
Midesophageal ascending aortic short axis SAX




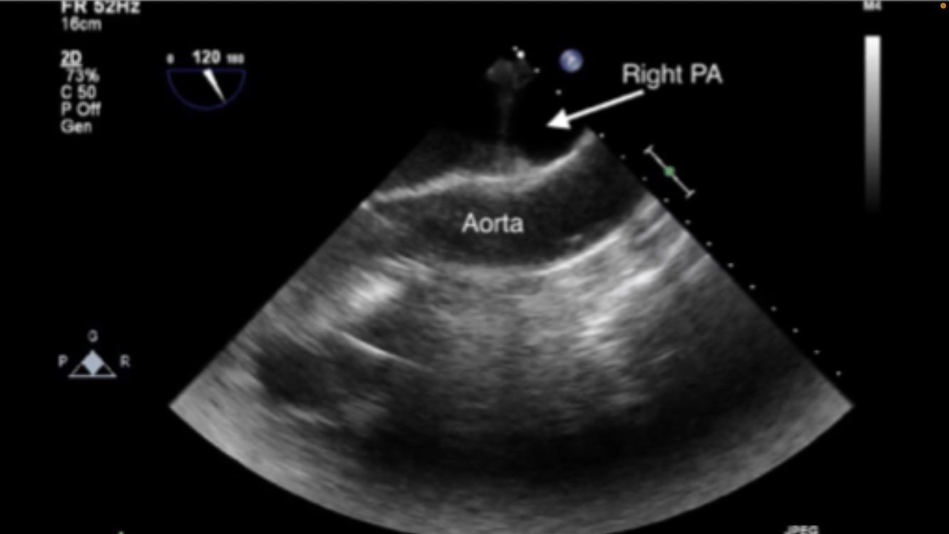
descending aortic LAX


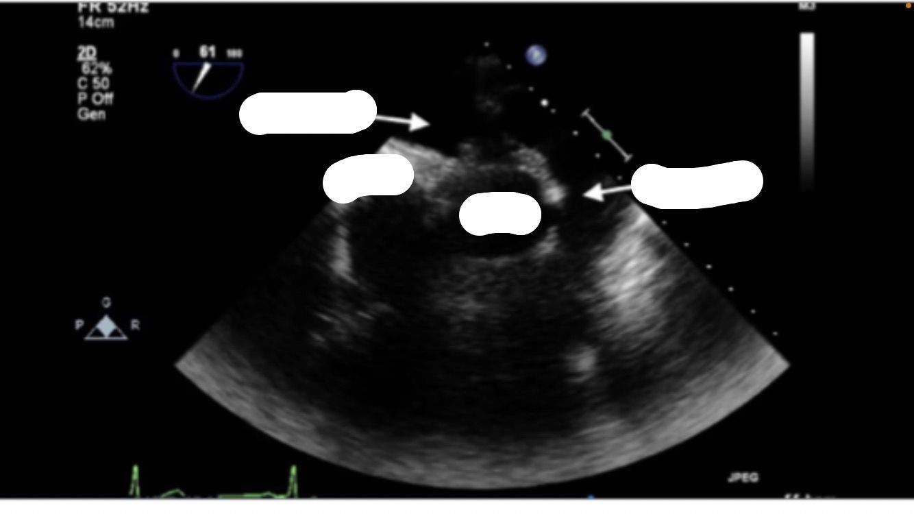
Mid esophageal RV inflow and outflow
TRICUSPID NOT MITRAL VALVE


transgastric mid SAX view
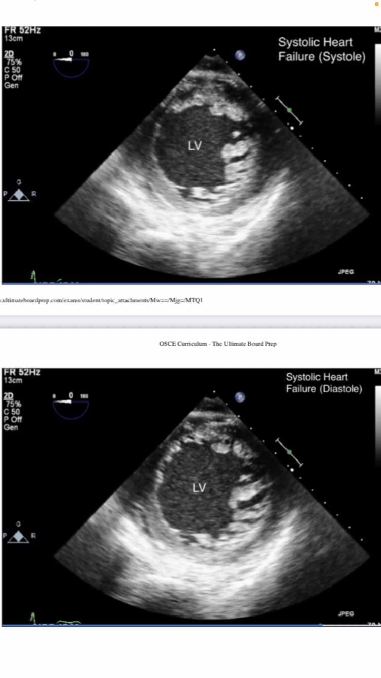
systole and disatole
hypovolemia, very little movement/filling

