Systemic Path Lab II Flashcards

(20 cards)

1
Q
A

Focal/focally extensive area of pallor in the femur, near the growth plate/phytis
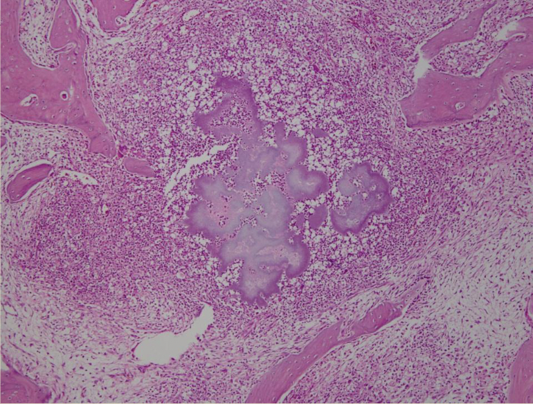
Morphological Diagnosis: Osteomyelitis/physitis
Etiological Diagnosis: Bacterial/Septic Osteomyelitis =rhodococcus equi
- what cells would you see? Neutrophils —> Neutrophillic Osteomyellitis
Inflammation of bone = osteomyelitis
Growth plate is still present so we know this is a young animal, therefore we know it is most likely inflammation. We can rule out degenerative or tumor b/c of age.

Why do we normally see lesions here? Curve of vasculature

How well did you know this?
1
Not at all
2
3
4
5
Perfectly
2
Q
A

Slaughterhouse sent bone from a steer
What bone is this? This is the humerus. Head of the humerus on the top left. On the right, distal end with the chondyles.
Chondrodysplasia OR fracture. In this case, Humeral fracture healed in the wrong way.

How well did you know this?
1
Not at all
2
3
4
5
Perfectly
3
Q
A

Non-union fracture

How well did you know this?
1
Not at all
2
3
4
5
Perfectly
4
Q
A

What animal is this? A cat.
Osteosporosis would affect every bone in the body
Morphological Diagnosis: Pyogranulomatous Osteomyelitis
Chronic lesion due to degree of damage
Cavitations present b/c fistulas form due to puss seeping through
Etiologic Diagnosis: Lumpy Jaw

How well did you know this?
1
Not at all
2
3
4
5
Perfectly
5
Q
A

N92-2012, E. Soto, M.Arauz, O.Illanes, RUSVM
Can occur in cats occasionally

How well did you know this?
1
Not at all
2
3
4
5
Perfectly
6
Q
A

Bacterial colony in center surrounded by inflammatory cells.
Splendor Hopplie phenomena represents the Ag/Ab complex.

How well did you know this?
1
Not at all
2
3
4
5
Perfectly
7
Q
A

Swelling around head of the humerus
Inflammatory or neoplastic process? neoplastic
Osteosarcoma OR Chondrosarcoma
Why not chondrosarcoma? usually present in flat bones. This is in the majority of cases, but there are always exceptions.
Grossly, the shiny areas represent presence of cartilage.

This is Chondrosarcoma

How well did you know this?
1
Not at all
2
3
4
5
Perfectly
8
Q
A

chondrocyte in the lacunae
Very rarely will you see a mitotic figure in a chondrosarcoma, so it is automatically malignant.
This was the deciding factor between osteosarcoma and chondrosarcoma.

How well did you know this?
1
Not at all
2
3
4
5
Perfectly
9
Q
A

Coxofemoral joint
Bone itself looks a bit rough; not shiny.
Loss of cartilage
Changes = Fibrillation, ebrunation
Villous hypertrophy of synovial membrane surrounding the joint. Classic in chronic joint disease.
Top of joint capsule that is purpleish = osteophyte formation

How well did you know this?
1
Not at all
2
3
4
5
Perfectly
10
Q
A

Stifle joint
Osteophyte formation around the joint
Fibrillation, exposure of underlying subchondral bone
Cartilage is completely worn down

How well did you know this?
1
Not at all
2
3
4
5
Perfectly
11
Q
A

Spondylosis
Between T13 and L1
Osteophyte proliferation producing the protrusion
increased mobility of the vertebra –> osteophyte proliferation –> IDD
Spondylosis deformans

How well did you know this?
1
Not at all
2
3
4
5
Perfectly
12
Q
A

Suppurative Osteomyelitis
Inspicated (dried suppurative exudate). Destruction of vertebrae (circle around yellow).
Lesion may be involving spinal chord, so potentially could add Vertebral Osteomyelitis
Etiologic Cause: Bacterial
Myelopathy = degenerative changes of the spinal chord –> myelitis

How well did you know this?
1
Not at all
2
3
4
5
Perfectly
13
Q
A

Left = head of the femur
Area of ulcertaion

How well did you know this?
1
Not at all
2
3
4
5
Perfectly
14
Q
A

Area of ulceration
Name of the disease: Osteochondrosis Dessicans in which there is ulceration of articular cartilage and formation of flaps of cartilage.
- young, fast growing animal
- flap of cartilage

How well did you know this?
1
Not at all
2
3
4
5
Perfectly
15
Q
A

Evidence of joint mice formation

How well did you know this?
1
Not at all
2
3
4
5
Perfectly
16
Q
A

Fibrillation and ulceration of articular cartilage - femoral condyles
make a longitudinal section, and we look at bone in there, even thinness in articular cartilage that is also characteristic of OCD

17
Q
A

Severe dental attrition (wear and tear).

18
Q
A

Missing teeth

19
Q
A

Morphologic diagnosis: Spondylosis –> osteophyte proliferation in this area. Due to chronic increased mobility/subluxation as compensation, there is areas of osteosclerosis, degenerating –> IDD.

20
Q