Techniques 1 Flashcards

(45 cards)

1
Q

name 3 types of intra-oral radiographs

A

peri-apical
bitewing
occlusal

How well did you know this?
1
Not at all
2
3
4
5
Perfectly
2
Q

what can u see in a peri-apical?

A

See from crown to root of teeth

How well did you know this?
1
Not at all
2
3
4
5
Perfectly
3
Q

what can u see in a horizontal bitewing?

A

from distal edge of 4 to mesial edge of 8, need to see the bone levels but not the whole root

How well did you know this?
1
Not at all
2
3
4
5
Perfectly
4
Q

what can u see in a vertical bitewing compared to horizontal?

A

more of the bone but still not the entire root

How well did you know this?
1
Not at all
2
3
4
5
Perfectly
5
Q

what can u see in a maxillary occlusal radiograph?

A

Anterior part of maxilla and anterior teeth

How well did you know this?
1
Not at all
2
3
4
5
Perfectly
6
Q

what can u see in a mandibular occlusal radiograph?

A

Tooth bearing portion of the mandible and the floor of the mouth

How well did you know this?
1
Not at all
2
3
4
5
Perfectly
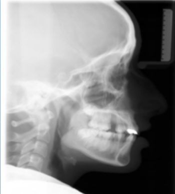
7
Q

name this extra-oral radiograph

A

Lateral cephalogram

How well did you know this?
1
Not at all
2
3
4
5
Perfectly
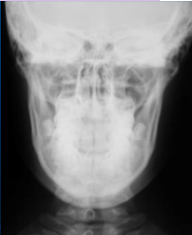
8
Q

name this extra-oral radiograph

A

Postero-anterior mandible

How well did you know this?
1
Not at all
2
3
4
5
Perfectly
9
Q

name this extra-oral radiograph

A

Lateral oblique mandible

How well did you know this?
1
Not at all
2
3
4
5
Perfectly
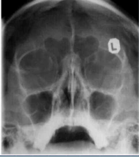
10
Q

name this extra-oral radiograph

A

Occipito-mental views of facial bones

How well did you know this?
1
Not at all
2
3
4
5
Perfectly
11
Q

what happens to the detail of the image the closer the receptor is to the object?

A

better detail of image

How well did you know this?
1
Not at all
2
3
4
5
Perfectly
12
Q

radiographs are used to detect/asses

Apical infection/inflammation

Periodontal problems

Trauma - fractures to tooth or surrounding bone

Tooth morphology pre-extraction

Endodontics (RCT)

Evaluation of implants

tooth development

A
How well did you know this?
1
Not at all
2
3
4
5
Perfectly
13
Q

name 2 radiographic techniques

A

paralleling technique

bisected angle technique

How well did you know this?
1
Not at all
2
3
4
5
Perfectly
14
Q

name this intra- oral radiographic technique

A

paralleling technique

How well did you know this?
1
Not at all
2
3
4
5
Perfectly
15
Q

? technique

Uses ?

Receptor ? to tooth

X ray beam ? to tooth/receptor

Creates ? and ? image

A

paralleling

holder

parallel

perpendicular

accurate
reproducible

How well did you know this?
1
Not at all
2
3
4
5
Perfectly
16
Q

name intra-oral technique

A

bisected angle technique

How well did you know this?
1
Not at all
2
3
4
5
Perfectly
17
Q

is the bisected angle technique for intra-oral radiographs the standard technique? why?

A

no
Patient holds film so exposes fingers

How well did you know this?
1
Not at all
2
3
4
5
Perfectly
18
Q

when do u use the bisected angle technique for intra-oral radiographs?

A

when a patient cant tolerate a holder in their mouth

How well did you know this?
1
Not at all
2
3
4
5
Perfectly
19
Q

which teeth are blue holders used for?

20
Q

what teeth are yellow holders used for?

21
Q

what teeth are red holders used for?

22
Q

what teeth are green holders used for?

A

endodontic procedures

23
Q

what are the 3 structural parts of a holder?

A

Bite block holds the receptor

Indicator arm/rod fits into the bite block

Aiming ring for alignment of the collimator with receptor

24
Q

name two factors that affect image geometry

A

receptor tooth relationship
x-ray tube position

25
Vertical plane of the film parallel to?
long axis of the tooth
26
Horizontal plane of the film parallel to?
the dental arch
27
if the x-ray tube is angled up what happens to the teeth in the image?
elongates teeth
28
if the x-ray tube is anlged down what happens to the teeth?
shortens the teeth
29
explain the X-ray source to receptor distance
Want to be long so beam can diverge as cone shaped
30
explain the Object (tooth) to receptor distance
Want to be short
31
for anteriors the receptor orientation is horizontal or vertical?
vertical
32
for posteriors the receptor orientation is horizontal or vertical?
horizontal
33
what are some barriers to good positioning? 4
Mouth size Gag reflex Film size Digital sensor shape and size
34
what film size do u use for adult anteriors?
0 or 1
35
what film size do u use for adult bisecting angles technique?
2
36
what film size do u use for adult posteriors?
2
37
what film size do u use for adult bitewings?
2
38
what film size do u use for child anteriors?
0
39
what film size do u use for child deciduous posteriors?
0
40
what film size do u use for child permanent posterior teeth?
2
41
what film size do u use for child bitewings >10yrs old?
2
42
what film size do u use for child bitewings <10yrs old?
0 or 1
43
what has caused this?
downwards vertical angulation - shortened teeth - separated cusps
44
what has caused this?
horizontal angulation has caused overlap of teeth
45
what has caused this?
upwards vertical angulation - elongated teeth - cone beam cutting has