TEE Flashcards

(27 cards)

1
Q

What left atrial appendage (LAA) emptying velocities are associated with stroke in patients with atrial fibrillation?

A

In patients with nonvalvular atrial fibrillation, low left atrial emptying velocities (<20 cm/s) have been associated with severe spontaneous echocardiographic contrast, appendage thrombus, and subsequent cardioembolic events. Data also suggest that patients with severe echo contrast have a poor prognosis with increased mortality.

How well did you know this?
1
Not at all
2
3
4
5
Perfectly
2
Q

The sensitivity of transesophageal echocardiography (TEE) for acute ascending aortic dissection is?

A

TEE is a sensitive and highly specific technique for the diagnosis of aortic dissection. Intimal flaps are easily visualized when present in the proximal ascending aorta, distal arch, and descending thoracic aorta. Studies comparing TEE with computed tomography (CT) and magnetic resonance imaging (MRI) have shown that its sensitivity is >95%.

How well did you know this?
1
Not at all
2
3
4
5
Perfectly
3
Q

In the midesophageal TEE short axis of the aortic valve where do we find the non coronary cusp and right coronary cusp?

A

The non-coronary cusp is adjacent to the interatrial septum. The midesophageal TEE short-axis view allows detailed visualization of the aortic valve anatomy. In normal trileaflet valves, the right coronary cusp is the most anterior cusp (farthest from the transducer).

How well did you know this?
1
Not at all
2
3
4
5
Perfectly
4
Q

During TEE guidance of a transseptal puncture, the best view to direct the needle anteriorly or posteriorly is ?

A

Correct placement of the needle for transseptal puncture is paramount for the safety of the procedure. To avoid aortic puncture, the needle has to be manipulated posteriorly to the aorta. The best view for guidance in the anterior–posterior direction is the short-axis view at the level of the aortic root.

How well did you know this?
1
Not at all
2
3
4
5
Perfectly
5
Q

What are important considerations during probe insertion?

A

Some of the most feared complications of TEE occur during probe insertion. Knobs should never be locked to diminish the possibility of pharyngeal or esophageal injury. The probe should be inserted with the patient in the lateral decubitus position in moderately sedated patients and with anterior flexion of the neck. The probe should always be inspected before insertion, with an image on the screen confirming normal probe function.

How well did you know this?
1
Not at all
2
3
4
5
Perfectly
6
Q

What are the radial lengths of the TV leaflets?

A

The tricuspid leaflets are the anterior (with the longest radial length), septal (the shortest radial length), and the posterior.

How well did you know this?
1
Not at all
2
3
4
5
Perfectly
7
Q

Aortic valvular gradients are best obtained using TEE in which view?

A

The evaluation of patients with aortic stenosis using TEE includes visualization of the aortic valve anatomy and planimetry of the aortic valve area. When possible, transvalvular gradients are obtained. However, obtaining accurate transaortic gradients can be technically challenging. It requires a deep transgastric view at 0 degrees with anteflexion of the probe tip. The objective is alignment of the aortic valve and proximal ascending aorta as parallel as possible with the continuous wave Doppler cursor. Alternatively, the transducer position can be set at 90–100 degrees and the probe slowly pulled back keeping the anteflexion and the tip adjusted with the lateral knob. These maneuvers are important not only in patients with valvular aortic stenosis but also in patients with hypertrophic obstructive cardiomyopathy.

How well did you know this?
1
Not at all
2
3
4
5
Perfectly
8
Q

Is TEE indicated after pulmonary vein isolation?

A

No

How well did you know this?
1
Not at all
2
3
4
5
Perfectly
9
Q

What is spontaneous echo contrast?

A

Spontaneous echo contrast is an echogenic swirling pattern of blood flow, distinct from white noise artifacts, caused by an increased ultrasonic back-scatter from aggregation of the cellular components of blood in the conditions of blood stasis or low-velocity blood flow.

How well did you know this?
1
Not at all
2
3
4
5
Perfectly
10
Q

Spontaneous echo contrast and atrial fibrillation?

A

In patients with atrial fibrillation, the presence of severe spontaneous contrast or smoke is a marker of increased risk of thromboembolic events. Electrical cardioversion causes left atrial appendage stunning with increased severity of echocontrast immediately after the procedure. There have been published series of cases of embolic stroke after cardioversion in patients with a negative TEE for left atrial thrombus who are not anticoagulated. For that reason, patients should have therapeutic levels of anticoagulation before proceeding with cardioversion.

How well did you know this?
1
Not at all
2
3
4
5
Perfectly
11
Q

The differential diagnosis in patients with suspected aortic valve endocarditis includes

A

TEE is highly sensitive for vegetations; however, other valvular structures should be considered in the differential diagnosis. For the aortic valve, these structures include Lambl’s excrescences, thickened Arantius nodules, and fibroelastomas. Lambl’s excrescences are filamentous structures attached to the ventricular side of the valve. Arantius nodules are present at the center of the free margin of each of the three cusps of the aortic valve. Fibroelastomas are benign tumors often attached to the aortic side of the valve.