midesophageal 4 chamber


descending aortic SAX and LAX
DISSECTION


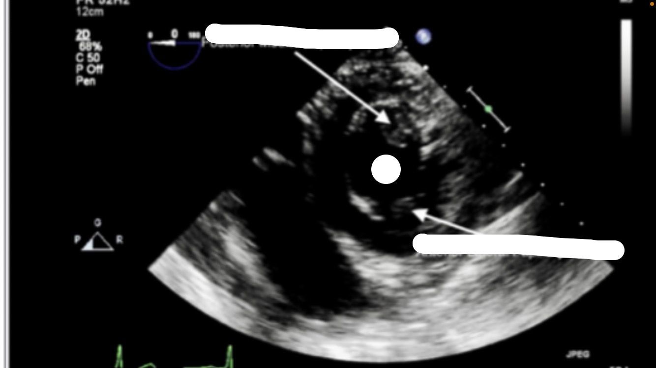
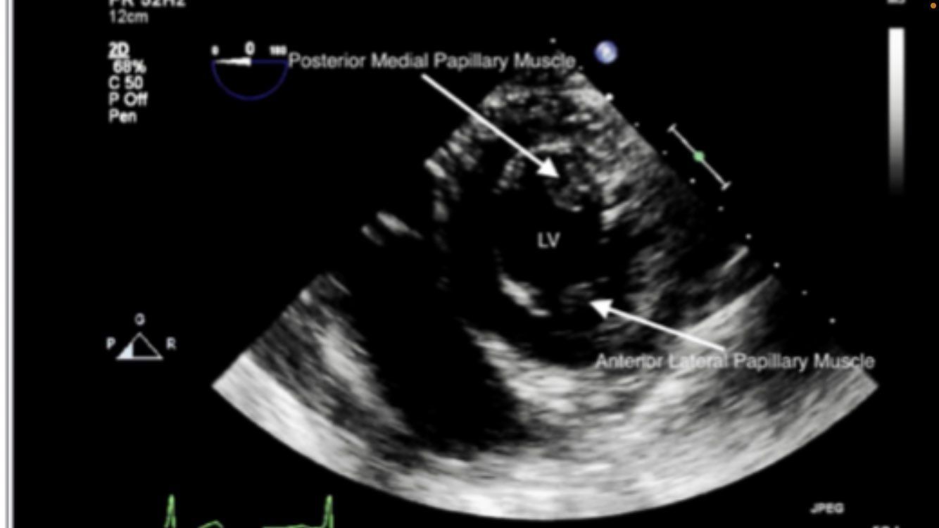
transgastric midpapillary SAX


