TBC Flashcards

(57 cards)

1
Q

Tosse aguda:

A

<3 semanas
(pensar em condições alérgicas ou infecciosas autolimitadas)

How well did you know this?
1
Not at all
2
3
4
5
Perfectly
2
Q

Tosse subaguda :

A

3-8 semanas .

(limbo entre a tosse aguda persistente e o início da cronificação)

How well did you know this?
1
Not at all
2
3
4
5
Perfectly
3
Q

Tosse crônica:

A

> 8 semanas.

How well did you know this?
1
Not at all
2
3
4
5
Perfectly
4
Q

Tosse crônica (Causas) 4:

A

Gotejamento (Sinusopatias)

Asma

DRGE

Uso de IECA .

How well did you know this?
1
Not at all
2
3
4
5
Perfectly
5
Q

Tosse aguda( causas) 3:

A
  1. Infecção - IVAS (Infecções Virais das Vias Aéreas Superiores): As infecções respiratórias aumentam a produção de muco e estimulam os receptores da tosse nas vias aéreas para remover patógenos e secreções, protegendo os pulmões de infecções secundárias.
  2. Irritação (alergia): Alergenos como pólen e poeira podem irritar as vias aéreas, desencadeando uma reação inflamatória que ativa os nervos responsáveis pela tosse, numa tentativa de expulsar esses irritantes.
  3. Congestão: O acúmulo de fluidos nas vias aéreas, comum em condições como resfriados ou sinusite, estimula os mecanismos de tosse para limpar o excesso de muco e melhorar a respiração.
How well did you know this?
1
Not at all
2
3
4
5
Perfectly
6
Q

Agente etiológico da Tuberculose :

A

Mycobacterium tuberculosis (bacilo de Koch).

How well did you know this?
1
Not at all
2
3
4
5
Perfectly
7
Q

A tuberculose é uma doença de _____ (alta/baixa) infectividade e _____ (alta/baixa) patogenicidade.

A

A tuberculose é uma doença de alta infectividade e baixa patogenicidade.

  • Alta infectividade: A tuberculose é altamente transmissível, principalmente pelo ar, quando pessoas com a forma pulmonar ativa da doença tossem, espirram ou falam.
  • Baixa patogenicidade: Apesar de sua alta transmissibilidade, a maioria das pessoas infectadas com o bacilo da tuberculose (Mycobacterium tuberculosis) não desenvolve a doença. Estima-se que apenas cerca de 5% a 10% dos infectados progridem para a doença ativa ao longo da vida.
How well did you know this?
1
Not at all
2
3
4
5
Perfectly
8
Q

Tuberculose pulmonar

Fisiopatologia e cronologia? (3)

A
  1. Disseminação bacilar (< 3 semanas): Após a inalação das partículas contendo Mycobacterium tuberculosis, o bacilo se dissemina nos pulmões, multiplicando-se inicialmente sem resposta imune significativa.
  2. Imunidade celular (3-8 semanas): O sistema imunológico começa a responder. Células do sistema imune, como macrófagos e linfócitos T, formam um granuloma caseoso para conter a infecção. O nódulo de Ghon é um exemplo inicial de granuloma típico na tuberculose primária.
  3. Controle da infecção (90%) ou desenvolvimento da doença (10%): A maioria das pessoas (cerca de 90%) controla a infecção e permanece assintomática e não contagiosa. Cerca de 10% das infecções progridem para doença ativa.
    doença – primária (adoece 1º contato) x pós-primária (adoece depois, por reinfecção ou reativação)
How well did you know this?
1
Not at all
2
3
4
5
Perfectly
9
Q

Tuberculose pulmonar

Tipo de granuloma?

A

Caseoso.

(debris celulares e áreas de necrose esbranquiçada)

How well did you know this?
1
Not at all
2
3
4
5
Perfectly
10
Q

Nódulo de Gohn:

A

O nódulo de Ghon é uma lesão pulmonar característica da tuberculose primária, formada por um granuloma caseoso que resulta da resposta imune à infecção inicial por Mycobacterium tuberculosis. Ele é parte do complexo de Ghon, quando associado a linfonodos inflamados.

How well did you know this?
1
Not at all
2
3
4
5
Perfectly
11
Q

Tuberculose:Local mais frequente e justificativa:

A
How well did you know this?
1
Not at all
2
3
4
5
Perfectly
12
Q

Tuberculose pulmonar:
Sintomas ?