How well did you know this?
1
Not at all
2
3
4
5
Perfectly
12
Q

What are Lambl’s excrescences?

A

Lambl excrescences, a histological term describing rare cardiac growths that develop at the valvular coaptation sites of the heart which are seen as a thin, hypermobile, and filiform strand on an echocardiogram. These filiform strands can be noted on an echocardiogram either incidentally or in association with serious complications such as embolic stroke or acute coronary syndromes after they break off and embolize to distant organs

How well did you know this?
1
Not at all
2
3
4
5
Perfectly
13
Q

Complication rates and safety of TEE?

A

TEE is a safe technique in the proper setting and in experienced hands. The overall incidence of complications is very low (0.18%–2.8%). The highest complication rates (>10%) are hoarseness and lip injury. Mortality is <0.02%.

How well did you know this?
1
Not at all
2
3
4
5
Perfectly
14
Q

The distal ascending aorta is difficult to be visualized by TEE for what reason?

A

TEE is an excellent technique to visualize the ascending aorta, distal arch, and the descending thoracic aorta. However, the distal ascending aorta and the proximal arch constitute a blind spot for TEE visualization. The blind spot is caused by the interposition of air, located in the trachea and main bronchi, between the transducer and the aorta.

How well did you know this?
1
Not at all
2
3
4
5
Perfectly
15
Q

Major risk of using benzocaine topical anesthtic and it’s treatment?

A

Methemoglobinemia related to benzocaine topical anesthetic given during TEE is a rare reaction occurring in 0.07%–0.12% of patients. Methemoglobin levels are elevated due to conversion of iron from a reduced to oxidized form of hemoglobin which results in poor oxygen carrying capacity. This results in cyanosis, low oxygen saturation levels, and normal arterial Po2 levels. Patients with methemoglobin levels >70% may develop circulatory collapse, neurologic depression, and death. The treatment of choice is intravenous methylene blue 1% solution (10 mg/mL) 1–2 mg/kg administered intravenously slowly for more than 5 minutes, followed by intravenous flush with normal saline.

How well did you know this?
1
Not at all
2
3
4
5
Perfectly
16
Q

When encountering resistance to insertion of the TEE probe in the midesophagus, which maneuver is recommended?

A

Sometimes the TEE probe will become coiled in the esophagus with the tip pointed toward the mouth. Often, this can be remedied by withdrawing the probe to a slight extent, retroflexing the probe, and then attempting to advance the probe forward. However, it is always true that if simple maneuvers such as this do not work, then the TEE should not be continued and an endoscopy should be performed to rule out stricture or obstructing lesions.

17
Q

What are absolute contraindications to TEE?

A

Absolute contraindications to TEE include esophageal or pharyngeal obstruction, esophageal diverticulum, active gastrointestinal bleeding from an unknown source, and perforated viscus. Relative contraindications include esophageal varices, history of radiation to the neck, Barrett esophagus, and coagulopathy.

18
Q

What is the pathology seen in this view?

A

A flail leaflet is diagnosed when ruptured chordae are visualized and the tip of the leaflet points superiorly into the left atrium in systole. In cases of posterior leaflet flail, the regurgitant jet is anteriorly directed.

19
Q

The pulmonary vein flow pulse wave doppler shown is consistent with?

A

Pulmonary vein flow assessment is part of a comprehensive evaluation in patients with mitral regurgitation. Figure shows holosystolic flow reversal consistent with severe mitral regurgitation. In patients with mild mitral regurgitation, usually the pulmonary vein flow is normal with predominant or mildly blunted systolic flow. A large atrial reversal is seen in patients with increased end-diastolic pressure. In patients with mitral stenosis, the typical finding is a slow deceleration slope in the diastolic wave of the pulmonary vein flow.

20
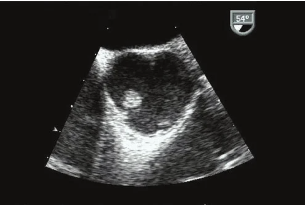
Q

This short-axis of the aortic valve in the figure shows?

A

Papillary fibroelastomas are benign tumors that can be seen on the aortic valve. These tumors are described as small, well-delineated, pedunculated masses with a predilection for valvular endocardium. These tumors can be highly mobile and carry an embolic risk. The diagnoses are usually incidental or during investigation for an embolic source. The echocardiographic characteristics of fibroelastomas are:
The tumor is round or oval, irregular in appearance, with well-demarcated borders and a homogeneous texture.
Most are relatively small <20 mm.
Nearly half have small stalks, and those with stalks are mobile.
They may be single or multiple and are often associated with valvular disease.
They more commonly appear on the aortic valve, followed by the mitral valve.

