Technology: Imaging Flashcards

(70 cards)

1
Q

Phases of CTU with timings

A

Non contrast phase
Corticomedullary phase = 30-40seconds after injection (optional phase
Nephrographic = 80-120 seconds after injection
Excretory = 10-15 min after injection (usually with diuretic)

How well did you know this?
1
Not at all
2
3
4
5
Perfectly
2
Q

What are the 2 ways contrast can be injected for CTU

A

Single dose = All contrast injected as 1 bolus. Then 2 seperate CT acquisitions are performed (the nephrographic + Excretory)
-More radiaiton

Split dose = The nephrographic and excretory phases are combined, reducing radiation by a third
-1/3 of contrast injected several minutes before
-2/3 of contrast injected 80-120 seconds before
Imaging may be worse as you have 2 phases

How well did you know this?
1
Not at all
2
3
4
5
Perfectly
3
Q

Phases of mpMRI

A

T2 weighted
Diffusion weight imaging (DWI)
Dynamic contrast enhanced (DCE)

How well did you know this?
1
Not at all
2
3
4
5
Perfectly
4
Q

Name 2 radiotraces and what they are used for in urology

A

MAG3 = Excreted radiotraced.
-Excreted by proximal renal tubules
-Good to access parenchymal activity and function/urinary flow

DMSA = Cortical radiotracer
-Binds to renal tubular cells in renal cortex
-Good to access renal ectopia of renal scarring

How well did you know this?
1
Not at all
2
3
4
5
Perfectly
5
Q

What are the phases of MAG3 renogram

A

1) Vascular transit phase
-Lasts 30-60 seconds
-Radiotrace enters kidneys

2) Tubular concentration phase
-Lasts 1-5 minutes
-Radiotracer enters tubules
-A peak is seen on the renogram

3) Excretion phase
-About 4-8 minutes after injection
-Start to see downward slop on renogram as tracer is cleared from kidneys

How well did you know this?
1
Not at all
2
3
4
5
Perfectly
6
Q

Three important measures for MAG 3 renogram

A

Tmax = Time to peak activity (usually 2.5 to 5 mins)

T1/2 = Half time of excretion (usually less then 10 mins)

20min:peak count ratio = How much tracer is left at 20 mins vs at peak
-Gives you idea of how well cleared the tracer is
-Normally should be less then 0.3

How well did you know this?
1
Not at all
2
3
4
5
Perfectly
7
Q

Tracer for bone scan

A

Technetium-99m = Absorbed by bones after 2-6 hours

How well did you know this?
1
Not at all
2
3
4
5
Perfectly
8
Q

Risk factors for CIN?

A

Cr Clearance less then 60
DM
Dehydration
Diuretic use
Advanced age
Heart failure
HTN
Low haematocrit
LVEF <40%

How well did you know this?
1
Not at all
2
3
4
5
Perfectly
9
Q

Why withold metformin for CT?

A

Can get accumulation of drug after contrasted scan
Causing lactic acidosis

How well did you know this?
1
Not at all
2
3
4
5
Perfectly
10
Q

MRI Contrast reaction in CKD, and what is it

A

Gadolinium - Nephrogenic systemic fibrosis
Fibrosing disease of skin, lungs, heart, oesophagus, heart and skeletal muscle
Causes gradual thickening of skin and pruritis

How well did you know this?
1
Not at all
2
3
4
5
Perfectly
11
Q

How to perform an IVU

A

Clear bowels first
1) Scout radiograph
-Ensures location correct
-Ensures bowels well cleared
-Can see stones
2) Contrast injected as 50-100mls bolus
3) Nephrogenic phase soon after injection
4) Subsequent 5 minute intervals until pyelogram complete
-Can do abdominal compression to see ureters easier
-As well as oblique films to see ureter better
5) Post void film to see if bladder can be emptied

How well did you know this?
1
Not at all
2
3
4
5
Perfectly
12
Q

Complications of RPG

A

Can get pyelovenous reflux
Where contrast enters tubules, and eventaully renal vein.