A
How well did you know this?
1
Not at all
2
3
4
5
Perfectly
13
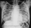
Q

A tuberculose pulmonar primária acomete mais :

A

CRIANÇAS.

TB PRIMÁRIA – paucibacilífera
-Criança – após o 1º contato
- “Pneumonia arrastada” que não melhora com ATB
-RX: infiltrado persistente (>2 semanas) + linfonodomegalia hilar ipsilateral.

How well did you know this?
1
Not at all
2
3
4
5
Perfectly
14
Q

Tuberculose pulmonar pós primária é decorrente de :

A
How well did you know this?
1
Not at all
2
3
4
5
Perfectly
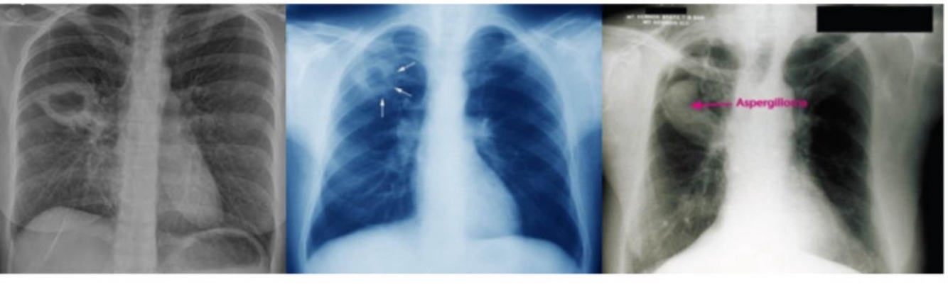
15
Q

A tuberculose pulmonar pós primária acomete mais ——————- ——————

A

Adultos e adolescentes.

TB PÓS-PRIMÁRIA – bacilífera :

•Adolescente/adulto – reativação ou reinfecção
•Tosse prolongada, febre vespertina, sudorese noturna, perda de peso
•RX: infiltrado + cavitação
•Complicação: Aspergiloma (bola fúngica)

How well did you know this?
1
Not at all
2
3
4
5
Perfectly
16
Q

Na tuberculose pós primária, a forma cavitária é capaz de transmitir a infecção,ou seja , ela é …

A

Bacilífera .

How well did you know this?
1
Not at all
2
3
4
5
Perfectly
17
Q

Definição de sintomático respiratório:

A
How well did you know this?
1
Not at all
2
3
4
5
Perfectly
18
Q

Diagnóstico da TB:

A
How well did you know this?
1
Not at all
2
3
4
5
Perfectly
19
Q

Tuberculose pulmonar (Diagnóstico) (6)
(Critério clínico-epidemiológico)

A
How well did you know this?
1
Not at all
2
3
4
5
Perfectly
20
Q

Qual é o exame de escolha para o escarro?

A

TRM-TB (Teste rápido molecular )

How well did you know this?
1
Not at all
2
3
4
5
Perfectly
21
Q

Indicações /Características/Desvantagem da cultura na TB Pulmonar :

A
How well did you know this?
1
Not at all
2
3
4
5
Perfectly
22
Q

V ou F?

A acurácia do TRM-TB é maior que a do BAAR, levando 2h para para o resultado contra 24-48h do BAAR, informa a resistência à rifampicina pelo bacilo, mas aumenta o risco de contaminação biológica.

A
How well did you know this?
1
Not at all
2
3
4
5
Perfectly
23
Q

Objetivos do TRM-TB?

A

Procura genes do bacilo e avalia a resistência à Rifampicina.

24
Q

Sensibilidade do TRM-TB?