Mid-esophageal ascending aortic LAX


descending aortic SAX


Midesophageal 4 chamber view


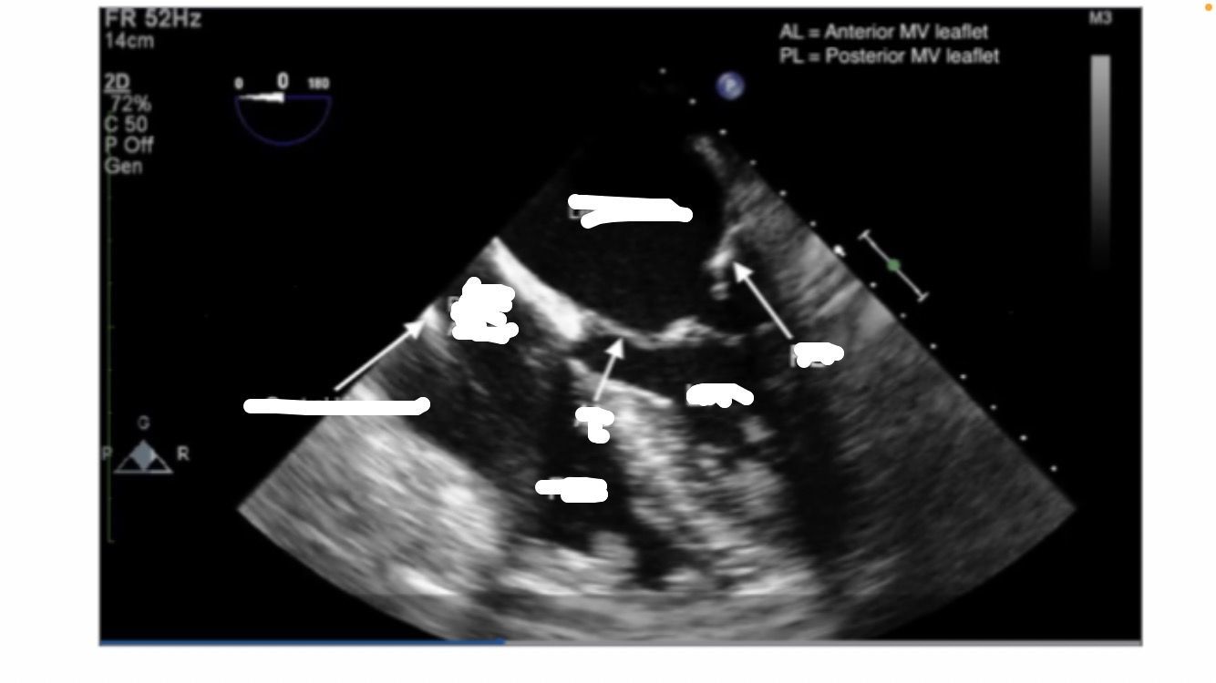
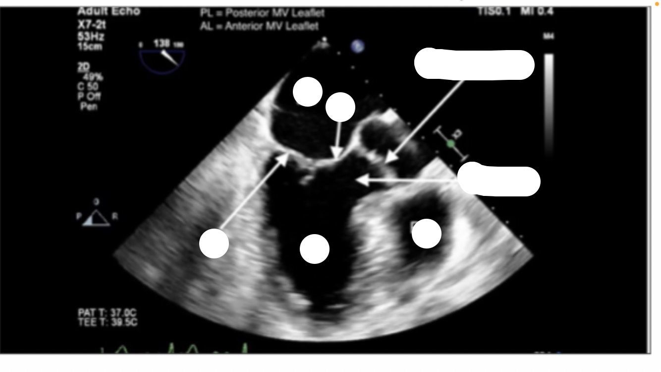
Mid-esophageal Long Axis view. LAX