This can cause contrast reactions like allergies
Also cause bacterial reflux also

How well did you know this?
1
Not at all
2
3
4
5
Perfectly
13
Q

What is loopogram and how to perform

A

For patients with urinary diversion - to see the conduit, as well if reflux

Supine position
Catheter inserted via ostomy just below fascia
Gently flush catheter to fill bowel
Take oblique and AP films
Look for reflux at ureterointestinal anastamosis

How well did you know this?
1
Not at all
2
3
4
5
Perfectly
14
Q

How to do retrograde urethrogram

A

Face patient slightly oblique, so both obturator foramen can be seen. Do a scout film

Small catheter into fossa navicularis and inflate 2mls into balloon.
Flush contrast and see

How well did you know this?
1
Not at all
2
3
4
5
Perfectly
15
Q

How nuclear scintigraphy scans work

A

Radionuclide injected
Gamma cameras measure radiation emitted from the radionuclide

How well did you know this?
1
Not at all
2
3
4
5
Perfectly
16
Q

Why is tc99-MAG3 good

A

Technitium-99 mercaptoacetyltriglycine AKA Tc-MAG3

Causes photo emission, so good to pick up
6 hour half life
Cleared mainly by tubular excretion

How well did you know this?
1
Not at all
2
3
4
5
Perfectly
17
Q

How is MAG3 performed with phases

A

Flow phase = Shows renal
uptake, background clearance, and abnormal vascular lesions, which may
indicate arteriovenous malformations, tumors, or active bleeding

Renal phase = Time to peak uptake usually 2-4 mins
-Most sensitive indicator renal dysfunction
-1 min images taken for 30 mins

Excretory phase =
-Lasix administered when max renal uptake seen (this is subjective, and dependant on the technician)
-Usually furosemide 0.5mg/kg

How well did you know this?
1
Not at all
2
3
4
5
Perfectly
18
Q

Normal T1/2 times for MAG3 renogram

A

Should be less then 10 mins
10-20mins = mild to moderate delay, may be mechanical obstruction
>20mins = Consistent high grade obstruction

How well did you know this?
1
Not at all
2
3
4
5
Perfectly
19
Q

What false positives are there for MAG3 renogram?

A

There is some small amount extrarenal excretion in the hepatobiliary system

So can get false positive if this is included in calculations

How well did you know this?
1
Not at all
2
3
4
5
Perfectly
20
Q

What is PSMA?

A

Prostate-specific membrane antigen = Cell surface protein that is expressed in higher levels on prostate cancer cells.

How well did you know this?
1
Not at all
2
3
4
5
Perfectly
21
Q

How does CT work?

A

X ray beam emitted from one side of patient and measured on other side

These measurements repeated in systemically in repeated fashion for the area wanting to be examined

Then computerised reconstruction of images to creates cross sectional images

How well did you know this?
1
Not at all
2
3
4
5
Perfectly
22
Q

What is dual source CT, and how does it work?

A

Uses 2 rotating tubes, producing 1 high and 1 low voltage image.

This allows tissue differentiation, visualization of tendons and ligaments, improved CT angiography, and differentiation of kidney stones based upon stone composition