21
Q

What is the finding in this patient with back pain?

A

This is an example of an aortic dissection flap of the descending thoracic aorta with associated pleural effusion. Note the characteristic intimal flap that separates the true from the false lumen. The presence of a pleural effusion may represent a contained rupture but more often this represents an inflammatory pleural reaction. In patients with associated ascending aortic dissection with involvement of the aortic valve, pleural effusion may also indicate congestive heart failure.

22
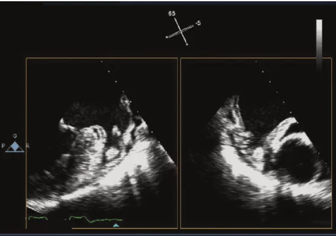
Q

What is the main finding in this biplane view of the left atrial appendage (LAA)?

A

This example shows two LAA thrombi. They are usually related to stagnant flow that can be seen in patients with atrial fibrillation or mitral valve disease, in particular stenotic lesions. These thrombi are more often seen at the tip of the appendage. Although usually they are single, they can be multilobulated. Differential diagnoses include prominent pectinate muscles and severe spontaneous echo contrast. Pectinate muscles are usually easy to identify using a multiplane TEE probe and can be seen as fingerlike structures at around 100–110-degree rotation. Severe spontaneous echo contrast (sludge) can be challenging to differentiate from a true clot. In some cases, the use of commercially available echo contrast agents may be helpful.

23
Q

What finding is seen in this image?

A

Myxomas are the most common benign tumors of the heart. They can be found in any of the heart cavities but most often in the left atrium. Typically, these tumors are attached by a stalk to the interatrial septum. Surgery is usually indicated due to the potential for embolism or obstruction of the mitral valve orifice. In most cases, these are single tumors; although in their familial form, they can be multiple and recurrent. Carney syndrome is an autosomal dominantly transmitted multisystem tumorous disorder characterized by myxomas (heart, skin, and breast), spotty skin pigmentation (lentigines and blue nevi), endocrine tumors (adrenal, testicular, thyroid, and pituitary), and peripheral nerve tumors (schwannomas). In Carney syndrome, the cardiac myxomas are also multiple and contribute to the mortality of this disease.

24
Q

Which structures are visualized in this image?

A

The proximal coronary arteries can be visualized using TEE. In patients with normal origin of the coronaries, the left main can be visualized as shown in the example. The right coronary artery can be more challenging due to its anterior origin and can be masked by aortic calcification.

25
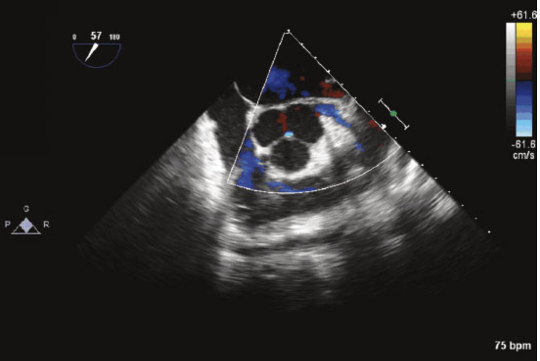
The abnormality of the aortic valve seen in Figure is consistent with:
This is an example of a unicuspid aortic valve. This is a relatively rare entity accounting for less than 5% of the adult population with aortic stenosis requiring surgery. Unicuspid valves can be unicommissural (most common) or acommissural.
26
This color Doppler image of the pulmonary vein bifurcation (angle 110 degrees) most likely represents
isualization of the pulmonary veins is important in a variety of situations: after pulmonary vein ablation, in patients with sinus venosus ASD, and in the assessment of mitral regurgitation. The easiest vein to visualize is the left upper pulmonary vein that runs next to the left atrial appendage. However, it is possible to visualize the bifurcation of the left and right pulmonary veins. The left pulmonary veins are typically seen from 110 to 140 degrees with counterclockwise rotation. In the example, the bifurcation can be easily seen with a transducer position at 110 degrees. he right pulmonary veins are usually visualized from 45- to 60-degree transducer position with clockwise rotation. (RLPV, right lower pulmonary vein; RUPV, right upper pulmonary vein.)
27
These images were acquired minutes apart. What is the most likely explanation for the difference?
The answer is a change in equipment settings, in particular, the Nyquist limit. This is a frequent mistake in evaluating regurgitant lesions. The appearance of a jet by color Doppler depends on jet momentum (flow × velocity). In addition, changes in gain, pulse repetition frequency, and Nyquist limit may markedly change the size of the jet. The standard Nyquist limit to evaluate a regurgitant lesion is around 45–60 cm/s. In this particular example, the Nyquist limit was lowered to interrogate the interatrial septum (low-velocity patent foramen ovale [PFO] flow) and then was not changed back to assess the degree of mitral regurgitation.