25
Quando se optar pela —————- deve-se sempre solicitar a cultura .
Baciloscopia . Sim, ao realizar uma baciloscopia (exame microscópico para detecção do Mycobacterium tuberculosis), é recomendado também solicitar a cultura. A baciloscopia tem a vantagem de ser rápida e barata, mas sua sensibilidade é limitada, especialmente em casos de baixa carga bacilar ou em formas extrapulmonares da doença. A cultura para tuberculose é mais sensível e pode detectar a presença do bacilo mesmo em amostras nas quais a baciloscopia é negativa. Além disso, a cultura permite realizar testes de sensibilidade aos medicamentos, essenciais para o planejamento de um tratamento eficaz, especialmente em casos de resistência a medicamentos. Portanto, combinar ambos os testes proporciona uma abordagem diagnóstica mais completa e precisa.
26
Se TRM-TB indisponível ,quais exames solicitar ?
Baciloscopia +Cultura
27
**V ou F?** **A acurácia do TRM-TB é maior que a do BAAR, levando 2h para para o resultado contra 24-48h do BAAR, informa a resistência à rifampicina pelo bacilo, mas aumenta o risco de contaminação biológica.**
Falso. - **Acurácia**: O TRM-TB tem acurácia superior ao BAAR para detecção de tuberculose e resistência à rifampicina. - **Tempo para resultado**: TRM-TB fornece resultados em aproximadamente 2 horas, enquanto o BAAR leva 24-48 horas. - **Risco de contaminação biológica**: Não há aumento no risco de contaminação biológica com o uso do TRM-TB comparado a outras técnicas.
28
**V ou F?** **Se houver clínica e radiografia compatíveis com TB pulmonar, o tratamento pode ser iniciado mesmo que o escarro seja negativo.**
Verdadeiro. Se os sintomas e a radiografia indicam tuberculose pulmonar, o tratamento pode começar mesmo se o teste de escarro for negativo, para evitar atrasos e reduzir riscos de complicações e transmissão.
29
Diagnóstico no adulto e diagnóstico na criança menor de 10 anos :
30
A tuberculose extra pulmonar é bacilifera . Verdadeiro ou falso?
Falso. A tuberculose extrapulmonar geralmente não é bacilífera, o que significa que os pacientes com essa forma da doença raramente liberam bacilos de Mycobacterium tuberculosis de maneira que possam ser transmitidos a outras pessoas pelo ar. Esta forma da tuberculose afeta órgãos fora dos pulmões, como linfonodos, sistema urinário, ossos, articulações e sistema nervoso central, e não envolve a formação de aerossóis contendo bacilos, que é o principal modo de transmissão da forma pulmonar.
31
Qual é a forma mais comum de TB extrapulmonar no Brasil ? E no paciente com HIV?
1- Brasil: TB pleural 2- HIV: TB ganglionar
32
Tuberculose pleural :Quadro clínico-epidemiológico:
Jovem com adinamia +: 1. **Dor torácica pleurítica**: Dor aguda que piora com a respiração ou tosse. 2. **Febre**: Geralmente de baixo grau, mas pode ser mais alta em alguns casos. 3. **Tosse**: Pode ser seca ou produzir uma pequena quantidade de expectoração. 4. **Perda de peso**: Emagrecimento não intencional é um sintoma comum de infecções crônicas como a tuberculose. 5. **Dispneia**: Dificuldade para respirar que pode desenvolver-se à medida que o líquido pleural se acumula.
33