How well did you know this?
1
Not at all
2
3
4
5
Perfectly
23
Q

Boundaries of CT Abdo

A

Diaphragm to iliac crest

How well did you know this?
1
Not at all
2
3
4
5
Perfectly
24
Q

Boundaries of CT Pelvis

A

Iliac crest to pubic symphysis

How well did you know this?
1
Not at all
2
3
4
5
Perfectly
25
Hounsfield units references?
Air is -1000 Dense bone is +1000 Water is 0
26
How can you tell a renal mass if enhancing?
Needs to increase by 15-20HUs
27
Imaging findings of AML?
WIll be fat So will still enhance a little - Should be less then 10HUs
28
How does MRI work?
-Patient exposed to magnet -Free water protons align with magnets Z Axis (this is the head to toe axis, straight through bore of manget) -There is a radiofrequency coil above area of interest, that emits RF frequency -When RF pulse stops - protons release energy, which is detected by MRI. -Different tissue characteristics give different readings
29
How does gadolinium contrast work?
Shorten the relaxation times of water Causes increased signal intensity (enhancement), most commonly seen on T1 sequence
30
eGFR cut off for nephrogenic systemic fibrosis
Dont give in patients eGFR less then 30
31
Minimum magnet power for mpMRI
3Tesla
32
What can be seen on T2 weight sequences of mpMRI prostate?
Used to look at anatomy in detail = Used to assess EPE and SVI Normal PZ = Has high signal Central gland has BPH = Multiple heterogenous but well demarcated nodules Areas of low signal = Can be cancer, prostatitis, scar, post biopsy haemorrhage, and/pr BPH nodules
33
How does DWI work with mpMRI?
Assesses the diffusion of water (Brownian motion) within the magnetic field. The closer the cells are = The more restricted the water diffusion = Hence more likely cancer = Looks like high signal on DWI imaging So = Cancer is bright on DWI
34
What is B value in DWI?
b Value is essentially the threshold for detecting diffusion. At least 1 b value of >1000 should be included. A high b value = Means less restricted movements will not appear bright on DWI imaging You can have multiple b values in DWI
35
What is ADC in DWI?
Apparent Diffusion Coefficent ADC is a quantitative measure of the DWI ADC value has been showed to correlate with gleason score = Because more restricted diffusion = More cellular = Higher gleason score
36
What is DCE on MRI
Dynamic contrast enhancement MRI = Uses T1 weighted image with gadolinium contrast Works by taking multiple images over 5-10mins at 5 seconds each time
37
What does DCE on MRI look at?
Assesses vascular permeability and the perfusion of the prostate
38
How does US work?
Short bursts of electrical current to crystals within the transducer Causes alternating expansion and contraction of crystals Via the piezoelectric effect -> This creates a mechanical wave that is transmitted through a coupling medium to the skin/tissues Longitudinal waves pass through tissue, and some is passed back to the transducer and are detected.
39
Frequency for US waves?
3.5 to 20 MHz.
40
Different types of resolution in US and how they work
Axial resolution = Ability to identify two separate objects that are in the direction of the wave (ie different depths) -This is directly dependant on frequency of sound waves Lateral resolution = Ability to seperate objects that are equidistant from each other. -Directly dependant on width of sound beam and characteristic of transducer
41
Formula for US waves and its significance
Frequency x Wavelength = Velocity Essentially the velocity of waves through tissue is fixed -On average it is 1540meters per second This means US images requires trade off between resolution and depth -More frequency = Less velocity
42
What kind of transducers for superficial organs
Superficial = Eg testis Will use high frequency transducers between 7-18mHz and have good resolution Deeper structures need lower frequencies for depth, and as a result less resolution.
43
What is impedance in US
Impedance is influenced by stiffness and density And effects the amount of energy that is reflected by tissue Eg Bone has much higher impedance then fluid
44
What is absorption in US
Mechanical energy from sound waves being absorbed and turned into thermal energy Higher frequency more rapidly attenuated and therefore less depth penetration
45
What is acoustic shadowing
A type of US artifact When there is an object/tissue that causes significant attenuation, where info posterior to the object is lost. Eg stones Avoid by angling probe around it, or change focal zone of transducer to avoid it
46
What is Increased through transmission in US?
Another form of artifact Essentially the opposite of acoustic shading, where a fluid like renal cyst -> Causes less attenuation of the waves passing through it. So objects behind the cyst appear brighter Avoid by changing angle, or adjusting the gain
47
What is an edging artifact in US
Sound waves strike a curved surface resulting in refraction of the waves around this object Causes a hypoechoic shadow Commonly in testis and TRUS US
48
What is the reverberation artifact in US
