5
Perfectly
8
Q

que contient cytoplasme de microglie

A

bcp lysosomes et phagosomes

How well did you know this?
1
Not at all
2
3
4
5
Perfectly
9
Q

Quel cellule est l’analogue des cellule de shwann

principales différences?

A

oligodendrocyte dans snc

cellule de shwann= 1 cellule pour 1 partie axone

présence de noeud de ranvier

How well did you know this?
1
Not at all
2
3
4
5
Perfectly
10
Q

qu’est ce qu’un noeud de ranvier?

A

sur un axone

entre myéline dans snp

How well did you know this?
1
Not at all
2
3
4
5
Perfectly
11
Q
A
How well did you know this?
1
Not at all
2
3
4
5
Perfectly
12
Q

deux groupes de cellules

A

neurones cellules gliales

How well did you know this?
1
Not at all
2
3
4
5
Perfectly
13
Q

Est-ce grave si 1 oligodendroccyte a un problème ? pourquoi

A

OUI car 1 oligodendrocyte a capacité de myélinisé plusieurs axones donc plusieurs axones sont touchés

How well did you know this?
1
Not at all
2
3
4
5
Perfectly
14
Q

fonction primaire des épendymocytes

A

circulation du liquide céphalo-rachidien

How well did you know this?
1
Not at all
2
3
4
5
Perfectly
15
Q

donne cellules gliales au niveau du snc

A

astocyte épendymocyte oligodendrocyte microgliocyte

How well did you know this?
1
Not at all
2
3
4
5
Perfectly
16
Q

explique théorie qui justifie fait qu’on manque pas de vésicule synaptique

A

des vésicules d’endocytose se reformme par la membrane cytoplasmique et vont être recyclé pour devenir des vésicule synaptique

How well did you know this?
1
Not at all
2
3
4
5
Perfectly
17
Q

3 différente parti des méninge et leur caractéristique

A

dure-mère: coller boite cranienne

arachnoide: contient liquide céphalo rachidien

pie-mère: fine couche coller encéphale

How well did you know this?
1
Not at all
2
3
4
5
Perfectly
18
Q
A
How well did you know this?
1
Not at all
2
3
4
5
Perfectly
19
Q

De quel type de tissu est fait les méninge

A

tissu conjonctif fibreux

How well did you know this?
1
Not at all
2
3
4
5
Perfectly
20
Q

Quelle cellule gliale forme des apieds vasculaire par exemple

A

astrocyte

How well did you know this?
1
Not at all
2
3
4
5
Perfectly
21
Q
A
How well did you know this?
1
Not at all
2
3
4
5
Perfectly
22
Q

v/f les terminaisons synaptique contiennent , en plus des vésicules, des ribosomes et un appareil de golgi

23
Q

3 fonctions du liquide céphalo rachidien

A

amortir/encaisser choc

fonction immunologique

ramasse déchets du cerveau et évacue

24
Q

dans le SNC donne deux zones principales

A

substance grise : corps cellulaire (neurone) cellules gliales Substance blanche : axones cellules gliales

25
Quel cellule gliale a un rôle important dans la défense immunitaire ?
microglie
26
donne fonction première des cellule satellite? Nouvelle recherche disent quoi?
Protection pourrait intervenir dans la synthèse de neurotransmetteur
27
décrit un peu épithélium des épendymocytes
cubique ou prismatique présence de microvillosité et cils PAS DE MEMBRANE BASALE (role joué par pieds astrocytaires)
28
comment , dans le snc, une gaine de myéline peut-elle se formé
, les oligodendrocyte peuvent venir entourer l'axone avec leur membrane cytoplasmique
29
Décrit un peu deux types d'astrocytes
Autour des vaisseaux sanguins ■ Astrocytes ont des prolongements → au bout des prolongements ce sont les pieds vasculaires ■ Pieds vasculaires entourent les vaisseaux sanguins → pour éviter échange entre vaisseaux sanguins et encéphale ○ Type 2 ■ Autour des corps cellulaires et des fentes synaptiques et entre la pie-mère et le système nerveux central ■ Pieds des astrocytes sont appuyés sur la pie-mère → plus de protection
30
fonction principale des plexus choroides?
synthèse du liquide céphalo-rachidien
31
les axones ne sont pas vascularisé v/f
faux
32
un regroupement d'Axone
fascicule
33
tossu qui entoure un axone
endonèvre
34
l'épinèvre est....
tissu conjonctif dense autour d'un nerf en entier
35
un regroupement d'un fascicule donne
un nerf
36
oû se trouve les corps cellulaire des neurone d'ordre deux dans le système sympathique
chaîne sympathique (gagnlion sympathique
37
c'est quoi
plexus nerveux (comme un ganglion mais pas de capsule de tissu conjonctif
38
v/f le système nerveux ssomatique nécéssite 2 neurones : 1 myélinisé une non myélinisé
faux 1 neurone myélinisé
39
particularité du corps cellulaire de la deuxième neurone dans le sytème nerveux parasympathique
le corps est sur ou dans l'organe effecteur
40
dans le système nerveux sympathique, caractéristique des axones
axone 1 : myélinisé axone2 : non myélinisé
41
Par ou entre l'axone d'un neurone sensitif au niveau des doight et ouu est-ce que sa terminaison synaptique est
entre par la racine dorsale ts: ganglions spinaux
42
ganglion spinal
43
qu'est-ce que c'est?
un neurone ( axone a gauche)
44
45
quand on parle de neuron préganglyonaire quel sn et ou sn sympathique
axone va sortir par racine ventrale et allé dans chaîne sympathique
46
qu'est-ce que cela veut dire si le corps cellulaire d'un neurone est dans un organe?
parasympathique
47
quel sont les neuro transmetteur libéré par différent sn
sn somatique: acétylcholine sn auto: sympa: noradrénaline parasympa: acétylcholine
48
le système nerveux autonome agit sur quels organe effecteur
glandes muscles lisse muscle cardiaque
49
si je me brule la main donne trajet de l'influ jusque zone cerveux
! influx nerveux va se propager dans l'Axone et rentrer dans la colonne vertébrale au niveau de la RACINE DORSALE le corps cellulaire de neurone 1 se trouve dans un ganglion spinal contact synaptique avec deuxième neurone dans moelle epiniere qui achemine jusqua thalamus contact synaptique avec 3 ieme neurone qui achemine vers ozne du cerveau
50
tu veux enlever ta main d'un feu.. comment ca marche?
51
52
Acétylcholine?
neurotransmetteur excitateur déclanche la contraction musculaire
53
sérotonine
neurotransmetteur régule température, sommeil, appétit , douleur, (bcp comportement)