Tuberculose pleural : Achados ao líquido pleural :
34
Valor normal da ADA no líquido pleural :
<40U/I
35
Resumo da TB pleural :
- **TB Pleural** - Forma extrapulmonar mais comum, exceto em HIV e crianças (TB ganglionar) - Clínica: adulto jovem com febre, perda de peso e dor torácica pleurítica - Toracocentese: exsudato, diminuição de glicose, linfomonocitário (no início: pneumonia), ADA > 40 - Diagnóstico: biópsia pleural 90% - Baciloscopia, cultura e TRM-TB têm baixa sensibilidade
36
Busca ativa na investigação de casos suspeitos :
37
Resumo da TB Meníngea:
- **TB Meníngea** - Acomete não vacinados e imunodeprimidos - Apresentação: meningite arrastada, subaguda, alteração de nervos cranianos (II, III, IV, VI, VII) e hipertensão intracraniana (HIC) - Líquor: aumento de proteínas, diminuição de glicose, linfomonocitário (no início: pneumonia) - Tomografia computadorizada (TC): hidrocefalia - Diagnóstico: cultura e baciloscopia – ambas com baixa sensibilidade - *É a forma com mais sequelas!
38
Resumo da TB Geniturinària:
- **TB Geniturinária** - Exame de Urina Simples (EAS): piúria com cultura negativa - Ultrassonografia (US): corrosões calicinais e hidronefrose - Diagnóstico: cultura de urina (3 amostras) e urografia excretora
39
Mal de Pott:
TB esquelética: dor lombar + dor à palpação + sudorese noturna
40
Tratamento em adultos :
*Gestante: Não se usa isoniazida .Usa vitamina B6 (piridoxina) *HIV: RIPE > TARV após 2 semanas *Multirresistente (R+I): CLEPT 18m – quinolona
41
Tratamento (CRIANÇAS < 10 anos)
42
Tratamento TB Meningoencefálica e Osteoarticular:
2 RIPE + 10 RI + corticoide por 4-8 semanas (se meníngea)
43
Tratamento da Gestante com TB:
44
Efeitos adversos:
1. **Isoniazida**: Causa hepatotoxicidade e neuropatia periférica, com recomendação de suplementação de piridoxina (vitamina B6) para prevenção. Pode raramente induzir psicose ou convulsões.Proibida em gestante . 2. **Rifampicina**: Provoca hepatotoxicidade, interações medicamentosas significativas e coloração vermelha em urina e outras secreções. 3. **Pirazinamida**: Associada à hepatotoxicidade e hiperuricemia, que pode levar a ataques de gota. Se transaminases (TGO e TGP) subirem significativamente (três a cinco vezes acima do normal) e surgirem sintomas como náusea ou icterícia, os medicamentos devem ser suspensos para prevenir danos hepáticos graves. 4. **Etambutol**: Causa toxicidade ocular, incluindo neurite óptica, afetando a acuidade visual e percepção de cores. 5. **Estreptomicina**: Usada principalmente para TB resistente, pode causar ototoxicidade e nefrotoxicidade. "NIAS" refere-se à Neurite Induzida por Anti-Tuberculose, comum com o uso de isoniazida. A suplementação com piridoxina é uma medida preventiva contra essa condição. Penias (trombocitopenias,neutropenia,etc…)
45
Quadro resumo dos efeitos colaterais :
46
O TRM-TB é o teste padrão para o acompanhamento de pacientes em tratamento de tuberculose . Verdadeiro ou falso?