descending aortic short axis
aortic long axis
NO DISSECTION


midesophageal 4 chamber


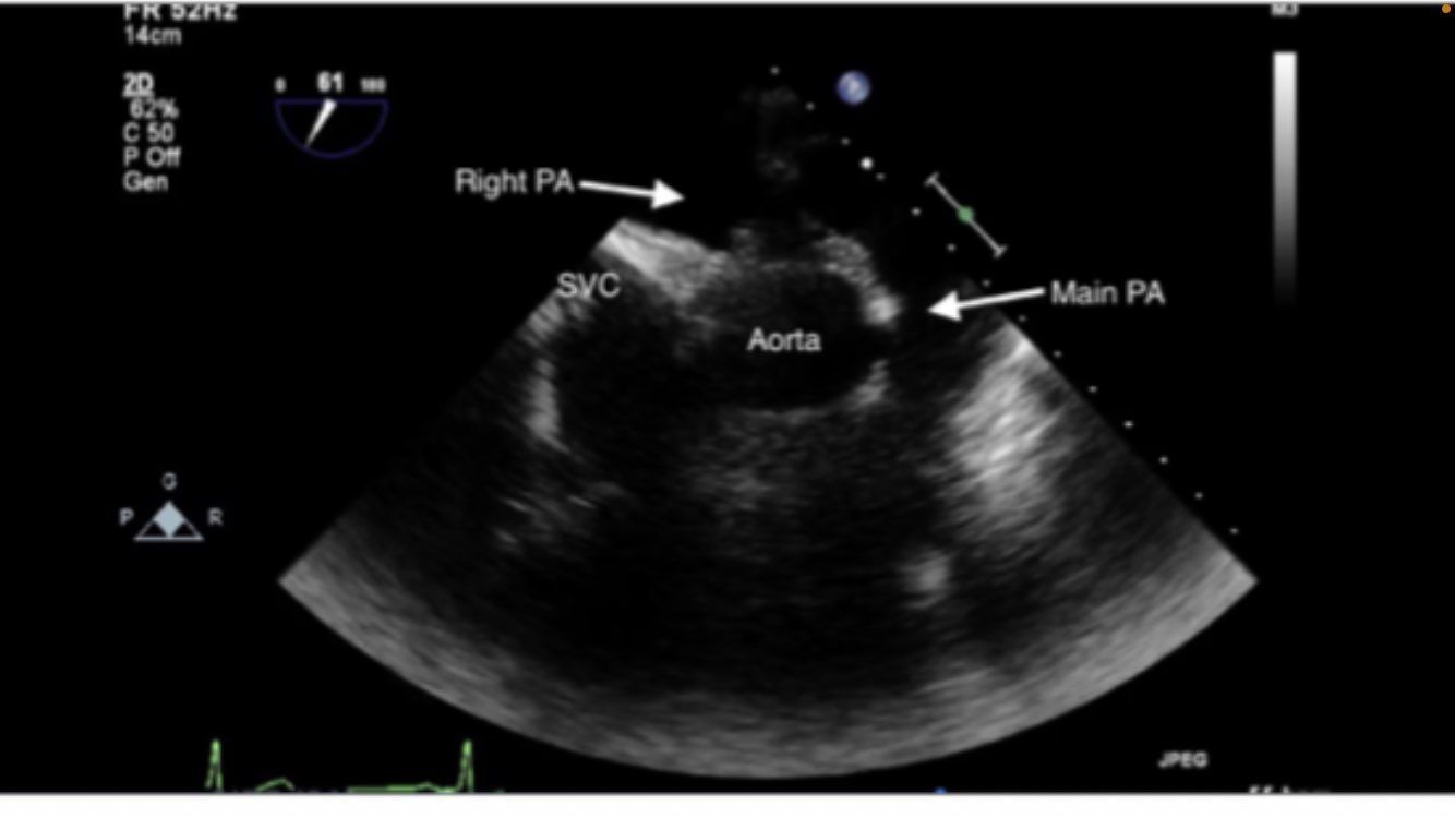