Occurs when there is large difference in impedence from two adjacent structures Causes waves to bounce/reverberate between the tissues repeatedly. These repeat bounces attenuate the waves - So US thinks that object is much further away then it is Images are produced, spaced at equal intervals from the transducer but progressively more hypoechoic
49
How does greyscale US work
This is the standard US Where the brightness of each pixel is determined by the amplitude of the wave that returns
50
Principles of doppler US
Doppler principle = The ultrasound waves of a certain frequency are altered on the basis of an objects direction and velocity Allows us to characterise of motion and velocity
51
How does colour doppler work
Applies colour to the doppler principle Away from the probe = blue Towards probe = red Faster moving objects = Brighter colour
52
What is Color flow with spectral display
Allows interrogation of particular areas within the US field Allows you to assess velocity of blood through vessels Such as in intrarenal of penile US
53
What is the resistive index and how is it calculated
(Peak systolic velocity - end diastolic velocity) / Peak systolic velocity Used to measure vascular resistance Used in various conditions = Renal artery stenosis, ureteral obstruction, penile arterial insufficiency
54
What is power doppler
Assigns frequency and amplitude to a colour map Is more sensitive to detect for detecting flow So it is used in detection of flow in testicular torsion
55
What kind of US is this and why used?
Transperineal ultrasound in female -Probs is placed between the labia majora Allows direct visualisation of the urethra, including for urethra tumours/diverts As well as for complications as mid urethral slings, and for SUI and pelvic organ prolapse
56
Primary US criteria for arteriogenic ED?
Need to pharmacologically erection and assess cavernosal blood flow PSV (peak systolic velocity) less than 25 cm/s, Cavernosal artery dilation less than 75% Acceleration time more than 110 msec
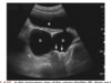
57
Label the zones of the prostate on US
58
Half life of Technitium99m
6 hours
59
What is DTPA and what is it used for
Diethylenetriaminepentaacetic Acid Also known as pentetic acid It can be combined with Tc99m to become a radiotracer. -It is excreted by kidneys entirely by glomerular excretion, and is not reabsorbed. Also rapidly excreted in tubules Therefore used = Calculate GFR Disadvantage = Not well excreted in patients with renal injury/CKD - So not very helpful
60
What is MAG-3, and difference with DTPA
Mercaptoacetyltriglycine DTPA is entirely glomerular excretion While MAG-3 is protein bound in circulation = Nearly entirely excreted by tubular secretion Therefore it is not effected by CKD/poor renal excretion
61
What is DMSA and what are the differences with other tracer agents?
Dimercaptosuccinic Acid Cleared primarily by glomerular filtration also, like DTPA. -After that it undergoes receptor mediated endocytosis by cells in the proximal tubules
62
What are the receptors responsible for receptor mediated endocytosis of DMSA?
megalin and cubilin
63
Phases of MAG3 scan
Perfusion scan (first phase) = Images taken every 1-2 seconds after tracer injection -Collected over 1 minute Functional phase (second phase) = Usually one image every minuted
64
Name 3 additional uses for MAG3/DTPA Scintigraphy
Evaluation of renal vascular hypertension -Give oral ACE-I (Captopril) -In renal artery stenosis = Will see slow uptake and low peak activity with captopril -Then second scan done on day 2, with ACE-I washed out, improvement of renal function >10% indicative of renal vascular hypertension Renal transplant evaluation -To distinguish acute rejection and delayed graft function due to prolonged ischaemia during organ harvesting -Functional scan will show acute rejection = Decreased renal perfusion -Where delayed graft function = Scan shows preserved perfusion -Biopsy is still best thing to do however to assess Assessment for VUR -Given MAG3/DTPA, wait till accumulated in bladder, then ask patient to void.
65
How are images taken for DMSA scan?
Images are just acquired 2 hours after injection But DMSA is dependant on glomerular filtration, so timing may need to be adjusted in renal impairment
66
What is a In-111 labeled WBC scan
Indium-Oxine 111 is attached to WBCs from the patient (centrigued whole blood) Then injected -Will have uptake in liver/spleen/bone marrow -As well as areas with active infection
67
How does FDG PET work
fluoro-D-glucose is attached to a radiotracer FDG is an analogue for glucose - so taken up in areas with more metabolism
68
What is the walburg effect and relevance for FDG PET
Walberg effect = Tumor cells preferentially use aerobic glycolysis (glucose fermentation) for energy production instead of oxidative phosphorylation, even when sufficient oxygen is present. This is why FDG is taken up readily in tumour cells
69
What cancer is FDG PET not good for?
Prostate Low metabolism, use PSMA instead
70
What is Recist criteria? and the various outcomes of it
Response Evaluation Criteria In Solid Tumors Aims to try and quantify response, as well as eliminate bias in reporting