Falso. O TRM-TB (Teste Rápido Molecular para Tuberculose), como o GeneXpert MTB/RIF, é útil para diagnóstico inicial e detecção de resistência à rifampicina, mas não é o teste padrão para o acompanhamento de pacientes em tratamento de tuberculose,pois identifica tanto bacilos vivos quanto mortos.O acompanhamento geralmente é feito através da avaliação clínica do paciente e de exames de baciloscopia de escarro para monitorar a resposta ao tratamento, especialmente em casos de tuberculose pulmonar.
47
O paciente deixa de ser bacilífero após os 6 meses de tratamento. Verdadeiro ou falso?
Falso. A maioria dos pacientes com tuberculose pulmonar deixa de ser bacilífera, ou seja, deixa de transmitir o bacilo da tuberculose, geralmente após os primeiros 15 dias de tratamento eficaz. A carga bacilar diminui significativamente com a adesão correta ao tratamento nas fases iniciais, muitas vezes já sendo inexpressiva após 2 a 3 semanas, dependendo da resposta ao tratamento e da gravidade da doença inicial.
48
Critérios de falência no tratamento da TBC:
49
Como é feito o TDO (Tratamento diretamente observado )?
50
Como é feito o controle após o diagnóstico?
- **Busca Ativa de Sintomáticos Respiratórios** - Tosse ≥ 3 semanas ou qualquer tosse associada a fatores de risco como índios, HIV, presos, imigrantes, e pessoas em situação de rua - **Notificação** - Todos os casos suspeitos ou confirmados devem ser notificados às autoridades de saúde - **Tratamento Diretamente Observado (TDO)** - Observação de 24 doses em 2 meses e 48 doses nos meses seguintes (aproximadamente 3-4 dias/semana) - **Vacina BCG** - Previne formas graves da doença, como tuberculose miliar e meníngea - **Avaliação de Contactantes** - Exame dos indivíduos que estiveram em contato próximo com o paciente para detecção precoce e prevenção da disseminação
51
Prova tuberculínica:
52
Como é feita a avaliação dos contactantes :
Obs: IGRA (Interferon-Gamma Release Assays) são testes que medem a resposta imune celular a antígenos específicos do Mycobacterium tuberculosis. Eles detectam a liberação de interferon-gama (IFN-γ) por células T ativadas em resposta a proteínas do bacilo da tuberculose. Os testes IGRA são usados para identificar infecções por tuberculose latente e são especialmente úteis em ambientes onde a vacinação com BCG (Bacilo Calmette-Guérin) é comum, já que não são afetados por essa vacinação, ao contrário do teste cutâneo de tuberculina (PPD).
53
Resumo das indicações de tratamento na TB Latente:
1. **Indicações de tratamento**: - **PT ≥ 5mm / IGRA + contato com imunossupressão**: Tratamento indicado para indivíduos com teste de tuberculina (PT) maior ou igual a 5mm ou teste IGRA positivo que tenham contato com imunossupressão (uso de corticoide, inibidor de TNF-alfa). Obs: Contactante de HIV + SEMPRE trata TB latente, independente dos exames. - **PT ≥ 10mm / IGRA + debilitados**: Indivíduos com PT maior ou igual a 10mm ou teste IGRA positivo que sejam debilitados (diabetes, silicose, diálise, quimioterapia). - **Aumento > 10mm na 2ª PT em < 1 ano (conversão)**: Indica nova infecção ou conversão recente, requerendo tratamento. 2. **Esquemas de Tratamento**:- -**Isoniazida**: 270 doses ao longo de 9-12 meses, (1/dia) tradicional para prevenção da ativação da tuberculose. Ou - **Rifampicina**: 120 doses em 4-6 meses, (1/dia) alternativa para menores de 10 anos, maiores de 50 anos, ou pacientes com hepatopatia. Ou Novidade : - **Isoniazida + Rifapentina**: 12 doses em 3 meses (uma vez por semana).Essa é uma nova opção que reduz a duração do tratamento.