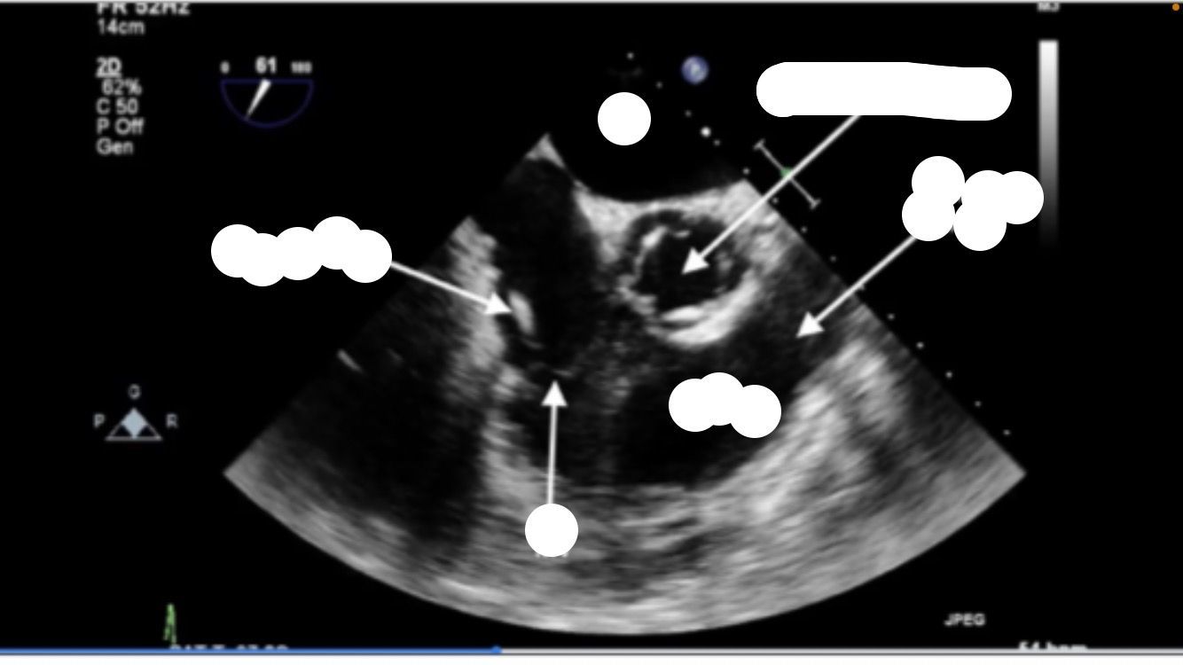
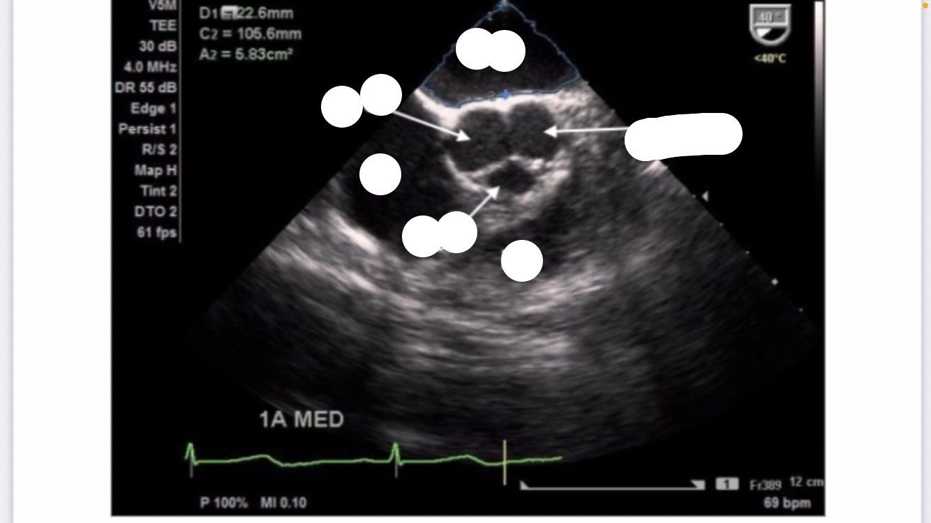
Mid-esophageal AV SAX


