TCE Flashcards

(43 cards)

1
Q

Qué es un TCE?

A

Lesión cerebral causada por una fuerza física que puede o no alterar el estado de alerta

How well did you know this?
1
Not at all
2
3
4
5
Perfectly
2
Q

Causas de un TCE

A

*Impacto externo
*aceleración-desaceleración

How well did you know this?
1
Not at all
2
3
4
5
Perfectly
3
Q

Qué causa la aceleración-desaceleración?

A

Causa ruptura de vasos
En bebés es signo de maltrato

How well did you know this?
1
Not at all
2
3
4
5
Perfectly
4
Q

Clasificación de un TCE

A

Primario
Secundario

How well did you know this?
1
Not at all
2
3
4
5
Perfectly
5
Q

TCE primario

A

Es evidente en el momento

How well did you know this?
1
Not at all
2
3
4
5
Perfectly
6
Q

Signos de un TCE secundario

A

Hipoxia
Meningitis
EPIC
Isquemia
Edema

How well did you know this?
1
Not at all
2
3
4
5
Perfectly
7
Q

La zona con hipoxia se recupera?

A

No se recupera

How well did you know this?
1
Not at all
2
3
4
5
Perfectly
8
Q

EPIC

A

Aumento de presión intracraneal

How well did you know this?
1
Not at all
2
3
4
5
Perfectly
9
Q

Edema

A

Inflamación

How well did you know this?
1
Not at all
2
3
4
5
Perfectly
10
Q

Tipos de un TCE

A

*SCALP
*fracturas
*hemorragia intracraneal
*lesión axonal difusa

How well did you know this?
1
Not at all
2
3
4
5
Perfectly
11
Q

Significado de las siglas de SCALP

A

Skin
Cutaneous tissue
Aponeurosis
Loose areolar tissue
Pericraneum

How well did you know this?
1
Not at all
2
3
4
5
Perfectly
12
Q

Tipos de fracturas de cráneo

A

Fractura del piso anterior
Fractura del piso medio
Fracturas del piso posterior

How well did you know this?
1
Not at all
2
3
4
5
Perfectly
13
Q

Signos de una fractura del piso anterior del craneo

A

Equimosis palpebral o bipalpebral (ojos de mapache)
Rinorraquia (signo de halo)
Movimientos oculares defectuosos

How well did you know this?
1
Not at all
2
3
4
5
Perfectly
14
Q

“Ojos de mapache” a qué se refiere?

A

Equimosis unipalpebral o bipalpebral

How well did you know this?
1
Not at all
2
3
4
5
Perfectly
15
Q

Signo de halo

A

Rinorraquia

How well did you know this?
1
Not at all
2
3
4
5
Perfectly
16
Q

Cinemática de trauma

A

Entender cómo pudo haber sido un accidente para analizar las posibles lesiones extremas

How well did you know this?
1
Not at all
2
3
4
5
Perfectly
17
Q

Signos de la fractura del piso medio del cráneo

A

Signo de battle
Pérdida de la audición
Pérdida del equilibrio

How well did you know this?
1
Not at all
2
3
4
5
Perfectly
18
Q

Qué es el signo de battle?

A

Coloración morada o azul detrás de la oreja

19
Q

Si veo un paciente con este sigo, qué fractura es en la que pensaría ?

A

Fractura en el piso anterior del cráneo

20
Q

Si veo este signo, en qué fractura pensaría?

A

Fractura del piso medio del cráneo

21
Q

Fracturas del piso posterior de cráneo

A

Fracturas que dañan a nivel cervical

22
Q

Clasificación de hemorragias cerebrales

A

Epidural
Subdural
Subaracnoidea

23
Q

Hemorragia epidural

A

Ruptura de la meningea media
El hematoma se forma entre el cráneo y la duramadre

24
Q

Hemorragia subdural

A

Ocasiona efecto de masa

25
Efecto de masa cerebral
Empuja tejido cerebral
26
Hemorragia subaracnoidea
Daños a los vasos de la fosa posterior
27
Verdadero o falso Cualquier hematoma hace efecto de masa?
Verdadero
28
En qué parte del cuerpo se realizan los estímulos dolorosos para evaluar a un paciente si no responde?
*nudillos en esternón *dedos en ángulo de la mandíbula *pellizco en dedo o en la uña
29
Niveles de Glasgow ocular
4 niveles 1. No responden 2. Responde al dolor 3. Responden ante una orden verbal 4.visión espontánea
30
Niveles de Glasgow verbal
5 niveles 1. Ninguna respuesta 2. Sonidos incomprensibles 3. Palabras inapropiadas 4. Desorientado y hablando 5. Orientado y conversando
31
Niveles de Glasgow motor
6 niveles 1. Ninguna respuesta 2. Extensión 3. Flexión anormal 4. Retirada y flexión 5. Localiza el dolor 6. Obedece a la orden verbal
32
En qué nivel de la escala motora de Glasgow podemos decir que un paciente está descerebrado ?
Nivel 2 Extensión
33
En qué nivel de la escala motora de Glasgow podemos decir que un paciente tiene rigidez de decorticación?
Nivel 3 Flexión anormal
34
Rangos de una escala de Glasgow
Leve: 13-15 Moderado: 9-12 Severo: menor de 8
35
Manejo de un paciente con una clasificación de Glasgow leve
Observación y alta
36
Manejo de un paciente con una clasificación de Glasgow moderado
Observación Oxigenación Alta
37
Manejo de un paciente con una clasificación de Glasgow severo
Intubación Antiinflamatorios Vigilar presión arterial TA Mantener un flujo de sangre constante
38
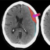
Cómo se ve un hematoma epidural en una tomografía?
Forma bicóncava en general
39
Cómo se ve un hematoma subdural en una tomografía?
Forma de semiluna, cóncava convexa
40
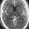
Cómo se ve un hematoma subaracnoideo en una tomografía ?
Zona hiperdensa Parenquimatosas
41
Hemorragia parenquimatosa
Dentro de tejido cerebral
42
Lesión axonal difusa
Los axones de la neuronas se rompen
43
Estudio que ve tejidos blandos
Resonancia magnética