54
Indicações de quimioprofilaxia primária em neonatos que tiveram contato com portadores de TB bacilífera:
Para recém-nascidos que tiveram contato com portadores de tuberculose bacilífera, o protocolo de quimioprofilaxia primária é detalhado da seguinte forma: - **Não vacinar com BCG inicialmente**: A vacinação com BCG é adiada. - **Iniciar quimioprofilaxia com Isoniazida e Rifampicina por três meses** antes de realizar o teste tuberculínico (PT). - **Após a quimioprofilaxia**: - **Se PT ≥ 5mm**: Continuar com mais 3 meses de Isoniazida e mais 1 mês de Rifampicina, sem vacinação com BCG. - **Se PT < 5mm**: Vacinar com BCG.
55
Já caiu em prova:
56
Como ocorre o tratamento da Tuberculose Multi droga resistente (MDR)?
O tratamento da tuberculose multirresistente (TB-MDR) no Brasil, conforme os protocolos mais recentes, envolve esquemas complexos que podem ser resumidos da seguinte forma: 1. **Esquema de Tratamento (CLEPT)**: - **C** para Cicloserina ou Clofazimina - **L** para Linezolida - **E** para Etionamida ou Ácido para-aminossalicílico (PAS) - **P** para Procarbazina ou Pirazinamida - **T** para Terizidona ou outra quinolona - O tratamento geralmente é estendido por um período de 18 a 24 meses, dividido entre a fase intensiva e a fase de manutenção. 2. **Medicamentos Adicionais**: - Os medicamentos são selecionados com base no perfil de resistência específico do bacilo e na história de tratamento do paciente. - Grupos adicionais incluem: - **Grupo A**: Medicamentos prioritários como Bedaquilina. - **Grupo B**: Fluoroquinolonas como Levofloxacina ou Moxifloxacina. 3. **Monitoramento e Apoio ao Paciente**: - Exames regulares e monitoramento da resposta ao tratamento, efeitos colaterais, e adesão ao regime terapêutico. - Apoio psicossocial e aconselhamento para manter a adesão ao tratamento prolongado. 4. **Tratamento Diretamente Observado (TDO)**: - Supervisão direta da ingestão de medicamentos para garantir a adesão e a eficácia do tratamento. 5. **Notificação e Registro**: - Registro rigoroso e notificação obrigatória de todos os casos à vigilância epidemiológica para controle e prevenção da TB-MDR.
57
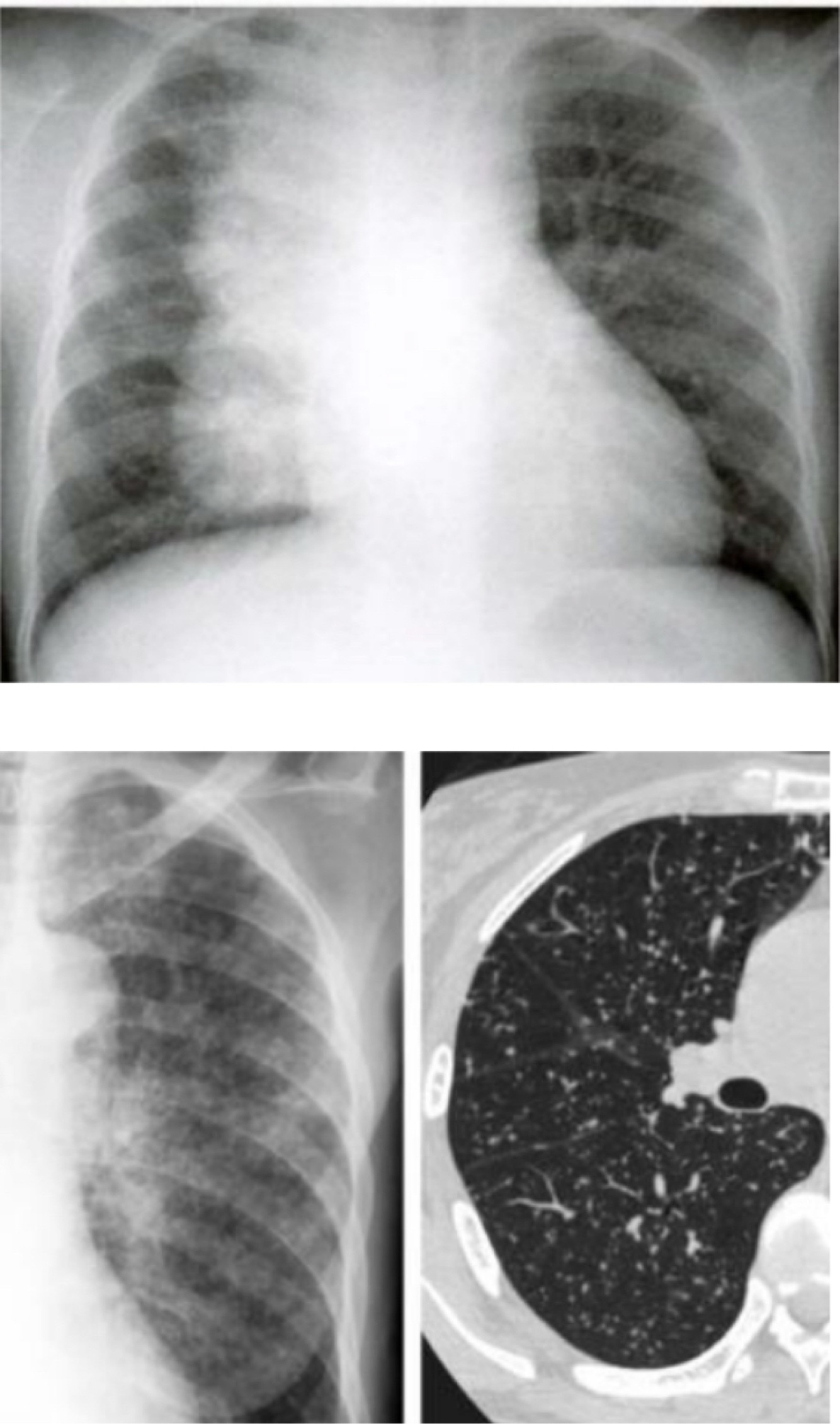
Tuberculose miliar é um tipo de tuberculose extrapulmonar ?
Sim, a tuberculose miliar é um tipo de tuberculose extrapulmonar. Ela ocorre quando o Mycobacterium tuberculosis se dissemina de forma descontrolada através da corrente sanguínea, afetando múltiplos órgãos fora dos pulmões. Esse tipo de tuberculose é particularmente grave e pode ser semelhante a uma "sepse" devido à sua natureza disseminada. É mais comum em indivíduos imunodeprimidos ou em crianças menores de 2 anos que não foram vacinadas com a BCG. A radiografia de tórax geralmente mostra um infiltrado micronodular difuso bilateral, que se assemelha a pequenas sementes de milho dispersas por todo o campo pulmonar, refletindo a disseminação extensa da infecção.