Taylor- Microcirculation Flashcards

(55 cards)

1
Q

2 main things the microcirculation regulates

A

solute and fluid transport

How well did you know this?
1
Not at all
2
3
4
5
Perfectly
2
Q

regulate blood flow into tissues

A

Arterioles

How well did you know this?
1
Not at all
2
3
4
5
Perfectly
3
Q

regulate # of perfused capillaries

A

Pre-capillary sphincters

How well did you know this?
1
Not at all
2
3
4
5
Perfectly
4
Q

sites for exchange

A

capillaries and post-capillary venules

How well did you know this?
1
Not at all
2
3
4
5
Perfectly
5
Q

route of exchange through inter-endothelial cell clefts

A

paracellular

How well did you know this?
1
Not at all
2
3
4
5
Perfectly
6
Q

route of exchange through vesicular transport or directly through cell (including fenestrae)

A

Transcellular

How well did you know this?
1
Not at all
2
3
4
5
Perfectly
7
Q

route for exchange depends on 2 things

A

type of endothelium
transported substance

How well did you know this?
1
Not at all
2
3
4
5
Perfectly
8
Q

small solutes (gases, FA’s)
steroid and thyroid hormones

A

lipid soluble

How well did you know this?
1
Not at all
2
3
4
5
Perfectly
9
Q

small solutes (electrolytes, glucose)
Albumin (protein)

A

hydrophillic

How well did you know this?
1
Not at all
2
3
4
5
Perfectly
10
Q

becomes an osmotic force that pulls water into vessel when this substance is trapped inside vessel

A

Albumin

How well did you know this?
1
Not at all
2
3
4
5
Perfectly
11
Q

Transendothelial diffusion of small solutes (flux of solute); O2 leaving blood to supply tissues (specifc organ)

A

Js

How well did you know this?
1
Not at all
2
3
4
5
Perfectly
12
Q

what does the diffusion of small solutes (Js) really depend on

A

solute concentration gradient
(O2 will flow out, CO2 will flow in)

How well did you know this?
1
Not at all
2
3
4
5
Perfectly
13
Q

the smaller the diffusion distance (delta x) =

A

greater flux of solute (Js)

How well did you know this?
1
Not at all
2
3
4
5
Perfectly
14
Q

what happens if you increase concentration of solutes

A

increase their concentration gradient

How well did you know this?
1
Not at all
2
3
4
5
Perfectly
15
Q

what happens if you increase the solutes’ utilization in the tissues (increasing the area for exchange)

A

increase their concentration

How well did you know this?
1
Not at all
2
3
4
5
Perfectly
16
Q

opening what will increase the # of perfused capillaries, increasing the area for exchange

A

precapillary sphincters

How well did you know this?
1
Not at all
2
3
4
5
Perfectly
17
Q

transendothelial fluid movement

A

Jv

How well did you know this?
1
Not at all
2
3
4
5
Perfectly
18
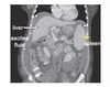
Q

explain the picture

A

Pc - Pif is hydrostatic pressure
pi p - pi if is osmotic pressure

these two oppose each other

How well did you know this?
1
Not at all
2
3
4
5
Perfectly
19
Q

equation that describes fluid movement (net water exchange)

A

Starling equation

How well did you know this?
1
Not at all
2
3
4
5
Perfectly
20
Q

Jv is positive means what

A

filtration is happening (movement out of capillary)

How well did you know this?
1
Not at all
2
3
4
5
Perfectly
21
Q

Jv is negative means what

A

absorption (movement into capillary)

How well did you know this?
1
Not at all
2
3
4
5
Perfectly
22
Q

when Net Filtration Pressure (NFP) is positive

A

fluid is filtered into tissue

How well did you know this?
1
Not at all
2
3
4
5
Perfectly
23
Q

when Net Filtration Pressure (NFP) is negative

A

fluid is absorbed from tissue to blood

24
Q

discontinuous capillary (very leaky) seen where

25
continuous fenestrated capillaries seen where
mesenteric bed
26
continuous- unfenestrated capillary seen where
brain
27
NFP + in resting skeletal muscle
filtering
28
NFP - in the brain
absorbing
29
change in local arteriolar tone alters what
NFP
30
arteriolar dilation does what to NFP (filtration pressure)
increases
31
arteriole constriction does what to NFP (filtration pressure)
decreases
32
net flux at capillaries (Jv) is filtering while ____ are taking up that fluid and protein
lymphatics
33
lymphatics all come together and dump into _______ returning stuff back to venous circulation
subclavian veins
34
when filtration exceeds lymph flow (fluid accumulates in interstitial space)
edema
35
fluid in abdomen
ascites
36
deals w/ both hydrostatic and osmotic gradients; too much intravascular pressure or dilution of plasma proteins (low albumin)
Hydrostatic edema
37
increased endothelial "leak"
permeability edema
38
limitation in lymphatic drainage
lymphedema
39
this is common w/ R sided heart failure
Hydrostatic edema
40
signs of this include pitting edema around feet and ankles
heart failure
41
high systemic capillary pressure increases______
filtration
42
high pressure where leads to fluid in abdominal cavity (ascites)
liver sinusoids
43
pulmonary edema
44
high pulmonary capillary pressure leads to increased ______
fluid filtration in the lungs (pulmonary edema)
45
promotes increased filtration and edema due to osmotic pressure decrease (decreased albumin)
hypoproteinemia
46
associated w/ myxedema
hypothyroidism
47
overproduction of ECM proteins; proteins pull water towards them in interstitial space
Myxedema
48
Myxedema
49
more filtration due to disruption of microvascular barrier
permeability edema
50
one of the main injuries causing permeability edema
burns
51
lymphatic disruption or obstruction (at lymph flow, not capillary)
Lymphedema
52
impacts perfusion and diffusion (compresses circulation and make exchange harder)
edema
53
painful pressure increase in muscle after damage; if edema is bad enough to restrict blood flow, pain and ischemia
Compartment Syndrome
54
flux of solutes (Js) increases across endothelial barrier 3 ways:
1. opening of precapillary sphincters 2. conc. gradient of solutes 3. reduced diffusion distance
55
flux of fluid across endothelial barrier into tissues increases with: (2 things)
1. increased hydrostatic pressure gradient (capillary pressure) 2. decreased osmotic pressure gradient (albumin)