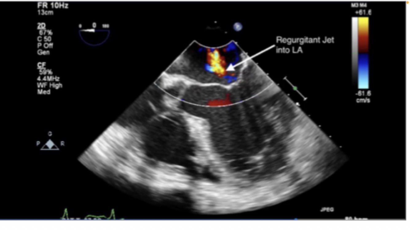
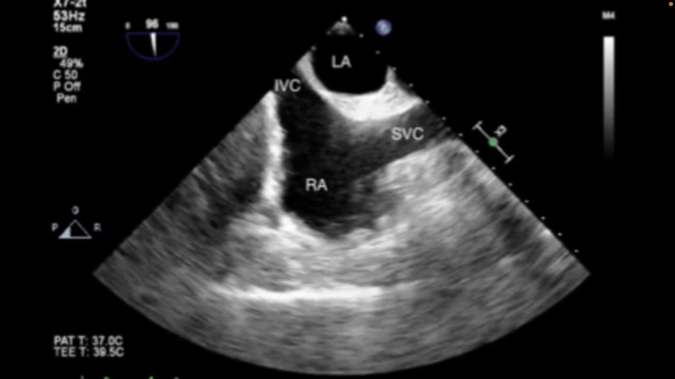
Bicaval view
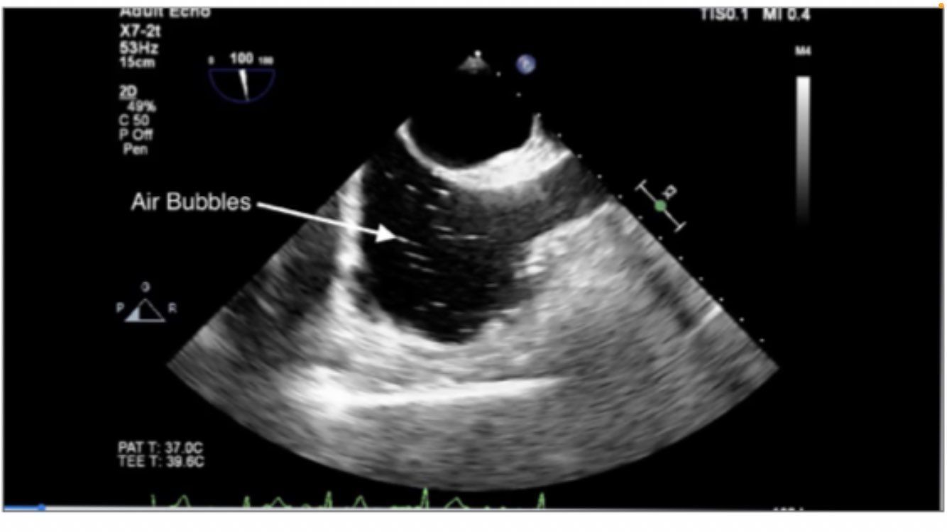
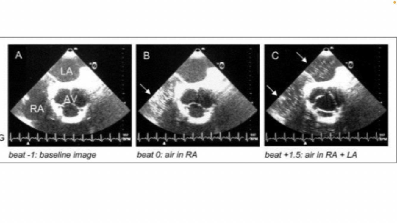
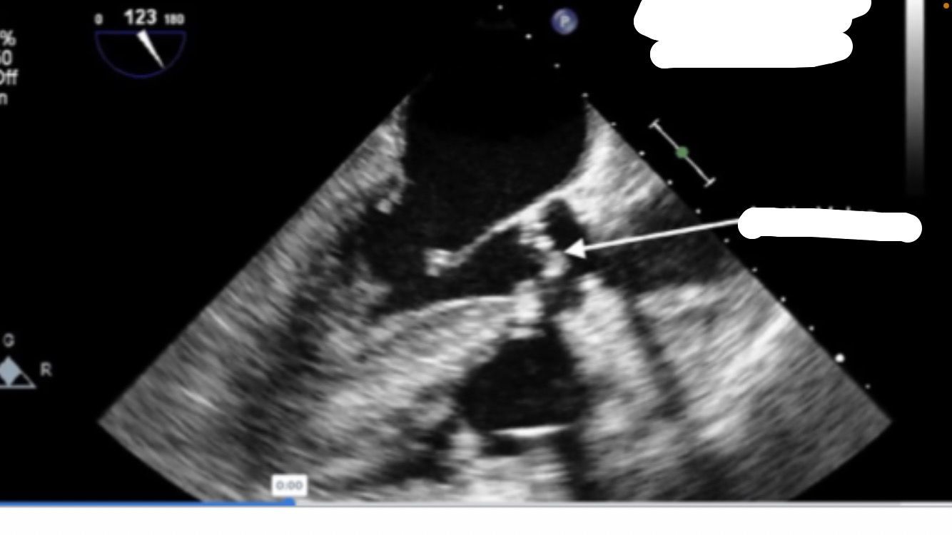
air embolism in right atrium

view?

PFO
midesophageal aortic valve short axis

Mid-esophageal 2 chamber view


TTE IMAGE OF TAMPONADE


midesophageal long axis
aortic stenosis
AV doesnt move between systole and diastole


mid-esphageal bicaval
